验证数据展示
经过测试的应用
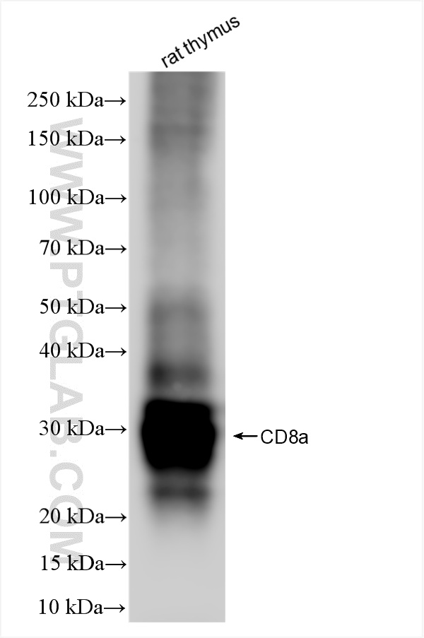
| Positive WB detected in | rat thymus tissue |
推荐稀释比
| 应用 | 推荐稀释比 |
|---|---|
| Western Blot (WB) | WB : 1:2000-1:10000 |
| It is recommended that this reagent should be titrated in each testing system to obtain optimal results. | |
| Sample-dependent, Check data in validation data gallery. | |
产品信息
86119-1-RR targets CD8a in WB, ELISA applications and shows reactivity with rat samples.
| 经测试应用 | WB, ELISA Application Description |
| 经测试反应性 | rat |
| 免疫原 |
CatNo: Eg3839 Product name: Recombinant Rat CD8A protein (rFc Tag) Source: mammalian cells-derived, pHZ-KIsec-C-rFc Tag: C-rFc Domain: 27-189 aa of NM_031538.2 Sequence: QLQLSPKKVDAEIGQEVKLTCEVLRDTSQGCSWLFRNSSSELLQPTFIIYVSSSRSKLNDILDPNLFSARKENNKYILTLSKFSTKNQGYYFCSITSNSVMYFSPLVPVFQKVNSIITKPVTRAPTPVPPPTGTPRPLRPEACRPGASGSVEGMGLGFACDIY 种属同源性预测 |
| 宿主/亚型 | Rabbit / IgG |
| 抗体类别 | Recombinant |
| 产品类型 | Antibody |
| 全称 | CD8a molecule |
| 别名 | CD8, CD8 antigen 32 kDa chain, CD8a molecule, OX-8 membrane antigen, T-cell surface glycoprotein CD8 alpha chain |
| 计算分子量 | 26 kDa |
| 观测分子量 | 30 kDa |
| GenBank蛋白编号 | NM_031538.2 |
| 基因名称 | Cd8a |
| Gene ID (NCBI) | 24930 |
| RRID | AB_3744637 |
| 偶联类型 | Unconjugated |
| 形式 | Liquid |
| 纯化方式 | Protein A purification |
| UNIPROT ID | P07725 |
| 储存缓冲液 | PBS with 0.02% sodium azide and 50% glycerol, pH 7.3. |
| 储存条件 | Store at -20°C. Stable for one year after shipment. Aliquoting is unnecessary for -20oC storage. |
背景介绍
CD8 is a transmembrane glycoprotein composed of two disulfide-linked chains. It can be present as a homodimer of CD8α or as a heterodimer of CD8α and CD8β (PMID: 3264320; 8253791). CD8 is found on most thymocytes. The majority of class I-restricted T cells express mostly the CD8αβ heterodimer while CD8αα homodimers alone have been found on some gut intraepithelial T cells, on some T cell receptor (TCR) γδ T cells and on NK cells (PMID: 2111591; 1831127; 8420975). CD8 acts as a co-receptor that binds to MHC class-I and participates in cytotoxic T cell activation (PMID: 8499079). During T cell development, CD8 is required for positive selection of CD4-/CD8+ T cells (PMID: 1968084).
实验方案
| Product Specific Protocols | |
|---|---|
| WB protocol for CD8a antibody 86119-1-RR | Download protocol |
| Standard Protocols | |
|---|---|
| Click here to view our Standard Protocols |
