验证数据展示
经过测试的应用
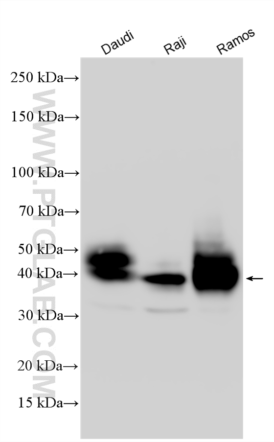
| Positive WB detected in | Daudi cells, Raji cells, Ramos cells | 
| Positive IHC detected in | human tonsillitis tissue Note: suggested antigen retrieval with TE buffer pH 9.0; (*) Alternatively, antigen retrieval may be performed with citrate buffer pH 6.0  | 
推荐稀释比
| 应用 | 推荐稀释比 | 
|---|---|
| Western Blot (WB) | WB : 1:1000-1:8000 | 
| Immunohistochemistry (IHC) | IHC : 1:1000-1:4000 | 
| It is recommended that this reagent should be titrated in each testing system to obtain optimal results. | |
| Sample-dependent, Check data in validation data gallery. | |
产品信息
27519-1-AP targets CD48 in WB, IHC, ELISA applications and shows reactivity with human samples.
| 经测试应用 | WB, IHC, ELISA Application Description | 
| 经测试反应性 | human | 
| 免疫原 | 
                                             CatNo: Ag26536 Product name: Recombinant human CD48 protein Source: e coli.-derived, PGEX-4T Tag: GST Domain: 27-220 aa of BC016182 Sequence: QGHLVHMTVVSGSNVTLNISESLPENYKQLTWFYTFDQKIVEWDSRKSKYFESKFKGRVRLDPQSGALYISKVQKEDNSTYIMRVLKKTGNEQEWKIKLQVLDPVPKPVIKIEKIEDMDDNCYLKLSCVIPGESVNYTWYGDKRPFPKELQNSVLETTLMPHNYSRCYTCQVSNSVSSKNGTVCLSPPCTLARS 种属同源性预测 | 
                                    
| 宿主/亚型 | Rabbit / IgG | 
| 抗体类别 | Polyclonal | 
| 产品类型 | Antibody | 
| 全称 | CD48 molecule | 
| 别名 | BLAST, BLAST1, B-lymphocyte activation marker BLAST-1, CD48 antigen, CD48 molecule | 
| 计算分子量 | 43 kDa | 
| 观测分子量 | 38-45 kDa | 
| GenBank蛋白编号 | BC016182 | 
| 基因名称 | CD48 | 
| Gene ID (NCBI) | 962 | 
| RRID | AB_2880897 | 
| 偶联类型 | Unconjugated | 
| 形式 | Liquid | 
| 纯化方式 | Antigen affinity purification | 
| UNIPROT ID | P09326 | 
| 储存缓冲液 | PBS with 0.02% sodium azide and 50% glycerol, pH 7.3. | 
| 储存条件 | Store at -20°C. Stable for one year after shipment. Aliquoting is unnecessary for -20oC storage. | 
背景介绍
Signaling lymphocytic activation molecule family 2 (SLAMF2, CD48) is an adhesion and costimulatory molecule expressed constitutively on most hematopoietic cells, particularly in antigen-presenting cells (APC). CD48 is expressed on all the hematopoietic cells, both in humans and mice, except for murine neutrophils and long-term HSC. CD48 exists as both a membrane-bound (mCD48) and a soluble (sCD48) form. CD48 can activate T cells, antigen-presenting cells and granulocytes, by binding to CD2 or bacterial FimH, and through cell intrinsic effects. Interactions between CD48 and its high-affinity ligand CD244 are more complex, with both stimulatory and inhibitory outcomes. CD48 expression is increased in autoimmunity and allergy diseases, and anti-CD48 monoclonal antibodies have been shown to attenuate experimental autoimmune encephalomyelitis.
实验方案
| Product Specific Protocols | |
|---|---|
| IHC protocol for CD48 antibody 27519-1-AP | Download protocol | 
| WB protocol for CD48 antibody 27519-1-AP | Download protocol | 
| Standard Protocols | |
|---|---|
| Click here to view our Standard Protocols | 



