验证数据展示
经过测试的应用
| Positive WB detected in | U2OS cells |
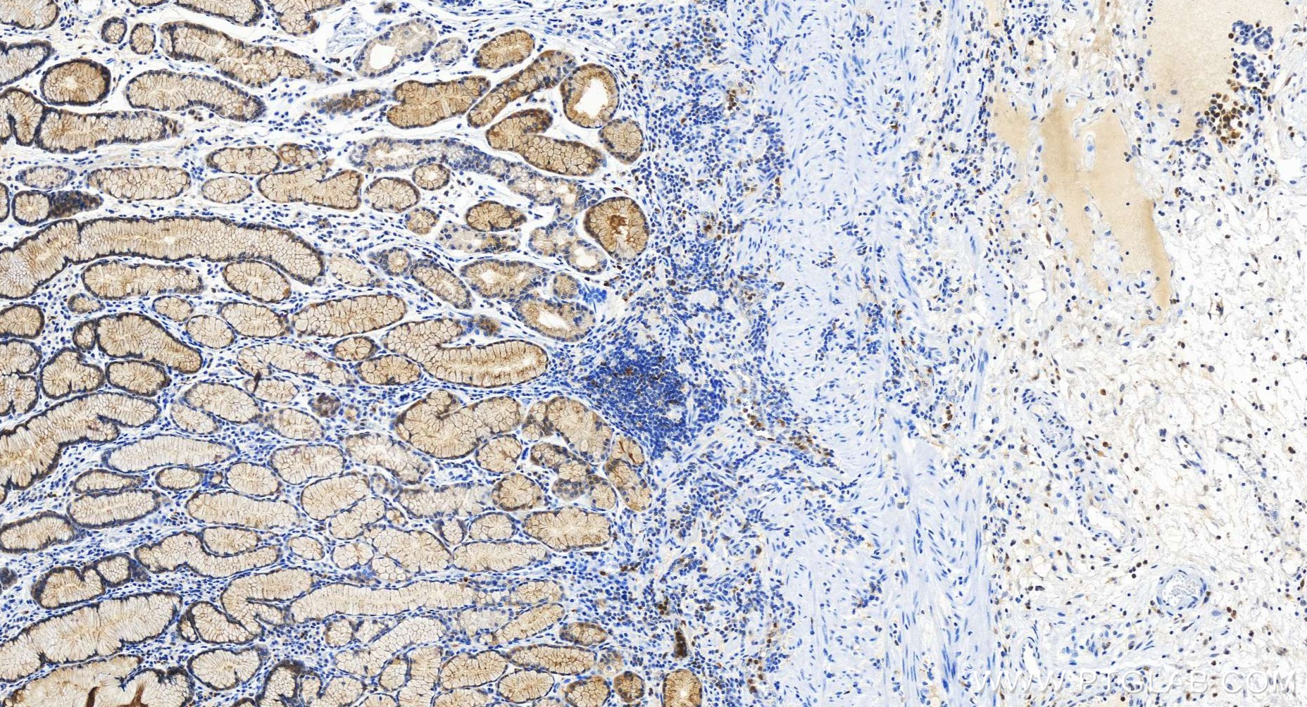
| Positive IHC detected in | human stomach cancer tissue Note: suggested antigen retrieval with TE buffer pH 9.0; (*) Alternatively, antigen retrieval may be performed with citrate buffer pH 6.0 |
推荐稀释比
| 应用 | 推荐稀释比 |
|---|---|
| Western Blot (WB) | WB : 1:1000-1:6000 |
| Immunohistochemistry (IHC) | IHC : 1:250-1:1000 |
| It is recommended that this reagent should be titrated in each testing system to obtain optimal results. | |
| Sample-dependent, Check data in validation data gallery. | |
产品信息
84953-4-RR targets Cystatin A in WB, IHC, ELISA applications and shows reactivity with human samples.
| 经测试应用 | WB, IHC, ELISA Application Description |
| 经测试反应性 | human |
| 免疫原 |
CatNo: Ag8733 Product name: Recombinant human CSTA protein Source: e coli.-derived, PGEX-4T Tag: GST Domain: 1-98 aa of BC010379 Sequence: MIPGGLSEAKPATPEIQEIVDKVKPQLEEKTNETYGKLEAVQYKTQVVAGTNYYIKVRAGDNKYMHLKVFKSLPGQNEDLVLTGYQVDKNKDDELTGF 种属同源性预测 |
| 宿主/亚型 | Rabbit / IgG |
| 抗体类别 | Recombinant |
| 产品类型 | Antibody |
| 全称 | cystatin A (stefin A) |
| 别名 | CSTA, 242558F10, Cystatin AS, Cystatin-A, Cystatin-A, N-terminally processed |
| 计算分子量 | 98 aa, 11 kDa |
| 观测分子量 | 11 kDa |
| GenBank蛋白编号 | BC010379 |
| 基因名称 | Cystatin A |
| Gene ID (NCBI) | 1475 |
| RRID | AB_3743880 |
| 偶联类型 | Unconjugated |
| 形式 | Liquid |
| 纯化方式 | Protein A purification |
| UNIPROT ID | P01040 |
| 储存缓冲液 | PBS with 0.02% sodium azide and 50% glycerol, pH 7.3. |
| 储存条件 | Store at -20°C. Stable for one year after shipment. Aliquoting is unnecessary for -20oC storage. |
背景介绍
Cystatin A (CSTA) is a member of the cystatin superfamily, which are thiol proteinase inhibitors (TPI) that play crucial roles in regulating proteolytic activity. It is a small protein composed of 98 amino acids with a molecular weight of approximately 11 kDa. CSTA is primarily expressed in epithelial tissues, such as the skin and esophagus, where it serves as a precursor protein for the cornified cell envelope in keratinocytes.
实验方案
| Product Specific Protocols | |
|---|---|
| IHC protocol for Cystatin A antibody 84953-4-RR | Download protocol |
| WB protocol for Cystatin A antibody 84953-4-RR | Download protocol |
| Standard Protocols | |
|---|---|
| Click here to view our Standard Protocols |



