IHCeasy® ACAT1 Ready-To-Use IHC Kit
ACAT1 Ready-to-use reagent kit for IHC.
Reactivity
Human, Mouse, Rat
Sample Type
FFPE tissue
Cat no : KHC0504
Synonyms
ACAT, ACAT1, Acetoacetyl CoA thiolase, MAT, T2, THIL
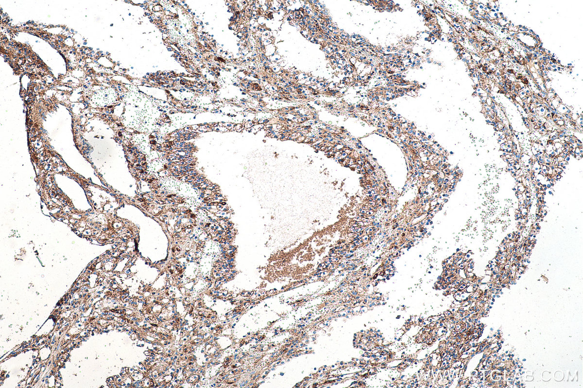
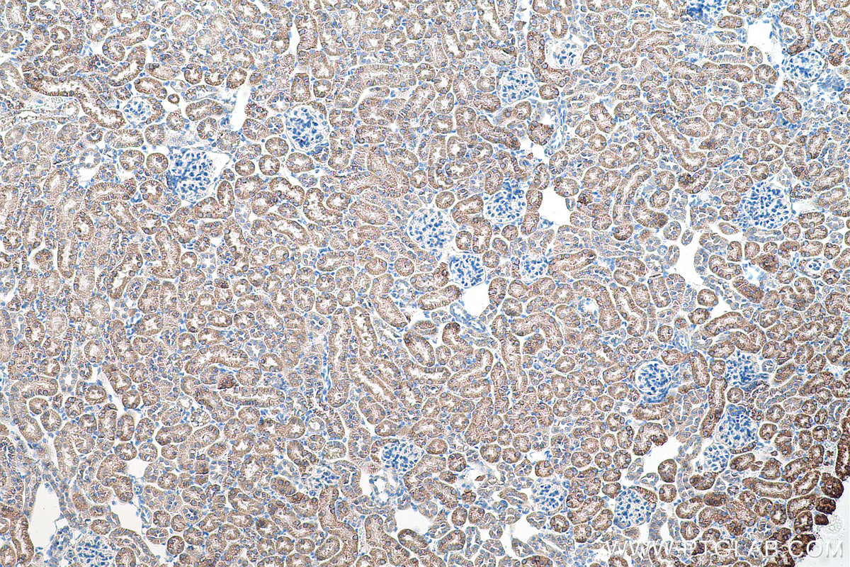
Validation Data Gallery
Product Information
KHC0504 is a ready-to-use IHC kit for staining of ACAT1. The kit provides all reagents, from antigen retrieval to cover slip mounting, that require little to no diluting or handling prior to use. Simply apply the reagents to your sample slide according to the protocol and you're steps away from obtaining high-quality IHC data.
| Product name | IHCeasy ACAT1 Ready-To-Use IHC Kit |
| Sample type | FFPE tissue |
| Assay type | Immunohistochemistry |
| Primary antibody type | Rabbit Polyclonal |
| Secondary antibody type | Polymer-HRP-Goat anti-Rabbit |
| Reactivity | Human, Mouse, Rat |
Kit components
| Component | Size | Concentration |
|---|---|---|
| Antigen Retrieval Buffer | 100 mL | 50× |
| Washing Buffer | 100 mL ×2 | 20× |
| Blocking Buffer | 5 mL | RTU |
| Primary Antibody | 5 mL | RTU |
| Secondary Antibody | 5 mL | RTU |
| Chromogen Component A | 0.2 mL | RTU |
| Chromogen Component B | 4 mL | RTU |
| Signal Enhancer | 5 mL | RTU |
| Counter Staining Reagent | 5 mL | RTU |
| Mounting Media | 5 mL | RTU |
| Datasheet | 1 Copy | |
| Manual | 1 Copy |
Background Information
ACAT1 (acetyl-CoA acetyltransferase), is a mitochondrial enzyme catalyzing the reversible formation or breakdown of acetoacetyl-CoA and plays important roles in ketogenesis and ketolysis. Deficiency of ACAT1 causes an inherited metabolic disorder. Recently ACAT1 has been reported to get involved in cancer progression.
Properties
| Storage Instructions | All the reagents are stored at 2-8°C. The kit is stable for 6 months from the date of receipt. |
| Synonyms | ACAT, ACAT1, Acetoacetyl CoA thiolase, MAT, T2, THIL |







