验证数据展示
经过测试的应用
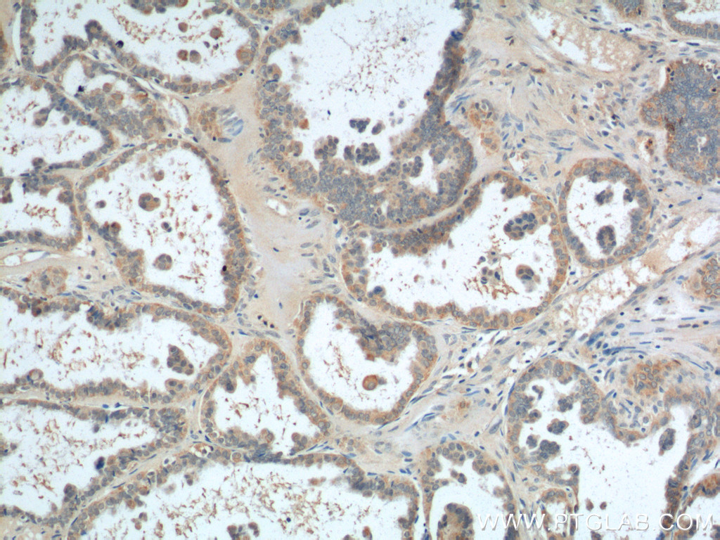
| Positive IHC detected in | human testis tissue, human ovary tumor tissue, mouse brain tissue Note: suggested antigen retrieval with TE buffer pH 9.0; (*) Alternatively, antigen retrieval may be performed with citrate buffer pH 6.0 |
推荐稀释比
| 应用 | 推荐稀释比 |
|---|---|
| Immunohistochemistry (IHC) | IHC : 1:50-1:500 |
| It is recommended that this reagent should be titrated in each testing system to obtain optimal results. | |
| Sample-dependent, Check data in validation data gallery. | |
产品信息
25888-1-AP targets AMHR2 in IHC, ELISA applications and shows reactivity with human, mouse samples.
| 经测试应用 | IHC, ELISA Application Description |
| 经测试反应性 | human, mouse |
| 免疫原 |
CatNo: Ag22473 Product name: Recombinant human AMHR2 protein Source: e coli.-derived, PGEX-4T Tag: GST Domain: 225-573 aa of BC126316 Sequence: KLVAIKAFPPRSVAQFQAERALYELPGLQHDHIVRFITASRGGPGRLLSGPLLVLELHPKGSLCHYLTQYTSDWGSSLRMALSLAQGLAFLHEERWQNGQYKPGIAHRDLSSQNVLIREDGSCAIGDLGLALVLPGLTQPPAWTPTQPQGPAAIMEAGTQRYMAPELLDKTLDLQDWGMALRRADIYSLALLLWEILSRCPDLRPDSSPPPFQLAYEAELGNTPTSDELWALAVQERRRPYIPSTWRCFATDPDGLRELLEDCWDADPEARLTAECVQQRLAALAHPQESHPFPESCPRGCPPLCPEDCTSIPAPTILPCRPQRSACHFSVQQGPCSRNPQPACTLSPV 种属同源性预测 |
| 宿主/亚型 | Rabbit / IgG |
| 抗体类别 | Polyclonal |
| 产品类型 | Antibody |
| 全称 | anti-Mullerian hormone receptor, type II |
| 别名 | AMH type II receptor, AMHR, AMHR2, MIS type II receptor, MISR2, MISRII, MRII |
| 计算分子量 | 573 aa, 63 kDa |
| GenBank蛋白编号 | BC126316 |
| 基因名称 | AMHR2 |
| Gene ID (NCBI) | 269 |
| RRID | AB_3085826 |
| 偶联类型 | Unconjugated |
| 形式 | Liquid |
| 纯化方式 | Antigen affinity purification |
| UNIPROT ID | Q16671 |
| 储存缓冲液 | PBS with 0.02% sodium azide and 50% glycerol, pH 7.3. |
| 储存条件 | Store at -20°C. Stable for one year after shipment. Aliquoting is unnecessary for -20oC storage. |
背景介绍
Anti-Mullerian hormone (Amh) is the key factor in the regression of the Mullerian ducts that is secreted by the Sertoli cells of the testis. As a member of the transforming growth factor β family, Amh signals through a heterodimeric receptor complex consisting of two type I and two types II serine/threonine kinases receptors (J. Klatting, et. al, 2007). On ligand binding, Type II receptors phosphorylate and activate Type I receptors which autophosphorylate, then bind and activate SMAD transcriptional regulators. The Amh type II receptor (Amhr2) confers the specificity and is initially expressed in the coelomic epithelium next to the Mullerian ducts in both males and females (Zhan, y. et. al, 2006).
实验方案
| Product Specific Protocols | |
|---|---|
| IHC protocol for AMHR2 antibody 25888-1-AP | Download protocol |
| Standard Protocols | |
|---|---|
| Click here to view our Standard Protocols |





