验证数据展示
经过测试的应用
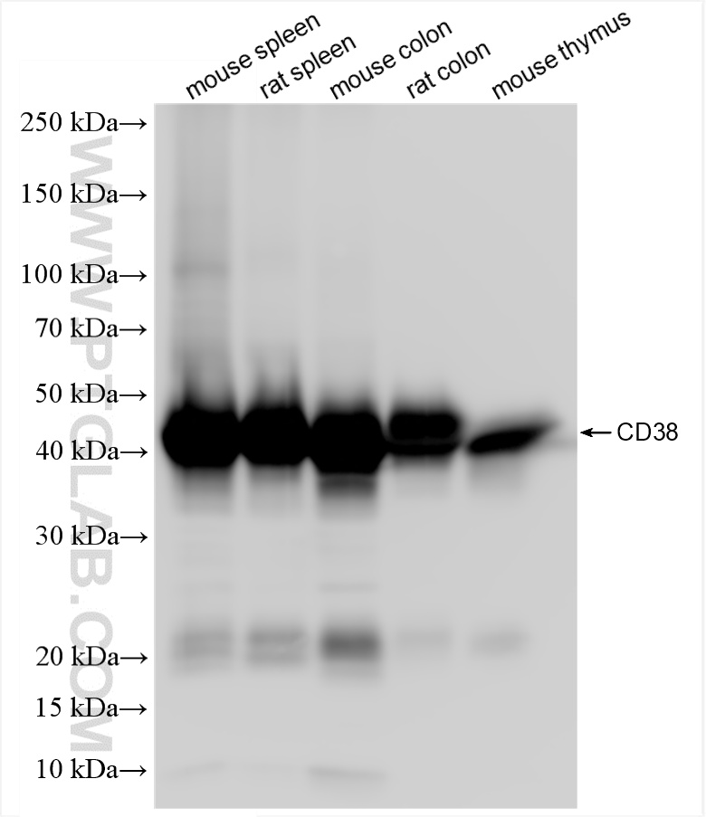
| Positive WB detected in | mouse spleen tissue, rat spleen tissue, mouse colon tissue, rat colon tissue, mouse thymus tissue |
推荐稀释比
| 应用 | 推荐稀释比 |
|---|---|
| Western Blot (WB) | WB : 1:5000-1:50000 |
| It is recommended that this reagent should be titrated in each testing system to obtain optimal results. | |
| Sample-dependent, Check data in validation data gallery. | |
产品信息
85843-1-RR targets CD38 in WB, ELISA applications and shows reactivity with mouse, rat samples.
| 经测试应用 | WB, ELISA Application Description |
| 经测试反应性 | mouse, rat |
| 免疫原 |
CatNo: Eg2915 Product name: Recombinant Mouse CD38 protein (rFc Tag) Source: mammalian cells-derived, V37 Tag: C-rFc Domain: 45-304 aa of NM_007646.5 Sequence: LRPRSLLVWTGEPTTKHFSDIFLGRCLIYTQILRPEMRDQNCQEILSTFKGAFVSKNPCNITREDYAPLVKLVTQTIPCNKTLFWSKSKHLAHQYTWIQGKMFTLEDTLLGYIADDLRWCGDPSTSDMNYVSCPHWSENCPNNPITVFWKVISQKFAEDACGVVQVMLNGSLREPFYKNSTFGSVEVFSLDPNKVHKLQAWVMHDIEGASSNACSSSSLNELKMIVQKRNMIFACVDNYRPARFLQCVKNPEHPSCRLNT 种属同源性预测 |
| 宿主/亚型 | Rabbit / IgG |
| 抗体类别 | Recombinant |
| 产品类型 | Antibody |
| 全称 | CD38 antigen |
| 别名 | ADP ribosyl cyclase/cyclic ADP ribose hydrolase, CD38 antigen, Cyclic ADP ribose hydrolase 1 |
| 计算分子量 | 34 kDa |
| 观测分子量 | 40-45 kDa |
| GenBank蛋白编号 | NM_007646.5 |
| 基因名称 | Cd38 |
| Gene ID (NCBI) | 12494 |
| RRID | AB_3744416 |
| 偶联类型 | Unconjugated |
| 形式 | Liquid |
| 纯化方式 | Protein A purification |
| UNIPROT ID | P56528 |
| 储存缓冲液 | PBS with 0.02% sodium azide and 50% glycerol, pH 7.3. |
| 储存条件 | Store at -20°C. Stable for one year after shipment. Aliquoting is unnecessary for -20oC storage. |
背景介绍
CD38, also known as ADP-ribosyl cyclase 1, is a type II transmembrane glycoprotein with a short N-terminal cytoplasmic tail, a single membrane-spanning domain, and a C-terminal extracellular region with four N-glycosylation sites (PMID: 2319135). The extracellular domain of CD38 has bifunctional enzyme activities that catalyze synthesis of cyclic ADP ribose from nicotinamide adenine dinucleotide (NAD) and hydrolysis of cyclic ADP ribose to adenosine diphosphoribose (PMID: 10636863). CD38 is expressed on a variety of hematopoietic and non-hematopoietic cells and is involved in diverse processes such as generation of calcium-mobilizing metabolites, cell activation, and chemotaxis (PMID: 25938500).
实验方案
| Product Specific Protocols | |
|---|---|
| WB protocol for CD38 antibody 85843-1-RR | Download protocol |
| Standard Protocols | |
|---|---|
| Click here to view our Standard Protocols |
