验证数据展示
经过测试的应用
| Positive WB detected in | MCF-7 cells, A431 cells | 
| Positive IP detected in | MCF-7 cells | 
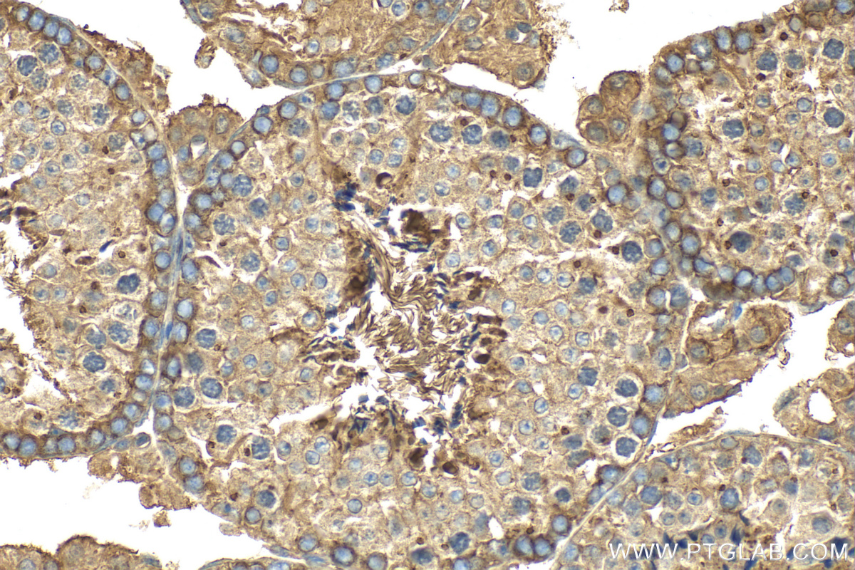
| Positive IHC detected in | human lung cancer tissue, human breast cancer tissue,  mouse testis tissue Note: suggested antigen retrieval with TE buffer pH 9.0; (*) Alternatively, antigen retrieval may be performed with citrate buffer pH 6.0 | 
推荐稀释比
| 应用 | 推荐稀释比 | 
|---|---|
| Western Blot (WB) | WB : 1:500-1:1000 | 
| Immunoprecipitation (IP) | IP : 0.5-4.0 ug for 1.0-3.0 mg of total protein lysate | 
| Immunohistochemistry (IHC) | IHC : 1:100-1:400 | 
| It is recommended that this reagent should be titrated in each testing system to obtain optimal results. | |
| Sample-dependent, Check data in validation data gallery. | |
产品信息
27431-1-AP targets BRAP in WB, IP, IHC, ELISA applications and shows reactivity with human samples.
| 经测试应用 | WB, IP, IHC, ELISA Application Description | 
| 经测试反应性 | human | 
| 免疫原 | CatNo: Ag26728 Product name: Recombinant human BRAP protein Source: e coli.-derived, PGEX-4T Tag: GST Domain: 376-535 aa of BC136698 Sequence: RLVASKTDGKIVQYECEGDTCQEEKIDALQLEYSYLLTSQLESQRIYWENKIVRIEKDTAEEINNMKTKFKETIEKCDNLEHKLNDLLKEKQSVERKCTQLNTKVAKLTNELKEEQEMNKCLRANQVLLQNKLKEEERVLKETCDQKDLQITEIQEQLRD种属同源性预测 | 
| 宿主/亚型 | Rabbit / IgG | 
| 抗体类别 | Polyclonal | 
| 产品类型 | Antibody | 
| 全称 | BRCA1 associated protein | 
| 别名 | BRAP, BRAP2, BRCA1 associated protein, IMP, RING finger protein 52, RNF52 | 
| 计算分子量 | 592 aa, 67 kDa | 
| 观测分子量 | 62-70 kDa, 48 kDa | 
| GenBank蛋白编号 | BC136698 | 
| 基因名称 | BRAP | 
| Gene ID (NCBI) | 8315 | 
| RRID | AB_2880869 | 
| 偶联类型 | Unconjugated | 
| 形式 | Liquid | 
| 纯化方式 | Antigen affinity purification | 
| UNIPROT ID | Q7Z569 | 
| 储存缓冲液 | PBS with 0.02% sodium azide and 50% glycerol, pH 7.3. | 
| 储存条件 | Store at -20°C. Stable for one year after shipment. Aliquoting is unnecessary for -20oC storage. | 
实验方案
| Product Specific Protocols | |
|---|---|
| IHC protocol for BRAP antibody 27431-1-AP | Download protocol | 
| IP protocol for BRAP antibody 27431-1-AP | Download protocol | 
| WB protocol for BRAP antibody 27431-1-AP | Download protocol | 
| Standard Protocols | |
|---|---|
| Click here to view our Standard Protocols | 









