验证数据展示
经过测试的应用
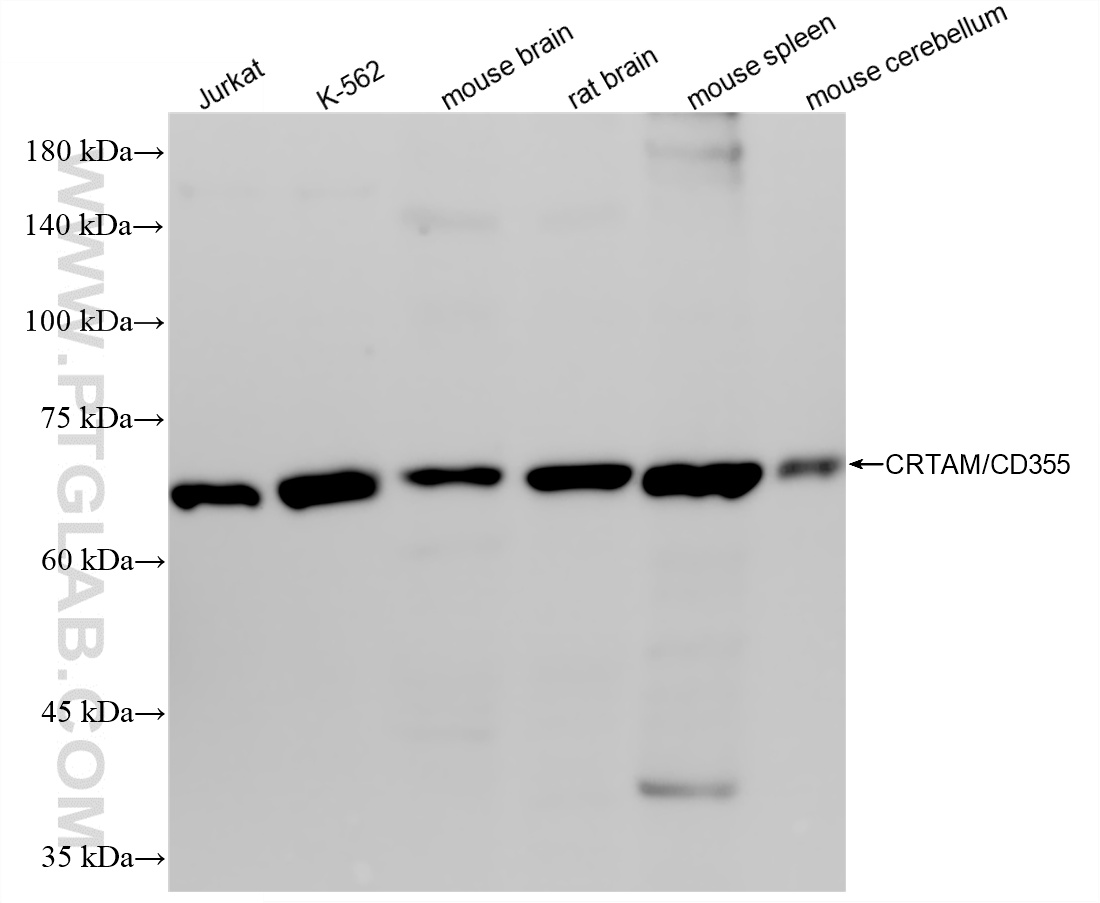
| Positive WB detected in | Jurkat cells, K-562 cells, mouse brain tissue, rat brain tissue, mouse spleen tissue, mouse cerebellum tissue |
| Positive IHC detected in | mouse brain tissue Note: suggested antigen retrieval with TE buffer pH 9.0; (*) Alternatively, antigen retrieval may be performed with citrate buffer pH 6.0 |
| Positive IF-P detected in | mouse brain tissue |
推荐稀释比
| 应用 | 推荐稀释比 |
|---|---|
| Western Blot (WB) | WB : 1:1000-1:4000 |
| Immunohistochemistry (IHC) | IHC : 1:400-1:1600 |
| Immunofluorescence (IF)-P | IF-P : 1:200-1:800 |
| It is recommended that this reagent should be titrated in each testing system to obtain optimal results. | |
| Sample-dependent, Check data in validation data gallery. | |
产品信息
84068-4-RR targets CRTAM/CD355 in WB, IHC, IF-P, ELISA applications and shows reactivity with human, mouse, rat samples.
| 经测试应用 | WB, IHC, IF-P, ELISA Application Description |
| 经测试反应性 | human, mouse, rat |
| 免疫原 |
CatNo: Eg1541 Product name: Recombinant Human CRTAM protein (His Tag) Source: mammalian cells-derived, pHZ-KIsec-C-6*HIS Tag: C-6*HIS Domain: 18-286 aa of NM_019604.4 Sequence: SLTNHTETITVEEGQTLTLKCVTSLRKNSSLQWLTPSGFTIFLNEYPALKNSKYQLLHHSANQLSITVPNVTLQDEGVYKCLHYSDSVSTKEVKVIVLATPFKPILEASVIRKQNGEEHVVLMCSTMRSKPPPQITWLLGNSMEVSGGTLHEFETDGKKCNTTSTLIIHTYGKNSTVDCIIRHRGLQGRKLVAPFRFEDLVTDEETASDALERNSLSSQDPQQPTSTVSVTEDSSTSEIDKEEKEQTTQDPDLTTEANPQYLGLARKKS 种属同源性预测 |
| 宿主/亚型 | Rabbit / IgG |
| 抗体类别 | Recombinant |
| 产品类型 | Antibody |
| 全称 | cytotoxic and regulatory T cell molecule |
| 别名 | CRTAM, 241280C4, CD355, Class-I MHC-restricted T-cell-associated molecule, Cytotoxic and regulatory T-cell molecule |
| 计算分子量 | 45 kDa |
| 观测分子量 | 70 kDa |
| GenBank蛋白编号 | NM_019604.4 |
| 基因名称 | CRTAM |
| Gene ID (NCBI) | 56253 |
| RRID | AB_3671636 |
| 偶联类型 | Unconjugated |
| 形式 | Liquid |
| 纯化方式 | Protein A purfication |
| UNIPROT ID | O95727-1 |
| 储存缓冲液 | PBS with 0.02% sodium azide and 50% glycerol, pH 7.3. |
| 储存条件 | Store at -20°C. Stable for one year after shipment. Aliquoting is unnecessary for -20oC storage. |
背景介绍
Cytotoxic and regulatory T cell molecule (CRTAM, also known as CD355) is an immunoglobulin-superfamily transmembrane protein with V and C1-like Ig domains, which is involved in epithelial cell adhesion (PMID: 18329370; 20556794). CRTAM is critical to instruct the differentiation of CD4+ cytotoxic T cells (CTL) through the induction of eomesodermin and CTL-related genes (PMID: 26694968). It also regulates CD8+ T cell retention within the lymph node and eventually effector function (PMID: 19752223). The predicted molecular weight of CRTAM is 43 kDa. Due to glycosylation, the observed molecular weight of CRTAM can be apparent at ~80 kDa (PMID: 16300832).
实验方案
| Product Specific Protocols | |
|---|---|
| IF protocol for CRTAM/CD355 antibody 84068-4-RR | Download protocol |
| IHC protocol for CRTAM/CD355 antibody 84068-4-RR | Download protocol |
| WB protocol for CRTAM/CD355 antibody 84068-4-RR | Download protocol |
| Standard Protocols | |
|---|---|
| Click here to view our Standard Protocols |



