验证数据展示
经过测试的应用
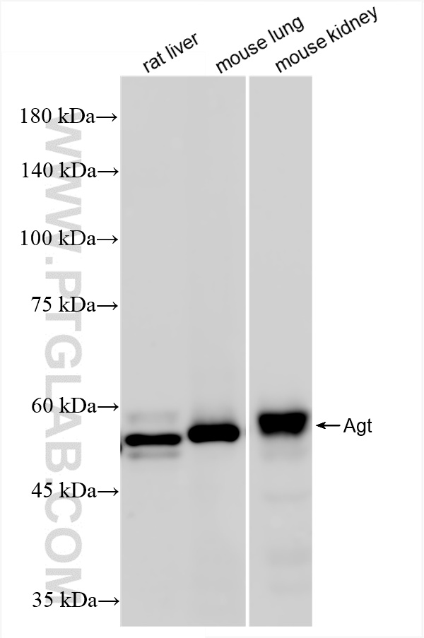
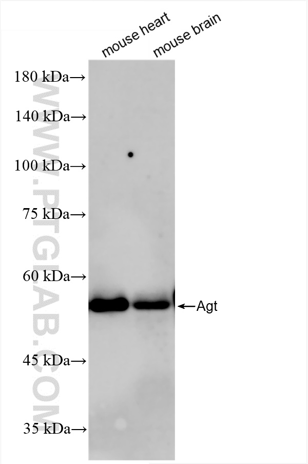
| Positive WB detected in | mouse heart tissue, rat liver tissue, mouse brain tissue, mouse lung tissue, mouse kidney tissue |
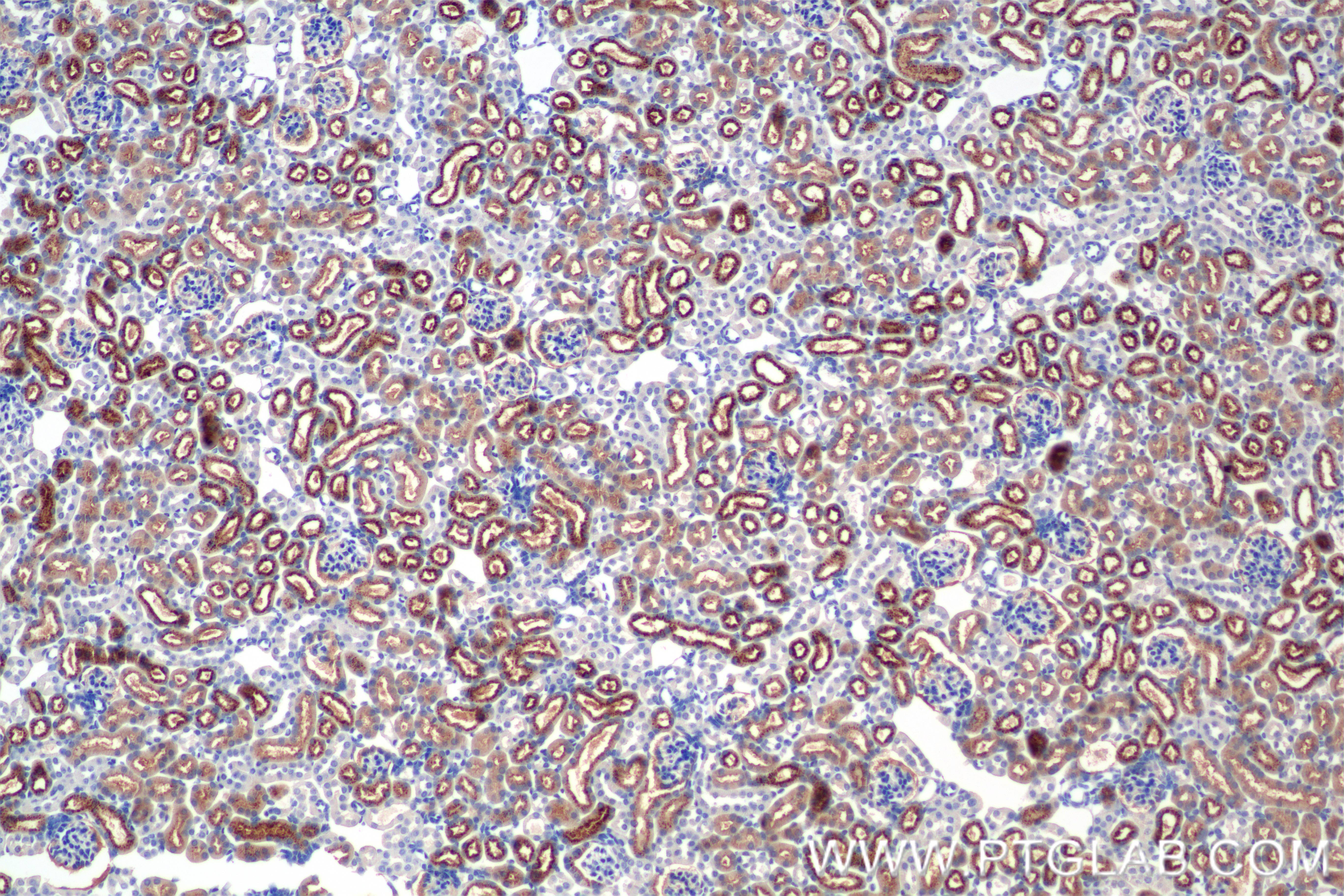
| Positive IHC detected in | mouse kidney tissue Note: suggested antigen retrieval with TE buffer pH 9.0; (*) Alternatively, antigen retrieval may be performed with citrate buffer pH 6.0 |
推荐稀释比
| 应用 | 推荐稀释比 |
|---|---|
| Western Blot (WB) | WB : 1:2000-1:10000 |
| Immunohistochemistry (IHC) | IHC : 1:250-1:1000 |
| It is recommended that this reagent should be titrated in each testing system to obtain optimal results. | |
| Sample-dependent, Check data in validation data gallery. | |
产品信息
86134-1-RR targets Angiotensinogen/AGT in WB, IHC, ELISA applications and shows reactivity with mouse, rat samples.
