验证数据展示
经过测试的应用
| Positive WB detected in | rat liver tissue, mouse liver tissue |
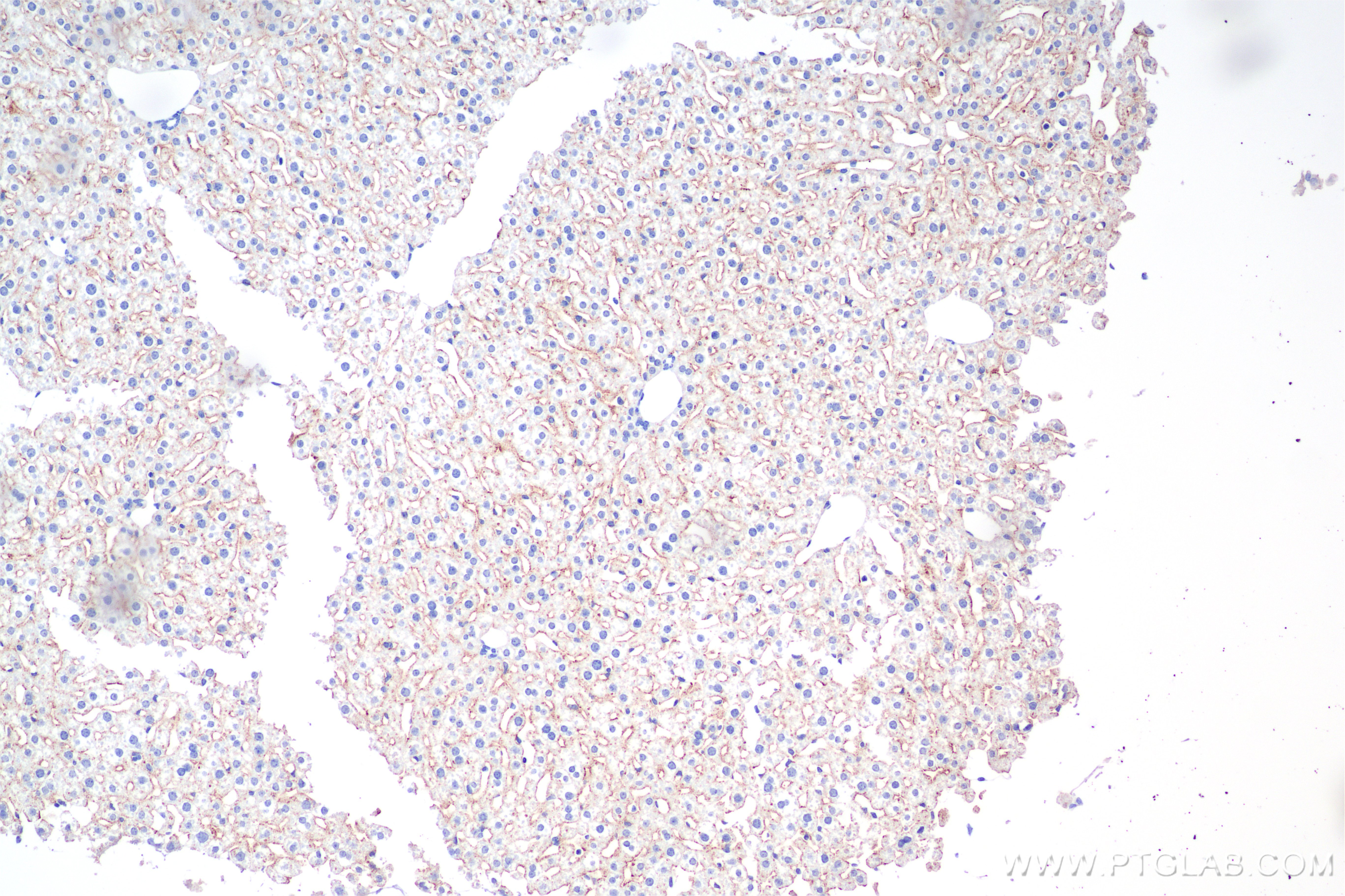
| Positive IHC detected in | mouse liver tissue, mouse spleen tissue Note: suggested antigen retrieval with TE buffer pH 9.0; (*) Alternatively, antigen retrieval may be performed with citrate buffer pH 6.0 |
推荐稀释比
| 应用 | 推荐稀释比 |
|---|---|
| Western Blot (WB) | WB : 1:500-1:2000 |
| Immunohistochemistry (IHC) | IHC : 1:50-1:500 |
| It is recommended that this reagent should be titrated in each testing system to obtain optimal results. | |
| Sample-dependent, Check data in validation data gallery. | |
产品信息
85813-5-RR targets CD302 in WB, IHC, ELISA applications and shows reactivity with mouse, rat samples.
| 经测试应用 | WB, IHC, ELISA Application Description |
| 经测试反应性 | mouse, rat |
| 免疫原 |
CatNo: Eg2660 Product name: Recombinant Mouse CD302 protein (rFc Tag) (HPLC verified) Source: mammalian cells-derived, V37 Tag: C-rFc Domain: 21-156 aa of NM_025422.4 Sequence: DCPSSTWVQFQGSCYAFLQVTINVENIEDVRKQCTDHGADMVSIHNEEENAFILDTLQKRWKGPDDLLLGMFYDTDDATFKWYDHSNMTFDKWADQDGEDLVDTCGFLYTKTGEWRKGDCEISSVEGTLCKAANNH 种属同源性预测 |
| 宿主/亚型 | Rabbit / IgG |
| 抗体类别 | Recombinant |
| 产品类型 | Antibody |
| 全称 | CD302 antigen |
| 别名 | CD302 antigen, Clec13a, C-type lectin domain family 13 member A, Type I transmembrane C-type lectin receptor DCL-1 |
| 计算分子量 | 24 kDa |
| 观测分子量 | 32 kDa |
| GenBank蛋白编号 | NM_025422.4 |
| 基因名称 | Cd302 |
| Gene ID (NCBI) | 66205 |
| RRID | AB_3744395 |
| 偶联类型 | Unconjugated |
| 形式 | Liquid |
| 纯化方式 | Protein A purification |
| UNIPROT ID | Q9DCG2-2 |
| 储存缓冲液 | PBS with 0.02% sodium azide and 50% glycerol, pH 7.3. |
| 储存条件 | Store at -20°C. Stable for one year after shipment. Aliquoting is unnecessary for -20oC storage. |
背景介绍
CD302 is a C-type lectin receptor involved in cell adhesion and migration, as well as endocytosis and phagocytosis. In mice and humans, CD302 is primarily expressed in the liver, lungs, lymph nodes (LNs), spleen, and bone marrow. In CD302 gene knockout (CD302KO) mice, the migration frequency and number of myeloid dendritic cells (mDC) in CD302KO lymph nodes were reduced compared to the wild type, confirming the functional role of CD302 in mDC migration.
实验方案
| Product Specific Protocols | |
|---|---|
| IHC protocol for CD302 antibody 85813-5-RR | Download protocol |
| WB protocol for CD302 antibody 85813-5-RR | Download protocol |
| Standard Protocols | |
|---|---|
| Click here to view our Standard Protocols |





