验证数据展示
经过测试的应用
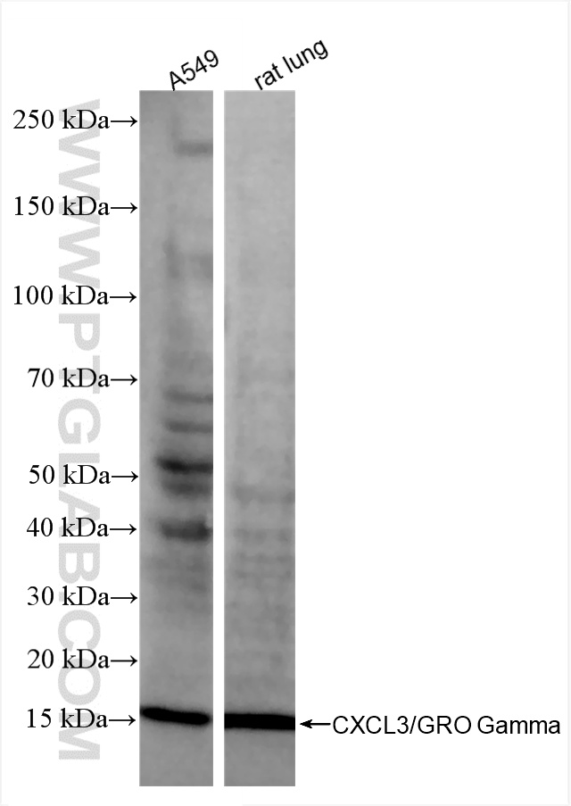
| Positive WB detected in | RAW 264.7 cells, A549 cells, rat lung tissue |
推荐稀释比
| 应用 | 推荐稀释比 |
|---|---|
| Western Blot (WB) | WB : 1:5000-1:50000 |
| It is recommended that this reagent should be titrated in each testing system to obtain optimal results. | |
| Sample-dependent, Check data in validation data gallery. | |
产品信息
86261-1-RR targets CXCL3/GRO Gamma in WB, ELISA applications and shows reactivity with human, mouse, rat samples.
| 经测试应用 | WB, ELISA Application Description |
| 经测试反应性 | human, mouse, rat |
| 免疫原 |
CatNo: Eg2982 Product name: Recombinant Human CXCL3/GRO Gamma protein (rFc Tag) Source: mammalian cells-derived, V37 Tag: C-rFc Domain: 35-107 aa of NM_002090.3 Sequence: ASVVTELRCQCLQTLQGIHLKNIQSVNVRSPGPHCAQTEVIATLKNGKKACLNPASPMVQKIIEKILNKGSTN 种属同源性预测 |
| 宿主/亚型 | Rabbit / IgG |
| 抗体类别 | Recombinant |
| 产品类型 | Antibody |
| 全称 | chemokine (C-X-C motif) ligand 3 |
| 别名 | CXCL/GRO Gamma, CXCL3, C X C motif chemokine 3, C-X-C motif chemokine 3, GRO gamma |
| 计算分子量 | 11 kDa |
| 观测分子量 | 11 kDa |
| GenBank蛋白编号 | NM_002090.3 |
| 基因名称 | CXCL3 |
| Gene ID (NCBI) | 2921 |
| 偶联类型 | Unconjugated |
| 形式 | Liquid |
| 纯化方式 | Protein A purification |
| UNIPROT ID | P19876 |
| 储存缓冲液 | PBS with 0.02% sodium azide and 50% glycerol, pH 7.3. |
| 储存条件 | Store at -20°C. Stable for one year after shipment. Aliquoting is unnecessary for -20oC storage. |
背景介绍
CXC chemokine ligand 3 (CXCL3) is a member of CXC-type chemokine family that is identified as a major regulator in immune and inflammation responses. CXCL3 is broadly expressed in various human tumor types, and it is also known to play a critical role in mediating tumor development and progression.
实验方案
| Product Specific Protocols | |
|---|---|
| WB protocol for CXCL3/GRO Gamma antibody 86261-1-RR | Download protocol |
| Standard Protocols | |
|---|---|
| Click here to view our Standard Protocols |