| 经测试应用 | WB, IHC, ELISA Application Description |
| 经测试反应性 | mouse, rat |
| 免疫原 |
CatNo: Eg2763 Product name: Recombinant Mouse Angiotensinogen protein (rFc Tag) (HPLC verified) Source: mammalian cells-derived, V37 Tag: C-rFc Domain: 25-477 aa of N/A Sequence: DRVYIHPFHLLYHNKSTCAQLENPSVETLPESTFEPVPIQAKTSPVNEKTLHDQLVLAAEKLEDEDRKRAAQVAMIANFVGFRMYKMLNEAGSGASGAILSPPALFGTLVSFYLGSLDPTASQLQTLLDVPVKEGDCTSRLDGHKVLAALRAVQGLLVTQGGSSSQTPLLQSIMVGLFTAPGFRLKHSFVQSLALFTPALFPRSLDLSTDPVLATEKINRFIKAVTGWKMNLPLEGVSTDSTLLFNTYVHFQGTMRGFSQLPGVHEFWVDNSISVSVPMISGTGNFQHWSDAQNNFSVTCVPLGERATLLLIQPHCTSDLDRVEALIFRNDLLTWIENPPPRAIRLTLPQLEIRGSYNLQDLLAEDKLPTLLGAEANLSNIGDTNPRVGEVLNSILLELKAGEEEQPTTSVQQPGSPEALDVTLSSPFLFAIYEQDSGTLHFLGRVNNPQSVV 种属同源性预测 |
| 宿主/亚型 | Rabbit / IgG |
| 抗体类别 | Recombinant |
| 产品类型 | Antibody |
| 全称 | angiotensinogen (serpin peptidase inhibitor, clade A, member 8) |
| 别名 | Agt, Serpina8 |
| 计算分子量 | 52 kDa |
| 观测分子量 | 52-55 kDa |
| GenBank蛋白编号 | N/A |
| 基因名称 | Agt |
| Gene ID (NCBI) | 11606 |
| RRID | AB_3744651 |
| 偶联类型 | Unconjugated |
| 形式 | Liquid |
| 纯化方式 | Protein A purification |
| UNIPROT ID | P11859 |
| 储存缓冲液 | PBS with 0.02% sodium azide and 50% glycerol, pH 7.3. |
| 储存条件 | Store at -20°C. Stable for one year after shipment. Aliquoting is unnecessary for -20oC storage. |
背景介绍
Angiotensinogen is a precursor of angiotensin II (Ang II), is expressed and synthesized largely in the liver and is cleaved by the enzyme renin in response to lowered blood pressure. It has a key role in mediating vascular constriction and regulating salt and fluid homeostasis. The resulting product, angiotensin I, is then cleaved by angiotensin converting enzyme (ACE) to generate the physiologically active enzyme angiotensin II. Mutations in this gene are associated with susceptibility to essential hypertension, and can cause renal tubular dysgenesis, a severe disorder of renal tubular development. Defects in this gene have also been associated with non-familial structural atrial fibrillation, and inflammatory bowel disease.
实验方案
| Product Specific Protocols | |
|---|---|
| IHC protocol for Angiotensinogen/AGT antibody 86134-1-RR | Download protocol |
| WB protocol for Angiotensinogen/AGT antibody 86134-1-RR | Download protocol |
| Standard Protocols | |
|---|---|
| Click here to view our Standard Protocols |


