IHCeasy® AK4/AK3L1 Ready-To-Use IHC Kit
AK4/AK3L1 Ready-to-use reagent kit for IHC.
Reactivity
Human, Mouse, Rat
Sample Type
FFPE tissue
Cat no : KHC0981
Synonyms
Adenylate kinase 3 like, adenylate kinase 3 like 1, AK3, AK3L1, AK4, ATP AMP transphosphorylase
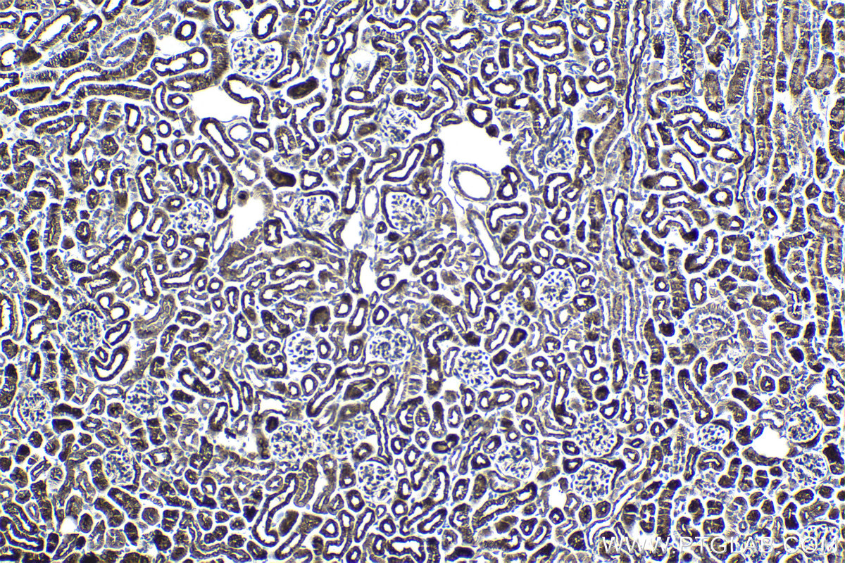
Validation Data Gallery
Product Information
KHC0981 is a ready-to-use IHC kit for staining of AK4/AK3L1. The kit provides all reagents, from antigen retrieval to cover slip mounting, that require little to no diluting or handling prior to use. Simply apply the reagents to your sample slide according to the protocol and you're steps away from obtaining high-quality IHC data.
| Product name | IHCeasy AK4/AK3L1 Ready-To-Use IHC Kit |
| Sample type | FFPE tissue |
| Assay type | Immunohistochemistry |
| Primary antibody type | Rabbit Polyclonal |
| Secondary antibody type | Polymer-HRP-Goat anti-Rabbit |
| Reactivity | Human, Mouse, Rat |
Kit components
| Component | Size | Concentration |
|---|---|---|
| Antigen Retrieval Buffer | 100 mL | 50× |
| Washing Buffer | 100 mL ×2 | 20× |
| Blocking Buffer | 5 mL | RTU |
| Primary Antibody | 5 mL | RTU |
| Secondary Antibody | 5 mL | RTU |
| Chromogen Component A | 0.2 mL | RTU |
| Chromogen Component B | 4 mL | RTU |
| Signal Enhancer | 5 mL | RTU |
| Counter Staining Reagent | 5 mL | RTU |
| Mounting Media | 5 mL | RTU |
| Datasheet | 1 Copy | |
| Manual | 1 Copy |
Background Information
AK3L1(Adenylate kinase 3-like) is also named as AK4, AK3L1 and belongs to the adenylate kinase family. It catalyzes the reversible transfer of the terminal phosphate group between ATP and AMP. It is important for maintenance of homeostasis of the adenine and guanine nucleotide pools. Expression is highest in kidney and heart, moderate in liver, weak in brain, and barely detectable in placenta and lung by northern blot. Primary antibody in this kit may also recognize AK3 due to the high homology.
Properties
| Storage Instructions | All the reagents are stored at 2-8°C. The kit is stable for 6 months from the date of receipt. |
| Synonyms | Adenylate kinase 3 like, adenylate kinase 3 like 1, AK3, AK3L1, AK4, ATP AMP transphosphorylase |





