验证数据展示
经过测试的应用
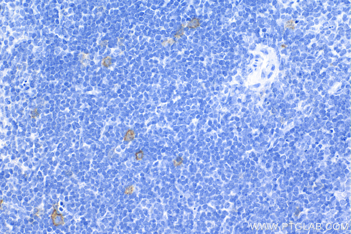
| Positive IHC detected in | mouse spleen tissue Note: suggested antigen retrieval with TE buffer pH 9.0; (*) Alternatively, antigen retrieval may be performed with citrate buffer pH 6.0 |
推荐稀释比
| 应用 | 推荐稀释比 |
|---|---|
| Immunohistochemistry (IHC) | IHC : 1:500-1:2000 |
| It is recommended that this reagent should be titrated in each testing system to obtain optimal results. | |
| Sample-dependent, Check data in validation data gallery. | |
产品信息
84420-6-RR targets CD30/TNFRSF8 in IHC, ELISA applications and shows reactivity with mouse samples.
| 经测试应用 | IHC, ELISA Application Description |
| 经测试反应性 | mouse |
| 免疫原 |
CatNo: Eg1307 Product name: Recombinant Mouse CD30/TNFRSF8 protein (His Tag) Source: mammalian cells-derived, pHZ-KIsec-C-6*HIS Tag: C-6*HIS Domain: 19-281 aa of NM_009401.2 Sequence: FPTDRPLKTTCAGDLSHYPGEAARNCCYQCPSGLSPTQPCPRGPAHCRKQCAPDYYVNEDGKCTACVTCLPGLVEKAPCSGNSPRICECQPGMHCCTPAVNSCARCKLHCSGEEVVKSPGTAKKDTICELPSSGSGPNCSNPGDRKTLTSHATPQAMPTLESPANDSARSLLPMRVTNLVQEDATELVKVPESSSSKAREPSPDPGNAEKNMTLELPSPGTLPDISTSENSKEPASTASTLSLVVDAWTSSRMQPTSPLSTGT 种属同源性预测 |
| 宿主/亚型 | Rabbit / IgG |
| 抗体类别 | Recombinant |
| 产品类型 | Antibody |
| 全称 | tumor necrosis factor receptor superfamily, member 8 |
| 别名 | CD30, CD30L receptor, Lymphocyte activation antigen CD30, Tnfrsf8, Tumor necrosis factor receptor superfamily member 8 |
| 计算分子量 | 53kDa |
| GenBank蛋白编号 | NM_009401.2 |
| 基因名称 | Tnfrsf8 |
| Gene ID (NCBI) | 21941 |
| RRID | AB_3743555 |
| 偶联类型 | Unconjugated |
| 形式 | Liquid |
| 纯化方式 | Protein A purification |
| UNIPROT ID | Q60846 |
| 储存缓冲液 | PBS with 0.02% sodium azide and 50% glycerol, pH 7.3. |
| 储存条件 | Store at -20°C. Stable for one year after shipment. Aliquoting is unnecessary for -20oC storage. |
背景介绍
CD30, also known as TNFRSF8 or Ki-1, is a transmembrane glycoprotein belonging to the tumor necrosis factor receptor superfamily. It is composed of an extracellular domain with six cysteine-rich repeats, a transmembrane segment, and an intracellular domain (PMID: 1310894). CD30 is expressed on a small subset of activated T and B lymphocytes, and a variety of lymphoid neoplasms, with the highest expression in classical Hodgkin's lymphoma and anaplastic large cell lymphoma (PMID: 9826579; 28885612). The CD30 ligand (CD30L or CD153) is a type II transmembrane glycoprotein of the tumor necrosis factor ligand superfamily (PMID: 8701986). Signal transduction of CD30/CD30L utilizes signal transducers, TNFR-associated factors (TRAF1, 2, 3 and 5) (PMID: 9826579).
实验方案
| Product Specific Protocols | |
|---|---|
| IHC protocol for CD30/TNFRSF8 antibody 84420-6-RR | Download protocol |
| Standard Protocols | |
|---|---|
| Click here to view our Standard Protocols |


