验证数据展示
经过测试的应用
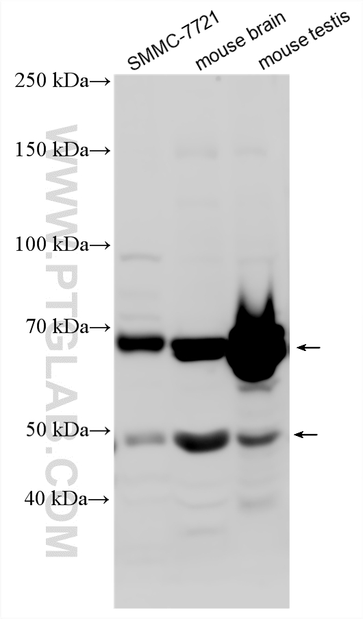
| Positive WB detected in | Jurkat cells, SMMC-7721 cells, MCF-7 cells, mouse brain tissue, mouse testis tissue |
| Positive IHC detected in | mouse testis tissue Note: suggested antigen retrieval with TE buffer pH 9.0; (*) Alternatively, antigen retrieval may be performed with citrate buffer pH 6.0 |
推荐稀释比
| 应用 | 推荐稀释比 |
|---|---|
| Western Blot (WB) | WB : 1:2000-1:10000 |
| Immunohistochemistry (IHC) | IHC : 1:300-1:1200 |
| It is recommended that this reagent should be titrated in each testing system to obtain optimal results. | |
| Sample-dependent, Check data in validation data gallery. | |
产品信息
14200-1-AP targets B3GNT2 in WB, IHC, ELISA applications and shows reactivity with human, mouse samples.
| 经测试应用 | WB, IHC, ELISA Application Description |
| 经测试反应性 | human, mouse |
| 免疫原 |
CatNo: Ag5404 Product name: Recombinant human B3GNT2 protein Source: e coli.-derived, PET28a Tag: 6*His Domain: 47-397 aa of BC030579 Sequence: KFWKISTPPEAYWNREQEKLNRQYNPILSMLTNQTGEAGRLSNISHLNYCEPDLRVTSVVTGFNNLPDRFKDFLLYLRCRNYSLLIDQPDKCAKKPFLLLAIKSLTPHFARRQAIRESWGQESNAGNQTVVRVFLLGQTPPEDNHPDLSDMLKFESEKHQDILMWNYRDTFFNLSLKEVLFLRWVSTSCPDTEFVFKGDDDVFVNTHHILNYLNSLSKTKAKDLFIGDVIHNAGPHRDKKLKYYIPEVVYSGLYPPYAGGGGFLYSGHLALRLYHITDQVHLYPIDDVYTGMCLQKLGLVPEKHKGFRTFDIEEKNKNNICSYVDLMLVHSRKPQEMIDIWSQLQSAHLKC 种属同源性预测 |
| 宿主/亚型 | Rabbit / IgG |
| 抗体类别 | Polyclonal |
| 产品类型 | Antibody |
| 全称 | UDP-GlcNAc:betaGal beta-1,3-N-acetylglucosaminyltransferase 2 |
| 别名 | B3GALT7, b3Gal-T7, B3GNT1, Beta-1,3-galactosyltransferase 7, Beta-1,3-GalTase 7 |
| 计算分子量 | 45 kDa |
| 观测分子量 | 45 kDa, 69 kDa |
| GenBank蛋白编号 | BC030579 |
| 基因名称 | B3GNT2 |
| Gene ID (NCBI) | 10678 |
| RRID | AB_3085431 |
| 偶联类型 | Unconjugated |
| 形式 | Liquid |
| 纯化方式 | Antigen affinity purification |
| UNIPROT ID | Q9NY97 |
| 储存缓冲液 | PBS with 0.02% sodium azide and 50% glycerol, pH 7.3. |
| 储存条件 | Store at -20°C. Stable for one year after shipment. Aliquoting is unnecessary for -20oC storage. |
背景介绍
β-1,3-N-acetylglucosaminyltransferase (B3GNT2) is the most abundant and ubiquitously expressed B3GNT isoform and displays the greatest in vitro activity for N-glycan and O-glycan poly-LacNAc extensionis. B3GNT2 encodes a poly-N-acetyllactosamine synthase that targets >10 ligands and receptors to disrupt interactions between tumor and T cells and reduce T cell activation (PMID: 35338135, 32663509). B3GNT2 also has five predicted N-glycosylation sites at asparagine residues 79, 89, 127, 173, and 219 (PMID: 33229435). Western blots indicated the glycosylated form of B3GNT2 is detected at ~ 67 kDa.
实验方案
| Product Specific Protocols | |
|---|---|
| IHC protocol for B3GNT2 antibody 14200-1-AP | Download protocol |
| WB protocol for B3GNT2 antibody 14200-1-AP | Download protocol |
| Standard Protocols | |
|---|---|
| Click here to view our Standard Protocols |


