验证数据展示
经过测试的应用
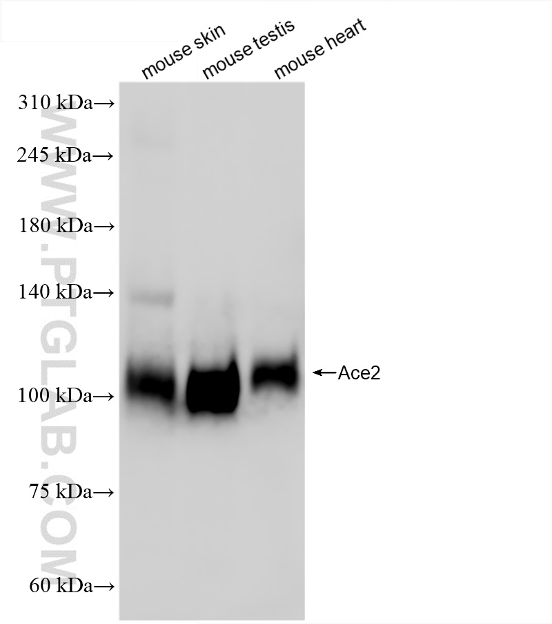
| Positive WB detected in | mouse skin tissue, human kidney tissue, rat kidney tissue, mouse testis tissue |
推荐稀释比
| 应用 | 推荐稀释比 |
|---|---|
| Western Blot (WB) | WB : 1:5000-1:50000 |
| It is recommended that this reagent should be titrated in each testing system to obtain optimal results. | |
| Sample-dependent, Check data in validation data gallery. | |
产品信息
86303-1-RR targets ACE2 in WB, ELISA applications and shows reactivity with human, mouse, rat samples.
| 经测试应用 | WB, ELISA Application Description |
| 经测试反应性 | human, mouse, rat |
| 免疫原 |
CatNo: Eg2834 Product name: Recombinant Mouse ACE2 protein (rFc Tag) Source: mammalian cells-derived, V37 Tag: C-rFc Domain: 18-740 aa of NM_001130513.1 Sequence: QSLTEENAKTFLNNFNQEAEDLSYQSSLASWNYNTNITEENAQKMSEAAAKWSAFYEEQSKTAQSFSLQEIQTPIIKRQLQALQQSGSSALSADKNKQLNTILNTMSTIYSTGKVCNPKNPQECLLLEPGLDEIMATSTDYNSRLWAWEGWRAEVGKQLRPLYEEYVVLKNEMARANNYNDYGDYWRGDYEAEGADGYNYNRNQLIEDVERTFAEIKPLYEHLHAYVRRKLMDTYPSYISPTGCLPAHLLGDMWGRFWTNLYPLTVPFAQKPNIDVTDAMMNQGWDAERIFQEAEKFFVSVGLPHMTQGFWANSMLTEPADGRKVVCHPTAWDLGHGDFRIKMCTKVTMDNFLTAHHEMGHIQYDMAYARQPFLLRNGANEGFHEAVGEIMSLSAATPKHLKSIGLLPSDFQEDSETEINFLLKQALTIVGTLPFTYMLEKWRWMVFRGEIPKEQWMKKWWEMKREIVGVVEPLPHDETYCDPASLFHVSNDYSFIRYYTRTIYQFQFQEALCQAAKYNGSLHKCDISNSTEAGQKLLKMLSLGNSEPWTKALENVVGARNMDVKPLLNYFQPLFDWLKEQNRNSFVGWNTEWSPYADQSIKVRISLKSALGANAYEWTNNEMFLFRSSVAYAMRKYFSIIKNQTVPFLEEDVRVSDLKPRVSFYFFVTSPQNVSDVIPRSEVEDAIRMSRGRINDVFGLNDNSLEFLGIHPTLEPPYQPPVT 种属同源性预测 |
| 宿主/亚型 | Rabbit / IgG |
| 抗体类别 | Recombinant |
| 产品类型 | Antibody |
| 全称 | angiotensin I converting enzyme (peptidyl-dipeptidase A) 2 |
| 别名 | ACE-related carboxypeptidase, Angiotensin-converting enzyme 2, EC:3.4.17.-, EC:3.4.17.23, Processed angiotensin-converting enzyme 2 |
| 计算分子量 | 92 kDa |
| 观测分子量 | 110 kDa |
| GenBank蛋白编号 | NM_001130513.1 |
| 基因名称 | Ace2 |
| Gene ID (NCBI) | 70008 |
| RRID | AB_3744794 |
| 偶联类型 | Unconjugated |
| 形式 | Liquid |
| 纯化方式 | Protein A purification |
| UNIPROT ID | Q8R0I0-1 |
| 储存缓冲液 | PBS with 0.02% sodium azide and 50% glycerol, pH 7.3. |
| 储存条件 | Store at -20°C. Stable for one year after shipment. Aliquoting is unnecessary for -20oC storage. |
背景介绍
ACE2 (Angiotensin-Converting Enzyme 2) is a key regulator of the renin-angiotensin system (RAS) and plays a crucial role in maintaining cardiovascular homeostasis. It is also the functional receptor for severe acute respiratory syndrome coronavirus 2 (SARS-CoV-2), the virus responsible for COVID-19.
实验方案
| Product Specific Protocols | |
|---|---|
| WB protocol for ACE2 antibody 86303-1-RR | Download protocol |
| Standard Protocols | |
|---|---|
| Click here to view our Standard Protocols |

