验证数据展示
经过测试的应用
| Positive WB detected in | mouse liver tissue, rat brain tissue, rat liver tissue |
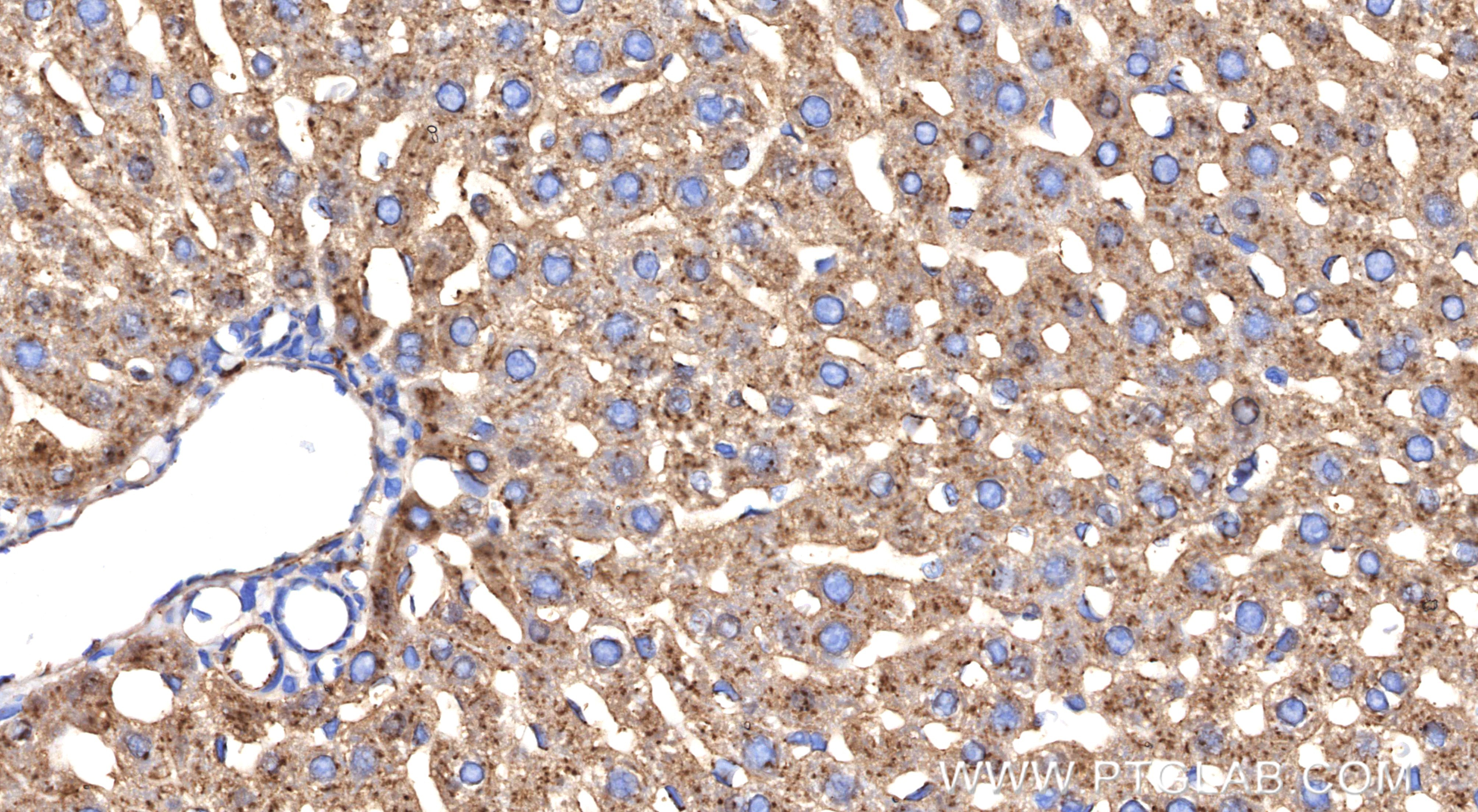
| Positive IHC detected in | rat liver tissue Note: suggested antigen retrieval with TE buffer pH 9.0; (*) Alternatively, antigen retrieval may be performed with citrate buffer pH 6.0 |
| Positive IF-P detected in | rat liver tissue |
推荐稀释比
| 应用 | 推荐稀释比 |
|---|---|
| Western Blot (WB) | WB : 1:5000-1:50000 |
| Immunohistochemistry (IHC) | IHC : 1:500-1:2000 |
| Immunofluorescence (IF)-P | IF-P : 1:50-1:500 |
| It is recommended that this reagent should be titrated in each testing system to obtain optimal results. | |
| Sample-dependent, Check data in validation data gallery. | |
产品信息
83697-5-RR targets Albumin in WB, IHC, IF-P, ELISA applications and shows reactivity with mouse, rat samples.
