验证数据展示
经过测试的应用
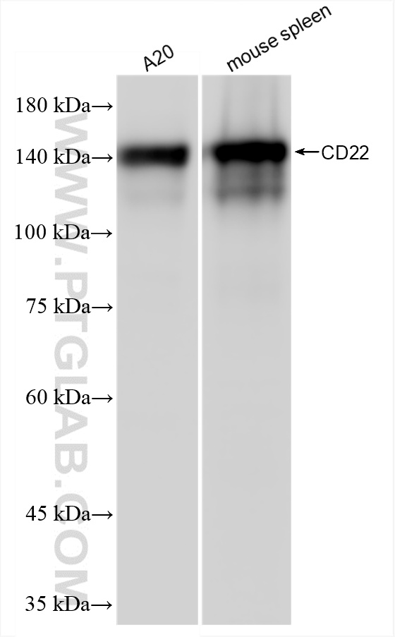
| Positive WB detected in | A20 cells, mouse spleen tissue |
| Positive IHC detected in | mouse spleen tissue Note: suggested antigen retrieval with TE buffer pH 9.0; (*) Alternatively, antigen retrieval may be performed with citrate buffer pH 6.0 |
推荐稀释比
| 应用 | 推荐稀释比 |
|---|---|
| Western Blot (WB) | WB : 1:2000-1:10000 |
| Immunohistochemistry (IHC) | IHC : 1:5000-1:20000 |
| It is recommended that this reagent should be titrated in each testing system to obtain optimal results. | |
| Sample-dependent, Check data in validation data gallery. | |
产品信息
86128-1-RR targets CD22 in WB, IHC, ELISA applications and shows reactivity with mouse samples.
| 经测试应用 | WB, IHC, ELISA Application Description |
| 经测试反应性 | mouse |
| 免疫原 |
CatNo: Eg1324 Product name: Recombinant Mouse CD22 protein (His Tag) Source: mammalian cells-derived, pHZ-KIsec-C-6*HIS Tag: C-6*HIS Domain: 22-708 aa of NM_001043317.2 Sequence: SANDWTVDHPQTLFAWEGACIRIPCKYKTPLPKARLDNILLFQNYEFDKATKKFTGTVLYNATKTEKDPESELYLSKQGRVTFLGNRIDNCTLKIHPIRANDSGNLGLRMTAGTERWMEPIHLNVSEKPFQPYIQMPSEIRESQSVTLTCGLNFSCFGYDILLKWFLEDSEITSITSSVTSITSSVTSSIKNVYTESKLTFQPKWTDHGKSVKCQVQHSSKVLSERTVRLDVKYTPKLEIKVNPTEVEKNNSVTMTCRVNSSNPKLRTVAVSWFKDGRPLEDQELEQEQQMSKLILHSVTKDMRGKYRCQASNDIGPGESEEVELTVHYAPEPSRVHIYPSPAEEGQSVELICESLASPSATNYTWYHNRKPIPGDTQEKLRIPKVSPWHAGNYSCLAENRLGHGKIDQEAKLDVHYAPKAVTTVIQSFTPILEGDSVTLVCRYNSSNPDVTSYRWNPQGSGSVLKPGVLRIQKVTWDSMPVSCAACNHKCSWALPVILNVHYAPRDVKVLKVSPASEIRAGQRVLLQCDFAESNPAEVRFFWKKNGSLVQEGRYLSFGSVSPEDSGNYNCMVNNSIGETLSQAWNLQVLYAPRRLRVSISPGDHVMEGKKATLSCESDANPPISQYTWFDSSGQDLHSSGQKLRLEPLEVQHTGSYRCKGTNGIGTGESPPSTLTVYYSPETIGKR 种属同源性预测 |
| 宿主/亚型 | Rabbit / IgG |
| 抗体类别 | Recombinant |
| 产品类型 | Antibody |
| 全称 | CD22 antigen |
| 别名 | B-cell receptor CD22, BL-CAM, B-lymphocyte cell adhesion molecule, Lyb-8, Sialic acid-binding Ig-like lectin 2 |
| 计算分子量 | 97kDa |
| 观测分子量 | 120-150 kDa |
| GenBank蛋白编号 | NM_001043317.2 |
| 基因名称 | Cd22 |
| Gene ID (NCBI) | 12483 |
| RRID | AB_3744644 |
| 偶联类型 | Unconjugated |
| 形式 | Liquid |
| 纯化方式 | Protein A purification |
| UNIPROT ID | P35329-1 |
| 储存缓冲液 | PBS with 0.02% sodium azide and 50% glycerol, pH 7.3. |
| 储存条件 | Store at -20°C. Stable for one year after shipment. Aliquoting is unnecessary for -20oC storage. |
背景介绍
CD22, also known as Siglec-2 (sialic acid binding Ig-like lectin 2) or BL-CAM (B-lymphocyte cell adhesion molecule), is a 130-140 kDa, B-cell restricted, type I transmembrane glycoprotein belonging to the immunoglobulin gene superfamily. The expression of CD22 is developmentally regulated. It is expressed at low levels in the cytoplasm of pro-B and pre-B cells and present on the cell surface only at mature stages of B-cell differentiation. Cell surface expression is lost during terminal differentiation into plasma cell and after B-cell activation. CD22 is an inhibitory receptor for B-cell receptor (BCR) signalling, preferentially binds to alpha-2,6-linked sialic acid and mediates B-cell B-cell interactions. It plays a crucial role in activation and differentiation of the B-cell.
实验方案
| Product Specific Protocols | |
|---|---|
| IHC protocol for CD22 antibody 86128-1-RR | Download protocol |
| WB protocol for CD22 antibody 86128-1-RR | Download protocol |
| Standard Protocols | |
|---|---|
| Click here to view our Standard Protocols |



