验证数据展示
经过测试的应用
| Positive WB detected in | C2C12 cells, HeLa cells, RAW 264.7 cells, A549 cells |
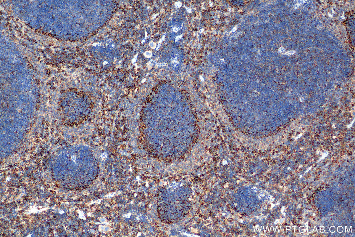
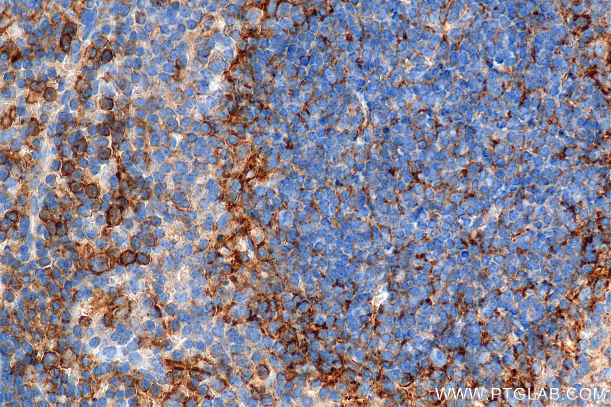
| Positive IHC detected in | mouse spleen tissue, mouse colon tissue, mouse skin tissue Note: suggested antigen retrieval with TE buffer pH 9.0; (*) Alternatively, antigen retrieval may be performed with citrate buffer pH 6.0 |
| Positive IF-P detected in | mouse spleen tissue |
| Positive IF-Fro detected in | mouse spleen tissue |
| Positive IF/ICC detected in | RAW 264.7 cells |
推荐稀释比
| 应用 | 推荐稀释比 |
|---|---|
| Western Blot (WB) | WB : 1:1000-1:6000 |
| Immunohistochemistry (IHC) | IHC : 1:1000-1:4000 |
| Immunofluorescence (IF)-P | IF-P : 1:50-1:500 |
| Immunofluorescence (IF)-FRO | IF-FRO : 1:50-1:500 |
| Immunofluorescence (IF)/ICC | IF/ICC : 1:250-1:1000 |
| It is recommended that this reagent should be titrated in each testing system to obtain optimal results. | |
| Sample-dependent, Check data in validation data gallery. | |
产品信息
85163-5-RR targets CD44 in WB, IHC, IF/ICC, IF-P, IF-Fro, ELISA applications and shows reactivity with human, mouse samples.
| 经测试应用 | WB, IHC, IF/ICC, IF-P, IF-Fro, ELISA Application Description |
| 经测试反应性 | human, mouse |
| 免疫原 |
CatNo: Eg3159 Product name: Recombinant Mouse CD44 protein (rFc Tag) (HPLC verified) Source: mammalian cells-derived, V37 Tag: C-rFc Domain: 25-224 aa of NM_009851.2 Sequence: QIDLNVTCRYAGVFHVEKNGRYSISRTEAADLCQAFNSTLPTMDQMKLALSKGFETCRYGFIEGNVVIPRIHPNAICAANHTGVYILVTSNTSHYDTYCFNASAPPEEDCTSVTDLPNSFDGPVTITIVNRDGTRYSKKGEYRTHQEDIDASNIIDDDVSSGSTIEKSTPESYILHTYLPTEQPTGDQDDSFFIRSTLAT 种属同源性预测 |
| 宿主/亚型 | Rabbit / IgG |
| 抗体类别 | Recombinant |
| 产品类型 | Antibody |
| 全称 | CD44 antigen |
| 别名 | 242666C11, CD44 antigen, CDw44, CSPG8, ECMR III |
| 计算分子量 | 86 kDa |
| 观测分子量 | 85 kDa |
| GenBank蛋白编号 | NM_009851.2 |
| 基因名称 | Cd44 |
| Gene ID (NCBI) | 12505 |
| RRID | AB_3744070 |
| 偶联类型 | Unconjugated |
| 形式 | Liquid |
| 纯化方式 | Protein A purification |
| UNIPROT ID | NP_033981 |
| 储存缓冲液 | PBS with 0.02% sodium azide and 50% glycerol, pH 7.3. |
| 储存条件 | Store at -20°C. Stable for one year after shipment. Aliquoting is unnecessary for -20oC storage. |
背景介绍
CD44 is a type I transmembrane glycoprotein expressed on embryonic stem cells and in various levels on other cell types including connective tissues and bone marrow. CD44 expression is also upregulated in subpopulations of cancer cells and is recognized as a molecular marker for cancer stem cells (PMID: 29747682). It is a cell-surface receptor that mediates cell-cell and cell-matrix interactions through its affinity for hyaluronic acid (HA) and possibly also through its affinity for other ligands (PMID: 10694938). Adhesion with HA plays an important role in cell migration, tumor growth and progression. CD44 is also involved in lymphocyte activation, recirculation and homing, and in hematopoiesis.
实验方案
| Product Specific Protocols | |
|---|---|
| IF protocol for CD44 antibody 85163-5-RR | Download protocol |
| IHC protocol for CD44 antibody 85163-5-RR | Download protocol |
| WB protocol for CD44 antibody 85163-5-RR | Download protocol |
| Standard Protocols | |
|---|---|
| Click here to view our Standard Protocols |











