验证数据展示
经过测试的应用
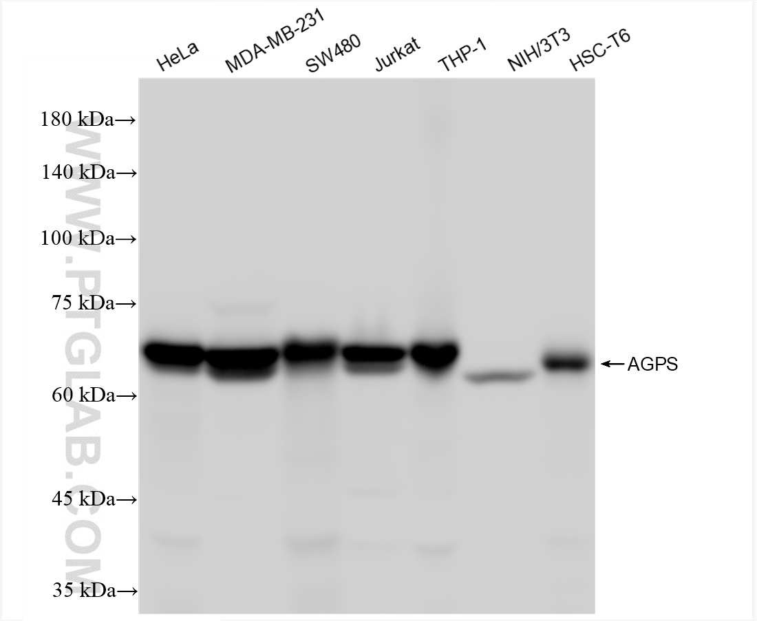
| Positive WB detected in | HeLa cells, MDA-MB-231 cells, SW480 cells, Jurkat cells, THP-1 cells, NIH/3T3 cells, HSC-T6 cells |
| Positive IHC detected in | human liver cancer tissue Note: suggested antigen retrieval with TE buffer pH 9.0; (*) Alternatively, antigen retrieval may be performed with citrate buffer pH 6.0 |
| Positive IF/ICC detected in | HeLa cells |
推荐稀释比
| 应用 | 推荐稀释比 |
|---|---|
| Western Blot (WB) | WB : 1:5000-1:50000 |
| Immunohistochemistry (IHC) | IHC : 1:500-1:2000 |
| Immunofluorescence (IF)/ICC | IF/ICC : 1:200-1:800 |
| It is recommended that this reagent should be titrated in each testing system to obtain optimal results. | |
| Sample-dependent, Check data in validation data gallery. | |
产品信息
86472-3-RR targets Alkyl-DHAP synthase/AGPS in WB, IHC, IF/ICC, ELISA applications and shows reactivity with human, mouse, rat samples.
| 经测试应用 | WB, IHC, IF/ICC, ELISA Application Description |
| 经测试反应性 | human, mouse, rat |
| 免疫原 |
CatNo: Ag15233 Product name: Recombinant human AGPS protein Source: e coli.-derived, PGEX-4T Tag: GST Domain: 309-658 aa of BC141820 Sequence: TVGGWVSTRASGMKKNIYGNIEDLVVHIKMVTPRGIIEKSCQGPRMSTGPDIHHFIMGSEGTLGVITEATIKIRPVPEYQKYGSVAFPNFEQGVACLREIAKQRCAPASIRLMDNKQFQFGHALKPQVSSIFTSFLDGLKKFYITKFKGFDPNQLSVATLLFEGDREKVLQHEKQVYDIAAKFGGLAAGEDNGQRGYLLTYVIAYIRDLALEYYVLGESFETSAPWDRVVDLCRNVKERITRECKEKGVQFAPFSTCRVTQTYDAGACIYFYFAFNYRGISDPLTVFEQTEAAAREEILANGGSLSHHHGVGKLRKQWLKESISDVGFGMLKSVKEYVDPNNIFGNRNLL 种属同源性预测 |
| 宿主/亚型 | Rabbit / IgG |
| 抗体类别 | Recombinant |
| 产品类型 | Antibody |
| 全称 | alkylglycerone phosphate synthase |
| 别名 | AGPS, AAG5, ADAP S, ADAS, ADHAPS |
| 计算分子量 | 658 aa, 73 kDa |
| 观测分子量 | 68-70 kDa |
| GenBank蛋白编号 | BC141820 |
| 基因名称 | AGPS |
| Gene ID (NCBI) | 8540 |
| RRID | AB_3744908 |
| 偶联类型 | Unconjugated |
| 形式 | Liquid |
| 纯化方式 | Protein A purification |
| UNIPROT ID | O00116 |
| 储存缓冲液 | PBS with 0.02% sodium azide and 50% glycerol, pH 7.3. |
| 储存条件 | Store at -20°C. Stable for one year after shipment. Aliquoting is unnecessary for -20oC storage. |
实验方案
| Product Specific Protocols | |
|---|---|
| IF protocol for Alkyl-DHAP synthase/AGPS antibody 86472-3-RR | Download protocol |
| IHC protocol for Alkyl-DHAP synthase/AGPS antibody 86472-3-RR | Download protocol |
| WB protocol for Alkyl-DHAP synthase/AGPS antibody 86472-3-RR | Download protocol |
| Standard Protocols | |
|---|---|
| Click here to view our Standard Protocols |



