验证数据展示
经过测试的应用
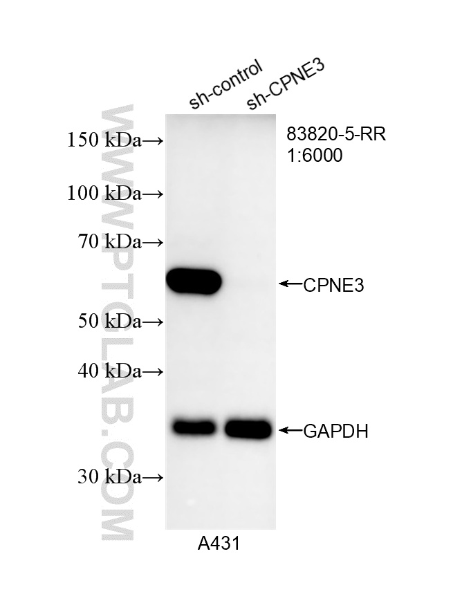
| Positive WB detected in | Y79 cells, A431 cells, HepG2 cells, A549 cells, HeLa cells, HuH-7 cells |
| Positive IP detected in | HepG2 cells |
| Positive IF/ICC detected in | A431 cells |
| Positive FC (Intra) detected in | HepG2 cells |
推荐稀释比
| 应用 | 推荐稀释比 |
|---|---|
| Western Blot (WB) | WB : 1:2000-1:14000 |
| Immunoprecipitation (IP) | IP : 0.5-4.0 ug for 1.0-3.0 mg of total protein lysate |
| Immunofluorescence (IF)/ICC | IF/ICC : 1:125-1:500 |
| Flow Cytometry (FC) (INTRA) | FC (INTRA) : 0.25 ug per 10^6 cells in a 100 µl suspension |
| It is recommended that this reagent should be titrated in each testing system to obtain optimal results. | |
| Sample-dependent, Check data in validation data gallery. | |
产品信息
83820-5-RR targets CPNE3 in WB, IF/ICC, FC (Intra), IP, ELISA applications and shows reactivity with human samples.
| 经测试应用 | WB, IF/ICC, FC (Intra), IP, ELISA Application Description |
| 经测试反应性 | human |
| 免疫原 |
CatNo: Ag1634 Product name: Recombinant human CPNE3 protein Source: e coli.-derived, PGEX-4T Tag: GST Domain: 238-537 aa of BC036242 Sequence: EASRSSPVEFECINEKKRQKKKSYKNSGVISVKQCEITVECTFLDYIMGGCQLNFTVGVDFTGSNGDPRSPDSLHYISPNGVNEYLTALWSVGLVIQDYDADKMFPAFGFGAQIPPQWQVSHEFPMNFNPSNPYCNGIQGIVEAYRSCLPQIKLYGQTNFSPIINHVARFAAAATQQQTASRYFVLLIITDGVITDLDETRQAIVNASRLPMSIIIVGVGGADFSAMEFLDGDGGSLHSPLGEVAIRDIVQFVPFRQFQNAPKEALAQCVLAEIPQQVVGYFNTYKLLPPKNPATKQQKQ 种属同源性预测 |
| 宿主/亚型 | Rabbit / IgG |
| 抗体类别 | Recombinant |
| 产品类型 | Antibody |
| 全称 | copine III |
| 别名 | 240871E5, Copine 3, Copine III, Copine-3, copineIII |
| 计算分子量 | 60 kDa |
| 观测分子量 | 60 kDa |
| GenBank蛋白编号 | BC036242 |
| 基因名称 | CPNE3 |
| Gene ID (NCBI) | 8895 |
| RRID | AB_3671405 |
| 偶联类型 | Unconjugated |
| 形式 | Liquid |
| 纯化方式 | Protein A purfication |
| UNIPROT ID | O75131 |
| 储存缓冲液 | PBS with 0.02% sodium azide and 50% glycerol, pH 7.3. |
| 储存条件 | Store at -20°C. Stable for one year after shipment. Aliquoting is unnecessary for -20oC storage. |
背景介绍
Copines are a family of evolutionarily conserved calcium-dependent phospholipid-binding proteins (PMID: 9430674). They contain two Ca(2+)- and phospholipid-binding domains known as C2 domains. Copines are potentially involved in regulating membrane trafficking and in protein-protein interactions. Copine III (CPNE3) has also been identified as a ligand of ERBB2 and plays an important role in various carcinogenesis. The high expression of CPNE3 is an adverse prognostic biomarker for acute myeloid leukemia (PMID: 28670859).
实验方案
| Product Specific Protocols | |
|---|---|
| IF protocol for CPNE3 antibody 83820-5-RR | Download protocol |
| IP protocol for CPNE3 antibody 83820-5-RR | Download protocol |
| WB protocol for CPNE3 antibody 83820-5-RR | Download protocol |
| Standard Protocols | |
|---|---|
| Click here to view our Standard Protocols |





