验证数据展示
产品信息
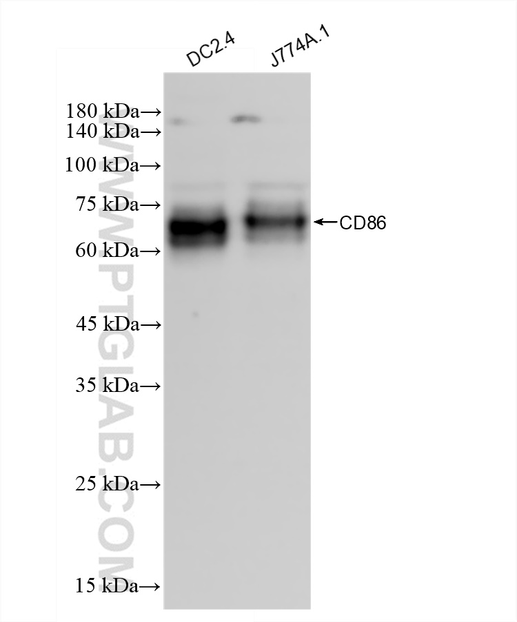
83213-5-PBS targets CD86 in WB, ELISA applications and shows reactivity with mouse samples.
| 经测试应用 | WB, ELISA Application Description |
| 经测试反应性 | mouse |
| 免疫原 |
CatNo: Eg0802 Product name: Recombinant Mouse CD86 protein (His Tag) Source: mammalian cells-derived, pHZ-KIsec-C-6*HIS Tag: C-6*HIS Domain: 24-245 aa of NM_019388 Sequence: VSVETQAYFNGTAYLPCPFTKAQNISLSELVVFWQDQQKLVLYEHYLGTEKLDSVNAKYLGRTSFDRNNWTLRLHNVQIKDMGSYDCFIQKKPPTGSIILQQTLTELSVIANFSEPEIKLAQNVTGNSGINLTCTSKQGHPKPKKMYFLITNSTNEYGDNMQISQDNVTELFSISNSLSLSFPDGVWHMTVVCVLETESMKISSKPLNFTQEFPSPQTYWKE 种属同源性预测 |
| 宿主/亚型 | Rabbit / IgG |
| 抗体类别 | Recombinant |
| 产品类型 | Antibody |
| 全称 | CD86 antigen |
| 别名 | 230476A1, B7, B7 2, B7.2, B70 |
| 计算分子量 | 35 kDa |
| 观测分子量 | 65 kDa |
| GenBank蛋白编号 | NM_019388 |
| 基因名称 | Cd86 |
| Gene ID (NCBI) | 12524 |
| RRID | AB_3670898 |
| 偶联类型 | Unconjugated |
| 形式 | Liquid |
| 纯化方式 | Protein A purfication |
| UNIPROT ID | P42082-1 |
| 储存缓冲液 | PBS only, pH 7.3. |
| 储存条件 | Store at -80°C. The product is shipped with ice packs. Upon receipt, store it immediately at -80°C |
背景介绍
CD86 (also known as B7-2) is a costimulatory molecule belonging to the immunoglobulin superfamily. Primarily expressed on antigen-presenting cells (APCs), including B cells, dendritic cells, and macrophages, CD86 is the ligand for two proteins at the cell surface of T cells, CD28 antigen and CTLA-4. Binding of CD86 with CD28 antigen is a costimulatory signal for activation of the T-cell. Binding of CD86 with CTLA-4 negatively regulates T-cell activation and diminishes the immune response. (PMID: 7513726; 1847722; 11029388; 27591335)