| 经测试应用 | WB, IHC, IF-P, ELISA Application Description |
| 经测试反应性 | mouse, rat |
| 免疫原 |
CatNo: Eg0935 Product name: Recombinant rat Albumin protein Source: mammalian cells-derived, pHZ-KIsec-C-6*HIS Tag: C-6*HIS Sequence: EAHKSEIAHRFKDLGEQHFKGLVLIAFSQYLQKCPYEEHIKLVQEVTDFAKTCVADENAENCDKSIHTLFGDKLCAIPKLRDNYGELADCCAKQEPERNECFLQHKDDNPNLPPFQRPEAEAMCTSFQENPTSFLGHYLHEVARRHPYFYAPELLYYAEKYNEVLTQCCTESDKAACLTPKLDAVKEKALVAAVRQRMKCSSMQRFGERAFKAWAVARMSQRFPNAEFAEITKLATDVTKINKECCHGDLLECADDRAELAKYMCENQATISSKLQACCDKPVLQKSQCLAEIEHDNIPADLPSIAADFVEDKEVCKNYAEAKDVFLGTFLYEYSRRHPDYSVSLLLRLAKKYEATLEKCCAEGDPPACYGTVLAEFQPLVEEPKNLVKTNCELYEKLGEYGFQNAVLVRYTQKAPQVSTPTLVEAARNLGRVGTKCCTLPEAQRLPCVEDYLSAILNRLCVLHEKTPVSEKVTKCCSGSLVERRPCFSALTVDETYVPKEFKAETFTFHSDICTLPDKEKQIKKQTALAELVKHKPKATEDQLKTVMGDFAQFVDKCCKAADKDNCFATEGPNLVARSKEALA 种属同源性预测 |
| 宿主/亚型 | Rabbit / IgG |
| 抗体类别 | Recombinant |
| 产品类型 | Antibody |
| 全称 | albumin |
| 别名 | Alb, 240745E3, rat albumin, Serum albumin |
| 计算分子量 | 69 kDa |
| 观测分子量 | 69 kDa |
| 基因名称 | Alb |
| Gene ID (NCBI) | 24186 |
| RRID | AB_3671300 |
| 偶联类型 | Unconjugated |
| 形式 | Liquid |
| 纯化方式 | Protein A purfication |
| UNIPROT ID | P02770 |
| 储存缓冲液 | PBS with 0.02% sodium azide and 50% glycerol, pH 7.3. |
| 储存条件 | Store at -20°C. Stable for one year after shipment. Aliquoting is unnecessary for -20oC storage. |
背景介绍
Albumin is a multi-functional protein that participates in the regulation of colloid osmotic pressure, transportation of endogenous ligands and drugs, and regulation of microvascular permeability. Albumin major calcium and magnesium transporter in plasma, binds approximately 45% of circulating calcium and magnesium in plasma. Human (HSA) and rat (RSA) serum albumins share similar characteristics of binding biologically active substances.
实验方案
| Product Specific Protocols | |
|---|---|
| IF protocol for Albumin antibody 83697-5-RR | Download protocol |
| IHC protocol for Albumin antibody 83697-5-RR | Download protocol |
| WB protocol for Albumin antibody 83697-5-RR | Download protocol |
| Standard Protocols | |
|---|---|
| Click here to view our Standard Protocols |


