验证数据展示
经过测试的应用
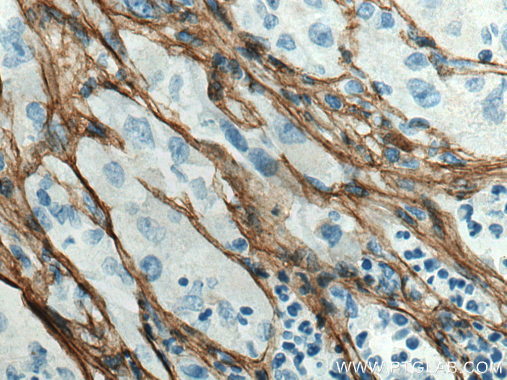
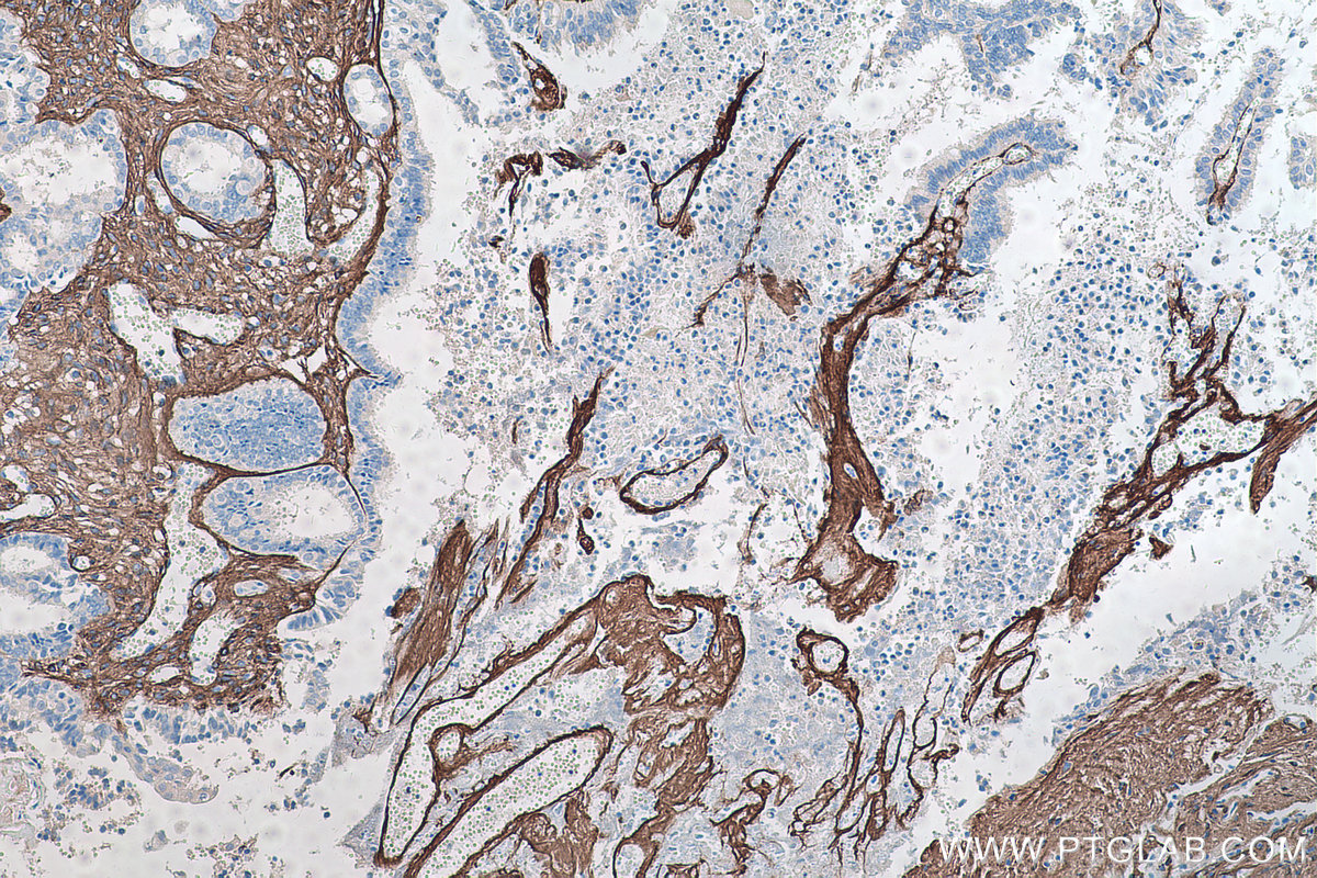
| Positive IHC detected in | human colon tissue, human colon cancer tissue, human ovary tumor tissue, human pancreas cancer tissue, human skin cancer tissue Note: suggested antigen retrieval with TE buffer pH 9.0; (*) Alternatively, antigen retrieval may be performed with citrate buffer pH 6.0 |
| Positive IF-P detected in | human colon tissue |
推荐稀释比
| 应用 | 推荐稀释比 |
|---|---|
| Immunohistochemistry (IHC) | IHC : 1:2000-1:8000 |
| Immunofluorescence (IF)-P | IF-P : 1:50-1:500 |
| It is recommended that this reagent should be titrated in each testing system to obtain optimal results. | |
| Sample-dependent, Check data in validation data gallery. | |
发表文章中的应用
| WB | See 1 publications below |
产品信息
80009-1-RR targets Collagen Type III (N-terminal) in WB, IHC, IF-P, ELISA applications and shows reactivity with human samples.
| 经测试应用 | IHC, IF-P, ELISA Application Description |
| 文献引用应用 | WB |
| 经测试反应性 | human |
| 免疫原 |
CatNo: Ag18658 Product name: Recombinant human COL3A1 protein Source: e coli.-derived, PGEX-4T Tag: GST Domain: 24-152 aa of BC028178 Sequence: QQEAVEGGCSHLGQSYADRDVWKPEPCQICVCDSGSVLCDDIICDDQELDCPNPEIPFGECCAVCPQPPTAPTRPPNGQGPQGPKGDPGPPGIPGRNGDPGIPGQPGSPGSPGPPGICESCPTGPQNYS 种属同源性预测 |
| 宿主/亚型 | Rabbit / IgG |
| 抗体类别 | Recombinant |
| 产品类型 | Antibody |
| 全称 | collagen, type III, alpha 1 |
| 别名 | COL3, COL3A1, Collagen alpha 1(III) chain, Collagen alpha-1(III) chain, Collagen Type III |
