IHCeasy® ACADVL Ready-To-Use IHC Kit
ACADVL Ready-to-use reagent kit for IHC.
Reactivity
Human
Sample Type
FFPE tissue
Cat no : KHC3218
Synonyms
VLCAD, EC:1.3.8.9, Very long-chain specific acyl-CoA dehydrogenase, mitochondrial
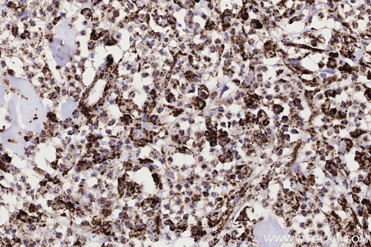
Validation Data Gallery
Product Information
KHC3218 is a ready-to-use IHC kit for staining of ACADVL. The kit provides all reagents, from antigen retrieval to cover slip mounting, that require little to no diluting or handling prior to use. Simply apply the reagents to your sample slide according to the protocol and you're steps away from obtaining high-quality IHC data.
| Product name | IHCeasy® ACADVL Ready-To-Use IHC Kit |
| Sample type | FFPE tissue |
| Assay type | Immunohistochemistry |
| Primary antibody type | Rabbit Recombinant |
| Secondary antibody type | Polymer-HRP-Goat anti-Rabbit |
| Reactivity | Human |
Kit components
| Component | Size | Concentration |
|---|---|---|
| Antigen Retrieval Buffer | 100 mL | 50× |
| Washing Buffer | 100 mL ×2 | 20× |
| Blocking Buffer | 5 mL | RTU |
| Primary Antibody | 5 mL | RTU |
| Secondary Antibody | 5 mL | RTU |
| Chromogen Component A | 0.2 mL | RTU |
| Chromogen Component B | 4 mL | RTU |
| Signal Enhancer | 5 mL | RTU |
| Counter Staining Reagent | 5 mL | RTU |
| Mounting Media | 5 mL | RTU |
| Datasheet | 1 Copy | |
| Manual | 1 Copy |
Background Information
Very long-chain acyl-CoA dehydrogenase (VLCAD) is one of four flavoproteins which catalyze the initial step of the mitochondrial b-oxidation spiral. It belongs to the acyl-CoA dehydrogenase family and is a homodimer of a 71-kDa polypeptide which contains 2 mol of FAD/mol of enzyme. Defects in ACADVL are the cause of acyl-CoA dehydrogenase very long chain deficiency (ACADVLD).
Properties
| Storage Instructions | All the reagents are stored at 2-8°C. The kit is stable for 6 months from the date of receipt. |
| Synonyms | VLCAD, EC:1.3.8.9, Very long-chain specific acyl-CoA dehydrogenase, mitochondrial |


