验证数据展示
经过测试的应用
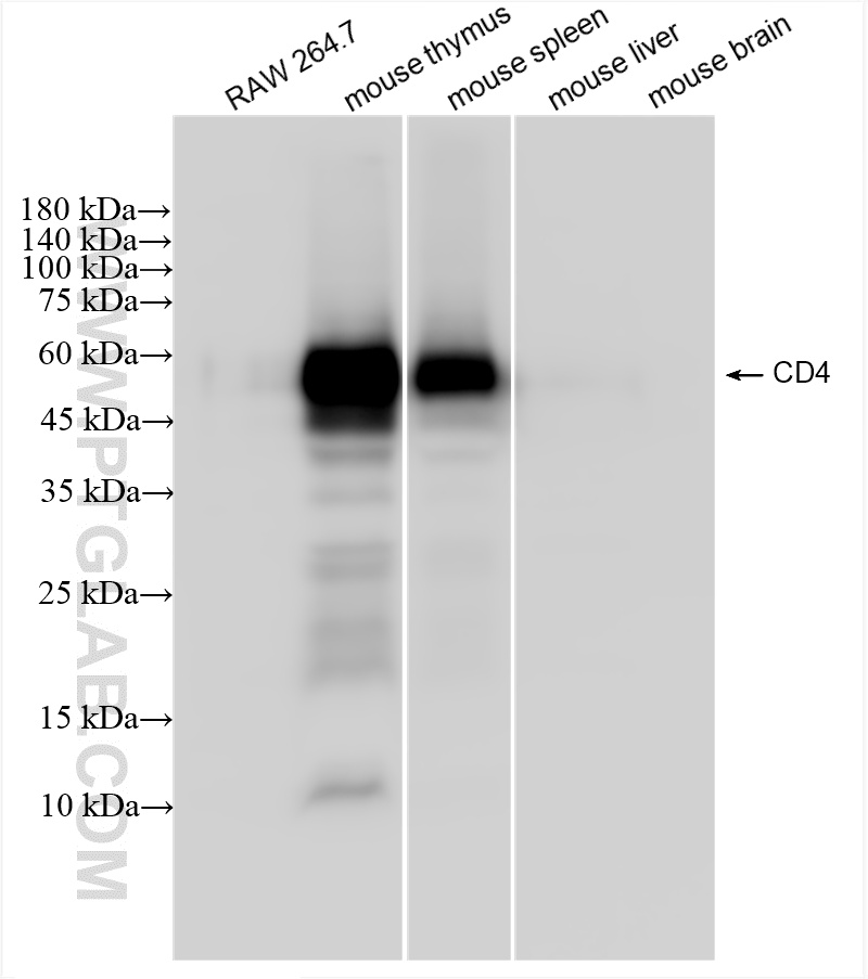
| Positive WB detected in | mouse thymus tissue, mouse spleen tissue |
| Positive IHC detected in | mouse spleen tissue, mouse thymus tissue Note: suggested antigen retrieval with TE buffer pH 9.0; (*) Alternatively, antigen retrieval may be performed with citrate buffer pH 6.0 |
| Positive IF-P detected in | mouse thymus tissue, mouse spleen tissue |
| Positive IF-Fro detected in | mouse spleen tissue |
推荐稀释比
| 应用 | 推荐稀释比 |
|---|---|
| Western Blot (WB) | WB : 1:1000-1:6000 |
| Immunohistochemistry (IHC) | IHC : 1:500-1:2000 |
| Immunofluorescence (IF)-P | IF-P : 1:500-1:2000 |
| Immunofluorescence (IF)-FRO | IF-FRO : 1:50-1:500 |
| It is recommended that this reagent should be titrated in each testing system to obtain optimal results. | |
| Sample-dependent, Check data in validation data gallery. | |
发表文章中的应用
| IHC | See 1 publications below |
| IF | See 4 publications below |
产品信息
86300-3-RR targets CD4 in WB, IHC, IF-P, IF-Fro, ELISA applications and shows reactivity with mouse samples.
