验证数据展示
经过测试的应用
| Positive WB detected in | HEK-293T cells, HAP1 cells, HeLa cells, MCF-10A cells, MCF-7 cells, MDA-MB-231 cells, T-47D cells |
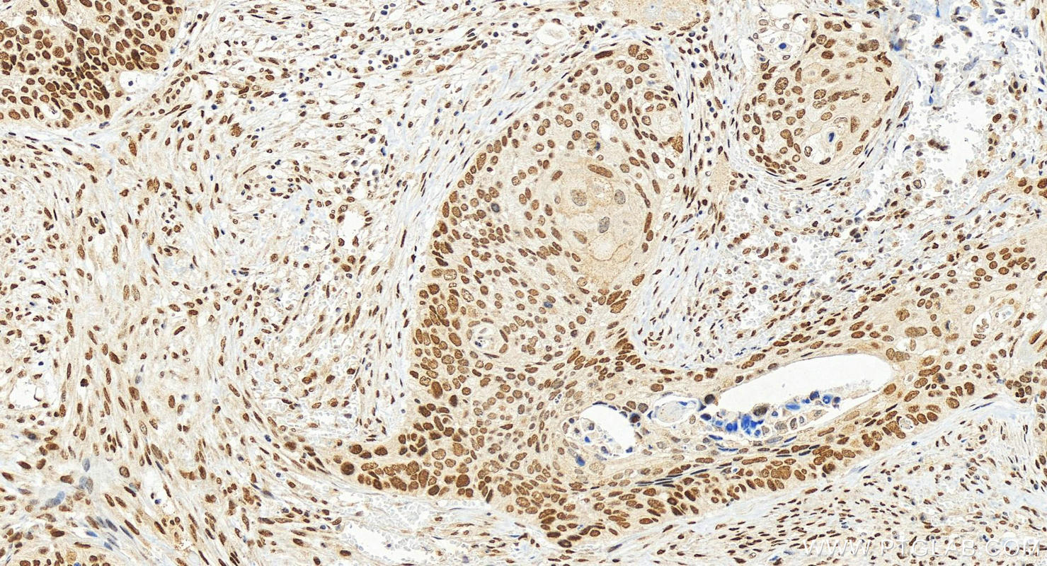
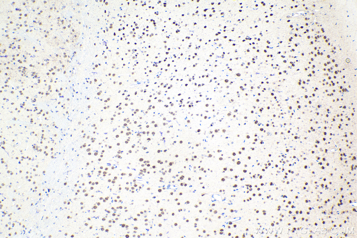
| Positive IHC detected in | mouse brain tissue, human cervical squamous cancer tissue Note: suggested antigen retrieval with TE buffer pH 9.0; (*) Alternatively, antigen retrieval may be performed with citrate buffer pH 6.0 |
推荐稀释比
| 应用 | 推荐稀释比 |
|---|---|
| Western Blot (WB) | WB : 1:2000-1:10000 |
| Immunohistochemistry (IHC) | IHC : 1:1000-1:4000 |
| It is recommended that this reagent should be titrated in each testing system to obtain optimal results. | |
| Sample-dependent, Check data in validation data gallery. | |
发表文章中的应用
| IHC | See 1 publications below |
产品信息
30660-1-AP targets FOXK2 in WB, IHC, ELISA applications and shows reactivity with human, mouse samples.
| 经测试应用 | WB, IHC, ELISA Application Description |
| 文献引用应用 | IHC |
| 经测试反应性 | human, mouse |
| 文献引用反应性 | mouse |
| 免疫原 |
CatNo: Ag33625 Product name: Recombinant human FOXK2 protein Source: e coli.-derived, PGEX-4T Tag: GST Domain: 430-660 aa of NM_004514.3 Sequence: LSSQPVLITVQRQLPQAIKPVTYTVATPVTTSTSQPPVVQTVHVVHQIPAVSVTSVAGLAPANTYTVSGQAVVTPAAVLAPPKAEAQENGDHREVKVKVEPIPAIGHATLGTASRIIQTAQTTPVQTVTIVQQAPLGQHQLPIKTVTQNGTHVASVPTAVHGQVNNAAASPLHMLATHASASASLPTKRHNGDQPEQPELKRIKTEDGEGIVIALSVDTPPAAVREKGVQN* 种属同源性预测 |
| 宿主/亚型 | Rabbit / IgG |
| 抗体类别 | Polyclonal |
| 产品类型 | Antibody |
| 全称 | forkhead box K2 |
| 别名 | forkhead box K2, Forkhead box protein K2, ILF, ILF 1, ILF1 |
| 计算分子量 | 69 kDa |
| 观测分子量 | 69-79 kDa |
| GenBank蛋白编号 | NM_004514.3 |
| 基因名称 | FOXK2 |
| Gene ID (NCBI) | 3607 |
| RRID | AB_3086382 |
| 偶联类型 | Unconjugated |
| 形式 | Liquid |
| 纯化方式 | Antigen affinity purification |
| UNIPROT ID | Q01167 |
| 储存缓冲液 | PBS with 0.02% sodium azide and 50% glycerol, pH 7.3. |
| 储存条件 | Store at -20°C. Stable for one year after shipment. Aliquoting is unnecessary for -20oC storage. |
背景介绍
FOXK2 (forkhead box K2), also known as ILF and ILF1. FOXK2 is localized at nucleus and cytoplasm. It is also expected to be expressed in testis, brain and lymphoid and non-lymphoid cells (PMID: 1339390). The protein encoded by this gene contains a fork head DNA binding domain. This protein can bind to the purine-rich motifs of the HIV long terminal repeat (LTR), and to the similar purine-rich motif in the interleukin 2 (IL2) promoter. It may be involved in the regulation of viral and cellular promoter elements. And its molecular weight is 69 kDa. Anett Marais demonstrate that FOXK2 is phosphorylated in a cell cycle-dependent manner. This phosphorylation peaks during M phase and is mediated by CDK·cyclin complexes. FOXK2 exhibits a periodic rise in its phosphorylation levels during the cell cycle, with hyperphosphorylation occurring in mitotic cells (PMID: 20810654).
实验方案
| Product Specific Protocols | |
|---|---|
| IHC protocol for FOXK2 antibody 30660-1-AP | Download protocol |
| WB protocol for FOXK2 antibody 30660-1-AP | Download protocol |
| Standard Protocols | |
|---|---|
| Click here to view our Standard Protocols |



