验证数据展示
经过测试的应用
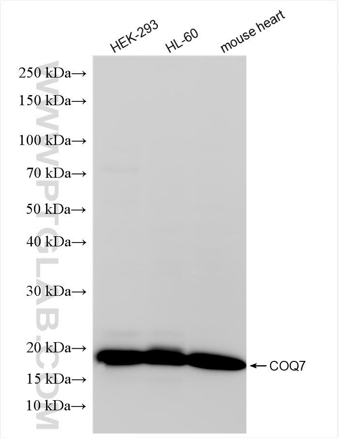
| Positive WB detected in | HEK-293 cells, HL-60 cells, mouse heart tissue |
推荐稀释比
| 应用 | 推荐稀释比 |
|---|---|
| Western Blot (WB) | WB : 1:1000-1:8000 |
| It is recommended that this reagent should be titrated in each testing system to obtain optimal results. | |
| Sample-dependent, Check data in validation data gallery. | |
产品信息
86394-1-RR targets COQ7 in WB, ELISA applications and shows reactivity with human, mouse, rat samples.
| 经测试应用 | WB, ELISA Application Description |
| 经测试反应性 | human, mouse, rat |
| 免疫原 |
CatNo: Ag7161 Product name: Recombinant human COQ7 protein Source: e coli.-derived, PGEX-4T Tag: GST Domain: 1-217 aa of BC003185 Sequence: MSCAGAAAAPRLWRLRPGARRSLSAYGRRTSVRFRSSGMTLDNISRAAVDRIIRVDHAGEYGANRIYAGQMAVLGRTSVGPVIQKMWDQEKDHLKKFNELMVTFRVRPTVLMPLWNVLGFALGAGTALLGKEGAMACTVAVEESIAHHYNNQIRTLMEEDPEKYEELLQLIKKFRDEELEHHDIGLDHDAELAPAYAVLKSIIQAGCRVAIYLSERL 种属同源性预测 |
| 宿主/亚型 | Rabbit / IgG |
| 抗体类别 | Recombinant |
| 产品类型 | Antibody |
| 全称 | coenzyme Q7 homolog, ubiquinone (yeast) |
| 别名 | CAT5, CLK1, EC:1.14.99.60, Timing protein clk-1 homolog, Ubiquinone biosynthesis monooxygenase COQ7 |
| 计算分子量 | 24 kDa |
| 观测分子量 | 20~24 kDa |
| GenBank蛋白编号 | BC003185 |
| 基因名称 | COQ7 |
| Gene ID (NCBI) | 10229 |
| RRID | AB_3744857 |
| 偶联类型 | Unconjugated |
| 形式 | Liquid |
| 纯化方式 | Protein A purification |
| UNIPROT ID | Q99807 |
| 储存缓冲液 | PBS with 0.02% sodium azide and 50% glycerol, pH 7.3. |
| 储存条件 | Store at -20°C. Stable for one year after shipment. Aliquoting is unnecessary for -20oC storage. |
背景介绍
COQ7(Ubiquinone biosynthesis protein COQ7 homolog) catalyzes the production of coenzyme Q (CoQ) in mitochondria. The predicted protein contains 179 amino acids, is mostly helical, and contains an alpha-helical membrane insertion. It has a potential N-glycosylation site, a phosphorylation site for protein kinase C and another for casein kinase II, and 3 N-myristoylation sites. This protein has 2 isoforms produced by alternative splicing with MW 20-24 kDa.
实验方案
| Product Specific Protocols | |
|---|---|
| WB protocol for COQ7 antibody 86394-1-RR | Download protocol |
| Standard Protocols | |
|---|---|
| Click here to view our Standard Protocols |