| 经测试应用 | WB, IHC, IF-P, IF-Fro, ELISA Application Description |
| 文献引用应用 | IHC, IF, IF-P |
| 经测试反应性 | mouse |
| 文献引用反应性 | mouse |
| 免疫原 |
CatNo: Eg3847 Product name: Recombinant Mouse CD4 protein (rFc Tag) (HPLC verified) Source: mammalian cells-derived, pHZ-KIsec-C-rFc Tag: C-rFc Domain: 27-394 aa of NM_013488 Sequence: KTLVLGKEGESAELPCESSQKKITVFTWKFSDQRKILGQHGKGVLIRGGSPSQFDRFDSKKGAWEKGSFPLIINKLKMEDSQTYICELENRKEEVELWVFKVTFSPGTSLLQGQSLTLTLDSNSKVSNPLTECKHKKGKVVSGSKVLSMSNLRVQDSDFWNCTVTLDQKKNWFGMTLSVLGFQSTAITAYKSEGESAEFSFPLNFAEENGWGELMWKAEKDSFFQPWISFSIKNKEVSVQKSTKDLKLQLKETLPLTLKIPQVSLQFAGSGNLTLTLDKGTLHQEVNLVVMKVAQLNNTLTCEVMGPTSPKMRLTLKQENQEARVSEEQKVVQVVAPETGLWQCLLSEGDKVKMDSRIQVLSRGVNQT 种属同源性预测 |
| 宿主/亚型 | Rabbit / IgG |
| 抗体类别 | Recombinant |
| 产品类型 | Antibody |
| 全称 | CD4 antigen |
| 别名 | CD4 antigen, L3T4, Ly 4, T-cell differentiation antigen L3T4, T-cell surface antigen T4/Leu-3 |
| 计算分子量 | 51 kDa |
| 观测分子量 | 55 kDa |
| GenBank蛋白编号 | NM_013488 |
| 基因名称 | Cd4 |
| Gene ID (NCBI) | 12504 |
| RRID | AB_3718554 |
| 偶联类型 | Unconjugated |
| 形式 | Liquid |
| 纯化方式 | Protein A purification |
| UNIPROT ID | P06332 |
| 储存缓冲液 | PBS with 0.02% sodium azide and 50% glycerol, pH 7.3. |
| 储存条件 | Store at -20°C. Stable for one year after shipment. Aliquoting is unnecessary for -20oC storage. |
背景介绍
CD4 is a 55-kDa transmembrane glycoprotein expressed on T helper cells, the majority of thymocytes, monocytes, macrophages, and dendritic cells (PMID: 9304802; 12213222). CD4 is an accessory protein for MHC class-II antigen/T-cell receptor interaction. It plays an important role in T helper cell development and activation (PMID: 9539765; 3112582). CD4 serves as a receptor for the human immunodeficiency virus (HIV) (PMID: 9304802).
实验方案
| Product Specific Protocols | |
|---|---|
| IF protocol for CD4 antibody 86300-3-RR | Download protocol |
| IHC protocol for CD4 antibody 86300-3-RR | Download protocol |
| WB protocol for CD4 antibody 86300-3-RR | Download protocol |
| Standard Protocols | |
|---|---|
| Click here to view our Standard Protocols |
发表文章
| Species | Application | Title |
|---|---|---|
Nutrients Impact of High-Fat Diet and Aflatoxin B1 on Immunometabolic Dysfunction and the Dose-Responsive Modulation by Isoleucine Supplementation. | ||
Front Immunol DEFA5-producing CD4(+) T cells in the intestines of atopic dermatitis patients play an important role in the development of AD-associated intestinal inflammation. | ||
Acta Biomater β-Glucan nanotubes loaded with iron diselenide for enhanced photothermal and photodynamic therapy in hepatocellular carcinoma. | ||
Microorganisms Clostridium perfringens Type A Isolated from Intestinal Contents of Alpaca. | ||
Adv Sci (Weinh) Decoding the Cardiac Immune Microenvironment and Fibroblast Crosstalk in Radiotherapy Combined with Immunotherapy-Induced Cardiac Fibrosis Based on Single-Cell Transcriptomic Analysis. | ||
Biomaterials Conjugated polymer intrachain donor-acceptor reconfiguration-tailored off-on NIR-II photoacoustic probes with ultralow background for high-fidelity imaging of immunotherapy-associated macrophage reprogramming. |







