验证数据展示
经过测试的应用
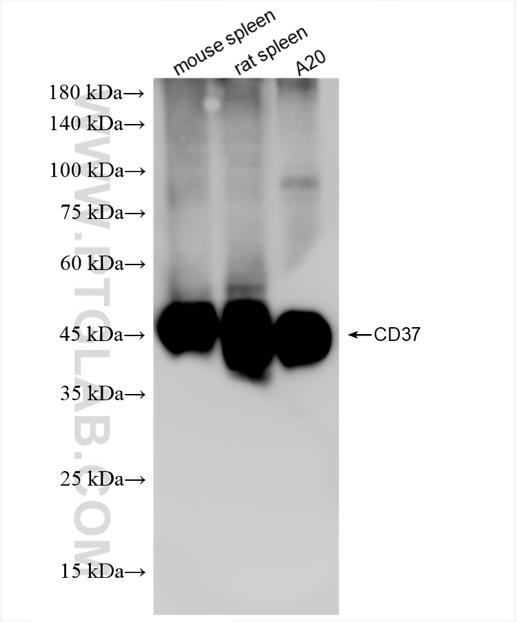
| Positive WB detected in | mouse spleen tissue, rat spleen tissue, A20 cells |
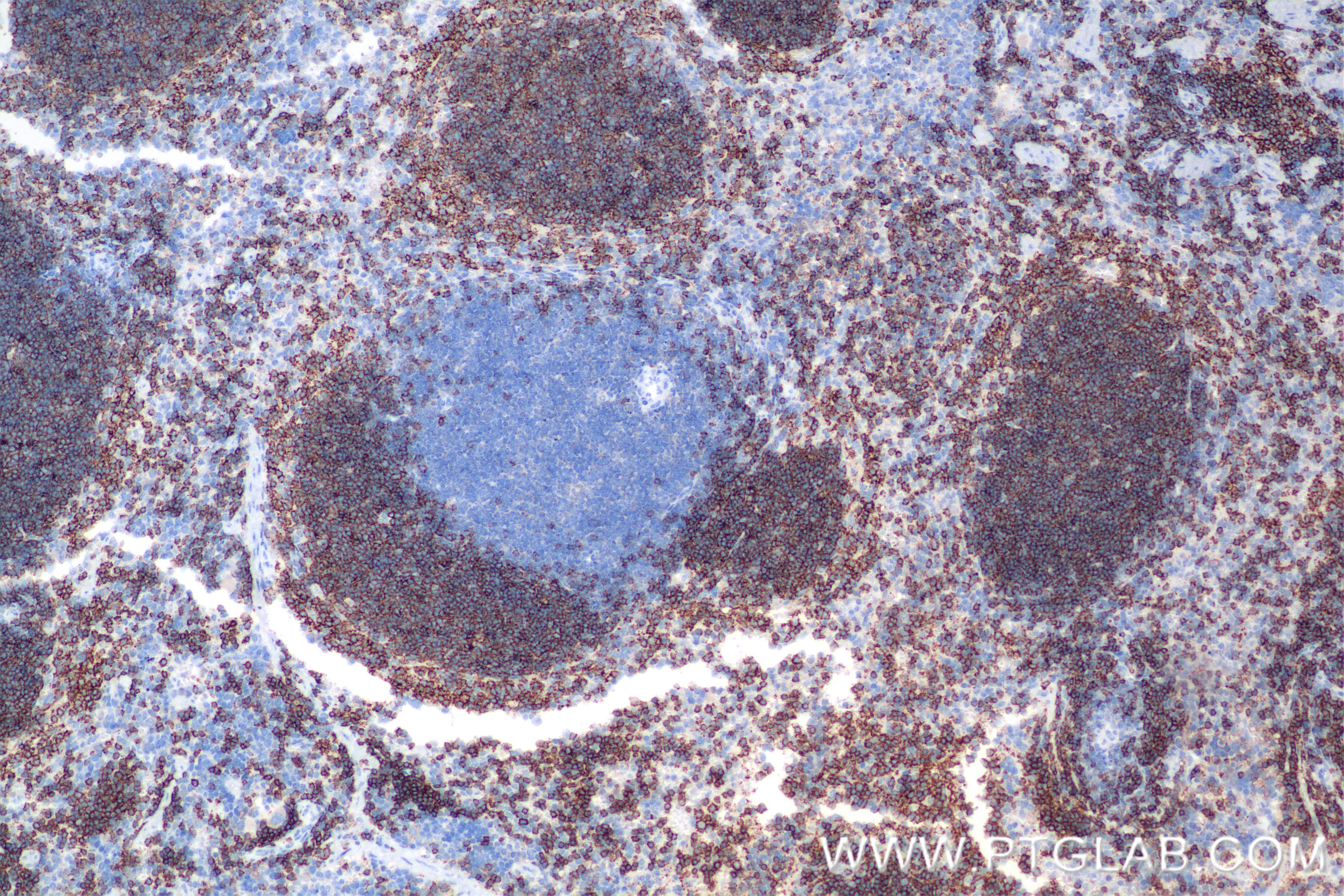
| Positive IHC detected in | mouse spleen tissue Note: suggested antigen retrieval with TE buffer pH 9.0; (*) Alternatively, antigen retrieval may be performed with citrate buffer pH 6.0 |
| Positive IF-P detected in | rat spleen tissue, mouse spleen tissue |
| Positive IF/ICC detected in | A20 cells |
推荐稀释比
| 应用 | 推荐稀释比 |
|---|---|
| Western Blot (WB) | WB : 1:1000-1:6000 |
| Immunohistochemistry (IHC) | IHC : 1:250-1:1000 |
| Immunofluorescence (IF)-P | IF-P : 1:50-1:500 |
| Immunofluorescence (IF)/ICC | IF/ICC : 1:250-1:1000 |
| It is recommended that this reagent should be titrated in each testing system to obtain optimal results. | |
| Sample-dependent, Check data in validation data gallery. | |
产品信息
85917-1-RR targets CD37 in WB, IHC, IF/ICC, IF-P, ELISA applications and shows reactivity with mouse, rat samples.
| 经测试应用 | WB, IHC, IF/ICC, IF-P, ELISA Application Description |
| 经测试反应性 | mouse, rat |
| 免疫原 |
CatNo: Eg2729 Product name: Recombinant Mouse CD37 protein (rFc Tag) Source: mammalian cells-derived, V37 Tag: C-rFc Domain: 112-241 aa of NM_007645.4 Sequence: RVRLERRVQELVLRTIQSYRTNPDETAAEESWDYAQFQLRCCGWQSPRDWNKAQMLKANESEEPFVPCSCYNSTATNDSTVFDKLFFSQLSRLGPRAKLRQTADICALPAKAHIYREGCAQSLQKWLHNN 种属同源性预测 |
