验证数据展示
产品信息
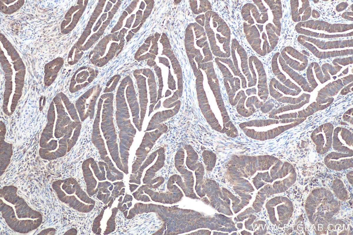
11745-1-PBS targets CACYBP in WB, IHC, IF/ICC, FC (Intra), IP, Indirect ELISA applications and shows reactivity with human, mouse, rat samples.
| 经测试应用 | WB, IHC, IF/ICC, FC (Intra), IP, Indirect ELISA Application Description |
| 经测试反应性 | human, mouse, rat |
| 免疫原 |
CatNo: Ag2340 Product name: Recombinant human CACYBP protein Source: e coli.-derived, PGEX-4T Tag: GST Domain: 1-228 aa of BC022352 Sequence: MASEELQKDLEEVKVLLEKATRKRVRDALTAEKSKIETEIKNKMQQKSQKKAELLDNEKPAAVVAPITTGYTVKISNYGWDQSDKFVKIYITLTGVHQVPTENVQVHFTERSFDLLVKNLNGKSYSMIVNNLLKPISVEGSSKKVKTDTVLILCRKKVENTRWDYLTQVEKECKEKEKPSYDTETDPSEGLMNVLKKIYEDGDDDMKRTINKAWVESREKQAKGDTEF 种属同源性预测 |
| 宿主/亚型 | Rabbit / IgG |
| 抗体类别 | Polyclonal |
| 产品类型 | Antibody |
| 全称 | calcyclin binding protein |
| 别名 | Calcyclin, S100 alpha 6, PNAS 107, hCacyBP, GIG5 |
| 计算分子量 | 228 aa, 26 kDa |
| 观测分子量 | 26-30 kDa |
| GenBank蛋白编号 | BC022352 |
| 基因名称 | CACYBP |
| Gene ID (NCBI) | 27101 |
| RRID | AB_2070266 |
| 偶联类型 | Unconjugated |
| 形式 | Liquid |
| 纯化方式 | Antigen affinity purification |
| UNIPROT ID | Q9HB71 |
| 储存缓冲液 | PBS only, pH 7.3. |
| 储存条件 | Store at -80°C. The product is shipped with ice packs. Upon receipt, store it immediately at -80°C |
背景介绍
CACYBP(Calcyclin-binding protein) is also named as S100A6BP, SIP. It is a new target 30 kDa protein that can interact with S100 proteins, including S100A6, S100A1, S100B, and S100P, but not to S100A4, calbindin D, parvalbumin or calmodulin(PMID:22295074). It may be involved in calcium-dependent ubiquitination and subsequent proteasomal degradation of target proteins and probably serves as a molecular bridge in ubiquitin E3 complexe. It has 2 isoforms produced by alternative splicing and can exist as a dimer(PMID:17916393).





