验证数据展示
经过测试的应用
| Positive WB detected in | human spleen tissue, Raji cells, Daudi cells, Ramos cells, pig spleen tissue |
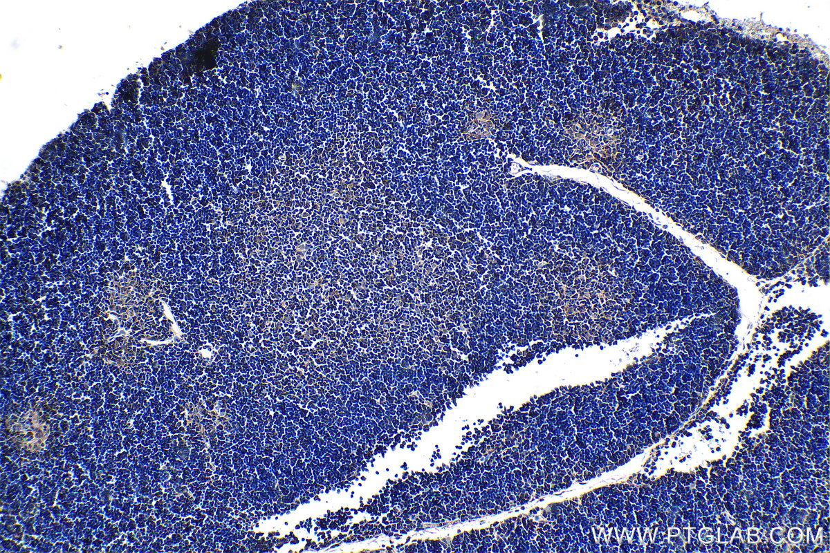
| Positive IHC detected in | human appendicitis tissue, mouse thymus tissue, rat spleen tissue Note: suggested antigen retrieval with TE buffer pH 9.0; (*) Alternatively, antigen retrieval may be performed with citrate buffer pH 6.0 |
| Positive IF/ICC detected in | Raji cells, NIH/3T3 cells |
推荐稀释比
| 应用 | 推荐稀释比 |
|---|---|
| Western Blot (WB) | WB : 1:3000-1:8000 |
| Immunohistochemistry (IHC) | IHC : 1:250-1:1000 |
| Immunofluorescence (IF)/ICC | IF/ICC : 1:200-1:800 |
| It is recommended that this reagent should be titrated in each testing system to obtain optimal results. | |
| Sample-dependent, Check data in validation data gallery. | |
产品信息
66953-1-Ig targets BLNK in WB, IHC, IF/ICC, ELISA applications and shows reactivity with Human, pig, mouse, rat samples.
| 经测试应用 | WB, IHC, IF/ICC, ELISA Application Description |
| 经测试反应性 | Human, pig, mouse, rat |
| 免疫原 |
CatNo: Ag28673 Product name: Recombinant human BLNK protein Source: e coli.-derived, PET28a Tag: 6*His Domain: 1-456 aa of BC018906 Sequence: MDKLNKITVPASQKLRQLQKMVHDIKNNEGGIMNKIKKLKVKAPPSVPRRDYASESPADEEQQWSDDFDSDYENPDEHSDSEMYVMPAEENADDSYEPPPVEQETRPVHPALPFARGEYIDNRSSQRHSPPFSKTLPSKPSWPSEKARLTSTLPALTALQKPQVPPKPKGLLEDEADYVVPVEDNDENYIHPTESSSPPPEKAPMVNRSTKPNSSTPASPPGTASGRNSGAWETKSPPPAAPSPLPRAGKKPTTPLKTTPVASQQNASSVCEEKPIPAERHRGSSHRQEAVQSPVFPPAQKQIHQKPIPLPRFTEGGNPTVDGPLPSFSSNSTISEQEAGVLCKPWYAGACDRKSAEEALHRSNKDGSFLIRKSSGHDSKQPYTLVVFFNKRVYNIPVRFIEATKQYALGRKKNGEEYFGSVAEIIRNHQHSPLVLIDSQNNTKDSTRLKYAVKVS 种属同源性预测 |
| 宿主/亚型 | Mouse / IgG1 |
| 抗体类别 | Monoclonal |
| 产品类型 | Antibody |
| 全称 | B-cell linker |
| 别名 | B cell linker, B cell linker protein, BASH, BLNK, BLNK S, Cytoplasmic adapter protein, LY57, SLP 65, SLP65 |
| 计算分子量 | 50 kDa |
| 观测分子量 | 65-70 kDa |
| GenBank蛋白编号 | BC018906 |
| 基因名称 | BLNK |
| Gene ID (NCBI) | 29760 |
| RRID | AB_2882276 |
| 偶联类型 | Unconjugated |
| 形式 | Liquid |
| 纯化方式 | Protein G purification |
| UNIPROT ID | Q8WV28 |
| 储存缓冲液 | PBS with 0.02% sodium azide and 50% glycerol, pH 7.3. |
| 储存条件 | Store at -20°C. Stable for one year after shipment. Aliquoting is unnecessary for -20oC storage. |
背景介绍
BLNK (also known as SLP-65 or BASH) is an important adaptor protein selectively expressed in B-lineage cells. BLNK bridges B cell receptor-associated kinase activation with downstream signaling pathways, thereby affecting various biological functions. BLNK has been shown to be necessary for BCR-mediated Ca2+ mobilization, for the activation of mitogen-activated protein kinases such as ERK, JNK, and p38 in a chicken B cell line DT40, and for activation of transcription factors such as NF-AT and NF-κB in human or mouse B cells. BLNK plays a crucial role in pre-BCR-dependent progression of B cell development, BCR-mediated B cell survival, activation, proliferation, and T-independent immune responses.
实验方案
| Product Specific Protocols | |
|---|---|
| IF protocol for BLNK antibody 66953-1-Ig | Download protocol |
| IHC protocol for BLNK antibody 66953-1-Ig | Download protocol |
| WB protocol for BLNK antibody 66953-1-Ig | Download protocol |
| Standard Protocols | |
|---|---|
| Click here to view our Standard Protocols |