| 计算分子量 | 1466 aa, 139 kDa |
| GenBank蛋白编号 | BC028178 |
| 基因名称 | COL3A1 |
| Gene ID (NCBI) | 1281 |
| RRID | AB_2882939 |
| 偶联类型 | Unconjugated |
| 形式 | Liquid |
| 纯化方式 | Protein A purification |
| UNIPROT ID | P02461 |
| 储存缓冲液 | PBS with 0.02% sodium azide and 50% glycerol, pH 7.3. |
| 储存条件 | Store at -20°C. Stable for one year after shipment. Aliquoting is unnecessary for -20oC storage. |
背景介绍
Type III collagen is a fibrillar forming collagen comprising three α1(III) chains and is expressed in early embryos and throughout embryogenesis (PMID: 9050868). In the adult, type III collagen is a major component of the extracellular matrix in a variety of internal organs and skin. It occurs in most soft connective tissues along with type I collagen (PMID: 2445760). COL3A1 gene encodes type III procollagen. Mutations in this gene are associated with Ehlers-Danlos syndrome types IV, and with aortic and arterial aneurysms (PMID: 10706896; 2243125; 18389341). This antibody was raised against 24-152 aa of prepro α1 (III) chain of human type III procollagen. It can't recognize mouse or rat type III collagen.
实验方案
| Product Specific Protocols | |
|---|---|
| IF protocol for Collagen Type III (N-terminal) antibody 80009-1-RR | Download protocol |
| IHC protocol for Collagen Type III (N-terminal) antibody 80009-1-RR | Download protocol |
| Standard Protocols | |
|---|---|
| Click here to view our Standard Protocols |

