| 宿主/亚型 | Rabbit / IgG |
| 抗体类别 | Recombinant |
| 产品类型 | Antibody |
| 全称 | CD37 antigen |
| 别名 | Leukocyte antigen CD37, Tetraspanin 26, TSPAN26 |
| 计算分子量 | 32 kDa |
| 观测分子量 | 45 kDa |
| GenBank蛋白编号 | NM_007645.4 |
| 基因名称 | Cd37 |
| Gene ID (NCBI) | 12493 |
| RRID | AB_3744472 |
| 偶联类型 | Unconjugated |
| 形式 | Liquid |
| 纯化方式 | Protein A purification |
| UNIPROT ID | Q61470 |
| 储存缓冲液 | PBS with 0.02% sodium azide and 50% glycerol, pH 7.3. |
| 储存条件 | Store at -20°C. Stable for one year after shipment. Aliquoting is unnecessary for -20oC storage. |
背景介绍
CD37 is a membrane protein of the tetraspanin superfamily which are characterized by the presence of four conserved transmembrane regions. Many of these members are expressed on leukocytes and have been implicated in signal transduction, cell-cell interactions, and cellular activation and development. CD37 plays a role in B-cell function, and may also play a role in T-cell-B-cell interactions (PMID: 10891477).
实验方案
| Product Specific Protocols | |
|---|---|
| IF protocol for CD37 antibody 85917-1-RR | Download protocol |
| IHC protocol for CD37 antibody 85917-1-RR | Download protocol |
| WB protocol for CD37 antibody 85917-1-RR | Download protocol |
| Standard Protocols | |
|---|---|
| Click here to view our Standard Protocols |





