验证数据展示
经过测试的应用
| Positive WB detected in | TT cells |
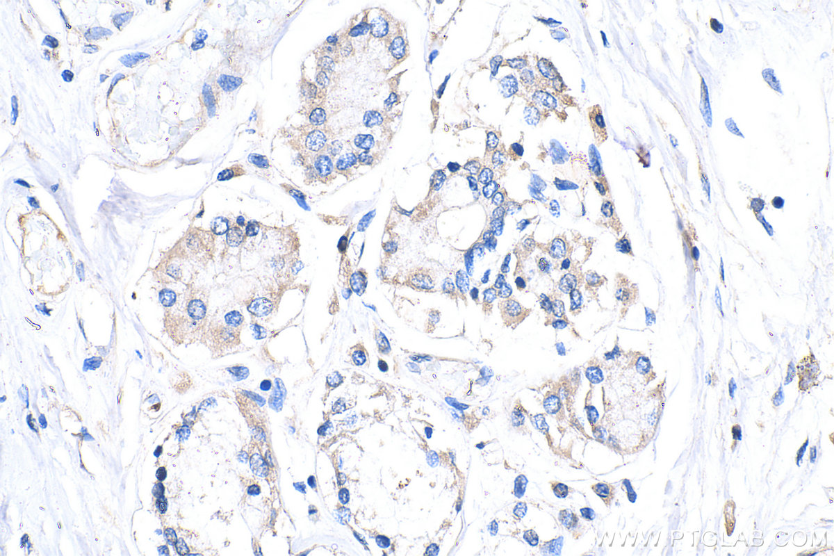
| Positive IHC detected in | human lung cancer tissue Note: suggested antigen retrieval with TE buffer pH 9.0; (*) Alternatively, antigen retrieval may be performed with citrate buffer pH 6.0 |
推荐稀释比
| 应用 | 推荐稀释比 |
|---|---|
| Western Blot (WB) | WB : 1:2000-1:10000 |
| Immunohistochemistry (IHC) | IHC : 1:50-1:500 |
| It is recommended that this reagent should be titrated in each testing system to obtain optimal results. | |
| Sample-dependent, Check data in validation data gallery. | |
产品信息
86139-2-RR targets Collagen Type II in WB, IHC, ELISA applications and shows reactivity with human samples.
| 经测试应用 | WB, IHC, ELISA Application Description |
| 经测试反应性 | human |
| 免疫原 |
CatNo: Ag29265 Product name: Recombinant human COL2A1 protein Source: e coli.-derived, PGEX-4T Tag: GST Domain: 1-63 aa of BC007252 Sequence: MSAFAGLGPREKGPDPLQYMRADQAAGGLRQHDAEVDATLKSLNNQIESIRSPEGSRKNPART 种属同源性预测 |
| 宿主/亚型 | Rabbit / IgG |
| 抗体类别 | Recombinant |
| 产品类型 | Antibody |
| 全称 | collagen, type II, alpha 1 |
| 别名 | COL2, COL2A1, Alpha 1 type II collagen, Alpha-1 type II collagen, ANFH |
| 计算分子量 | 134 kDa |
| 观测分子量 | 200 kDa |
| GenBank蛋白编号 | BC007252 |
| 基因名称 | COL2A1 |
| Gene ID (NCBI) | 1280 |
| 偶联类型 | Unconjugated |
| 形式 | Liquid |
| 纯化方式 | Protein A purification |
| UNIPROT ID | P02458 |
| 储存缓冲液 | PBS with 0.02% sodium azide and 50% glycerol, pH 7.3. |
| 储存条件 | Store at -20°C. Stable for one year after shipment. Aliquoting is unnecessary for -20oC storage. |
背景介绍
The COL2A1 gene encodes the alpha-1 chain of type II collagen, a fibrillar collagen found primarily in cartilage and the vitreous humor of the eye. Type II collagen is essential for the formation of the extracellular matrix in cartilage and other connective tissues, providing structure and strength to these tissues.
实验方案
| Product Specific Protocols | |
|---|---|
| IHC protocol for Collagen Type II antibody 86139-2-RR | Download protocol |
| WB protocol for Collagen Type II antibody 86139-2-RR | Download protocol |
| Standard Protocols | |
|---|---|
| Click here to view our Standard Protocols |



