验证数据展示
经过测试的应用
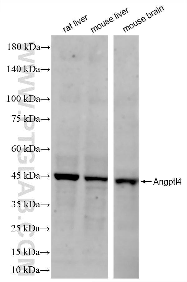
| Positive WB detected in | rat liver tissue, mouse liver tissue, mouse brain tissue |
推荐稀释比
| 应用 | 推荐稀释比 |
|---|---|
| Western Blot (WB) | WB : 1:500-1:2000 |
| It is recommended that this reagent should be titrated in each testing system to obtain optimal results. | |
| Sample-dependent, Check data in validation data gallery. | |
产品信息
86006-4-RR targets ANGPTL4 in WB, ELISA applications and shows reactivity with mouse, rat samples.
| 经测试应用 | WB, ELISA Application Description |
| 经测试反应性 | mouse, rat |
| 免疫原 |
CatNo: Eg2770 Product name: Recombinant Mouse ANGPTL4 protein (rFc Tag) Source: mammalian cells-derived, V37 Tag: C-rFc Domain: 168-410 aa of NM_020581.2 Sequence: RLPKMTQLIGLTPNATHLHRPPRDCQELFQEGERHSGLFQIQPLGSPPFLVNCEMTSDGGWTVIQRRLNGSVDFNQSWEAYKDGFGDPQGEFWLGLEKMHSITGNRGSQLAVQLQDWDGNAKLLQFPIHLGGEDTAYSLQLTEPTANELGATNVSPNGLSLPFSTWDQDHDLRGDLNCAKSLSGGWWFGTCSHSNLNGQYFHSIPRQRQERKKGIFWKTWKGRYYPLQATTLLIQPMEATAAS 种属同源性预测 |
| 宿主/亚型 | Rabbit / IgG |
| 抗体类别 | Recombinant |
| 产品类型 | Antibody |
| 全称 | angiopoietin-like 4 |
| 别名 | 425O18-1, Angiopoietin-like protein 4, Angiopoietin-related protein 4, ANGPTL4 C-terminal chain, ANGPTL4 N-terminal chain |
| 计算分子量 | 46 kDa |
| 观测分子量 | 45 kDa |
| GenBank蛋白编号 | NM_020581.2 |
| 基因名称 | Angptl4 |
| Gene ID (NCBI) | 57875 |
| RRID | AB_3744543 |
| 偶联类型 | Unconjugated |
| 形式 | Liquid |
| 纯化方式 | Protein A purification |
| UNIPROT ID | Q9Z1P8 |
| 储存缓冲液 | PBS with 0.02% sodium azide and 50% glycerol, pH 7.3. |
| 储存条件 | Store at -20°C. Stable for one year after shipment. Aliquoting is unnecessary for -20oC storage. |
背景介绍
ANGPTL4 was first identified in adipose tissue and later found to be widely expressed in several tissues including the liver, skeletal muscle, small intestine, placenta, heart, and kidney. ANGPTL4 expression was first identified to be regulated by peroxisome proliferator-activator receptors (PPARs), PPARα and PPARγ.
实验方案
| Product Specific Protocols | |
|---|---|
| WB protocol for ANGPTL4 antibody 86006-4-RR | Download protocol |
| Standard Protocols | |
|---|---|
| Click here to view our Standard Protocols |
