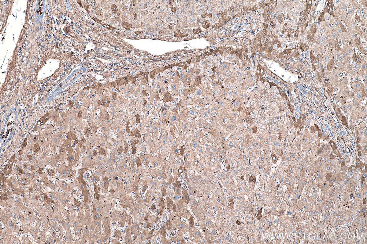
IHCeasy® AHSG/Fetuin A Ready-To-Use IHC Kit
AHSG/Fetuin A Ready-to-use reagent kit for IHC.
Reactivity
Human, Mouse, Rat
Sample Type
FFPE tissue
Cat no : KHC0483
Synonyms
A2HS, AHS, AHSG, alpha 2 HS glycoprotein, Alpha 2 Z globulin, Ba alpha 2 glycoprotein, FETUA, Fetuin A, Fetuin-A, HSGA
Validation Data Gallery
Product Information
KHC0483 is a ready-to-use IHC kit for staining of AHSG/Fetuin A. The kit provides all reagents, from antigen retrieval to cover slip mounting, that require little to no diluting or handling prior to use. Simply apply the reagents to your sample slide according to the protocol and you're steps away from obtaining high-quality IHC data.
| Product name | IHCeasy AHSG/Fetuin A Ready-To-Use IHC Kit |
| Sample type | FFPE tissue |
| Assay type | Immunohistochemistry |
| Primary antibody type | Mouse Monoclonal |
| Secondary antibody type | Polymer-HRP-Goat anti-Mouse |
| Reactivity | Human, Mouse, Rat |
Kit components
| Component | Size | Concentration |
|---|---|---|
| Antigen Retrieval Buffer | 100 mL | 50× |
| Washing Buffer | 100 mL ×2 | 20× |
| Blocking Buffer | 5 mL | RTU |
| Primary Antibody | 5 mL | RTU |
| Secondary Antibody | 5 mL | RTU |
| Chromogen Component A | 0.2 mL | RTU |
| Chromogen Component B | 4 mL | RTU |
| Signal Enhancer | 5 mL | RTU |
| Counter Staining Reagent | 5 mL | RTU |
| Mounting Media | 5 mL | RTU |
| Datasheet | 1 Copy | |
| Manual | 1 Copy |
Background Information
Fetuin-A (alpha-2-HS-glycoprotein, AHSG), a liver borne plasma protein, contributes to the prevention of soft tissue calcification, modulates inflammation, reduces INS sensitivity and fosters weight gain following high fat diet or ageing. It is involved in several functions, such as endocytosis, brain development and the formation of bone tissue. The protein is commonly present in the cortical plate of the immature cerebral cortex and bone marrow hemopoietic matrix, and it has therefore been postulated that it participates in the development of the tissues.
Properties
| Storage Instructions | All the reagents are stored at 2-8°C. The kit is stable for 6 months from the date of receipt. |
| Synonyms | A2HS, AHS, AHSG, alpha 2 HS glycoprotein, Alpha 2 Z globulin, Ba alpha 2 glycoprotein, FETUA, Fetuin A, Fetuin-A, HSGA |






