验证数据展示
经过测试的应用
| Positive WB detected in | rat brain tissue, rat cerebellum tissue |
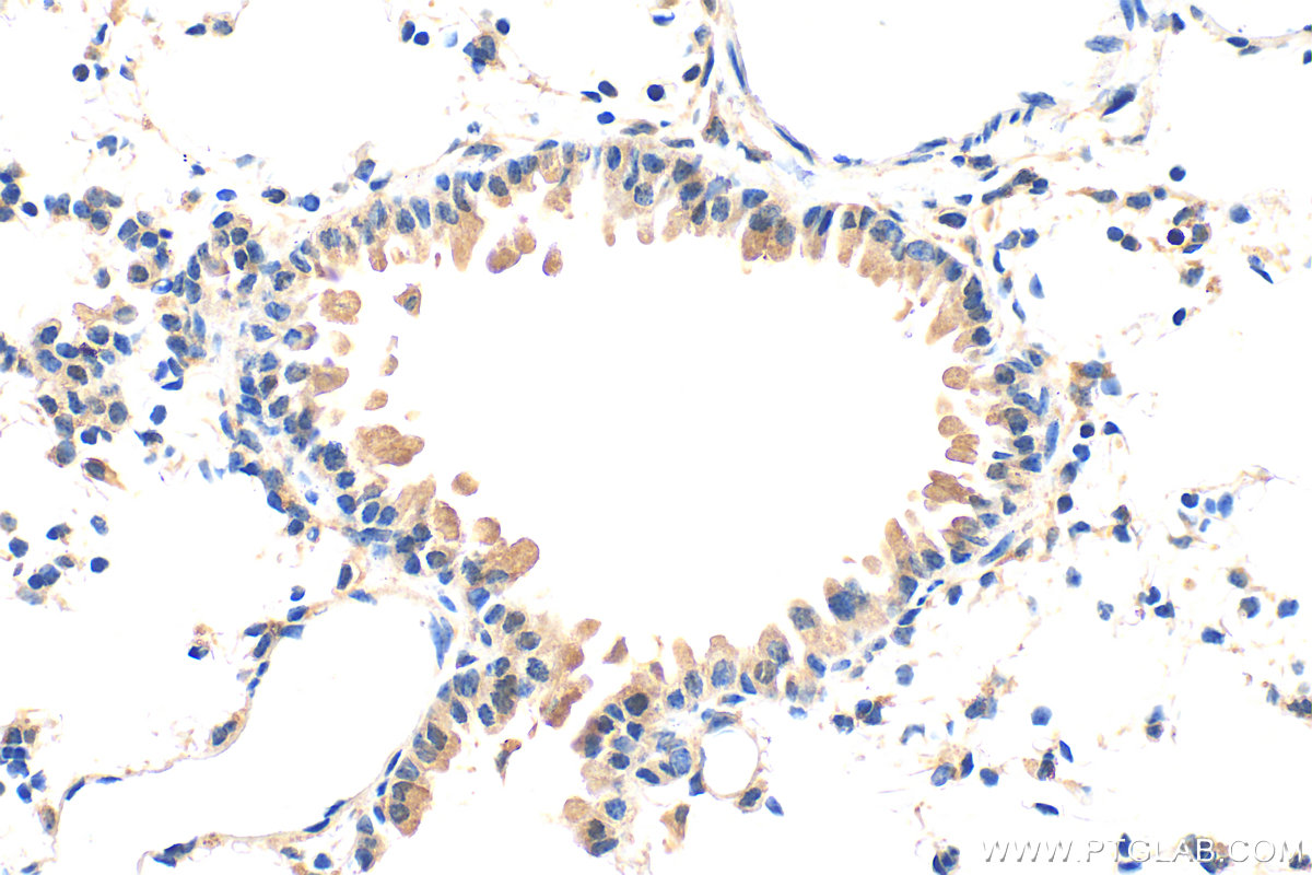
| Positive IHC detected in | mouse lung tissue Note: suggested antigen retrieval with TE buffer pH 9.0; (*) Alternatively, antigen retrieval may be performed with citrate buffer pH 6.0 |
| Positive IF/ICC detected in | NIH/3T3 cells |
推荐稀释比
| 应用 | 推荐稀释比 |
|---|---|
| Western Blot (WB) | WB : 1:500-1:1000 |
| Immunohistochemistry (IHC) | IHC : 1:50-1:500 |
| Immunofluorescence (IF)/ICC | IF/ICC : 1:200-1:800 |
| It is recommended that this reagent should be titrated in each testing system to obtain optimal results. | |
| Sample-dependent, Check data in validation data gallery. | |
产品信息
32970-1-AP targets ADAM11 in WB, IHC, IF/ICC, ELISA applications and shows reactivity with human, mouse, rat samples.
| 经测试应用 | WB, IHC, IF/ICC, ELISA Application Description |
| 经测试反应性 | human, mouse, rat |
| 免疫原 |
CatNo: Ag35877 Product name: Recombinant human ADAM11 protein Source: e coli.-derived, PGEX-4T Tag: GST Domain: 150-300 aa of NM_001318933 Sequence: STCQGLHGVFSDGNLTYIVEPQEVAGPWGAPQGPLPHLIYRTPLLPDPLGCREPGCLFAVPAQSAPPNRPRLRRKRQVRRGHPTVHSETKYVELIVINDHQLFEQMRQSVVLTSNFAKSVVNLADVIYKEQLNTRIVLVAMETWADGDKIQ 种属同源性预测 |
| 宿主/亚型 | Rabbit / IgG |
| 抗体类别 | Polyclonal |
| 产品类型 | Antibody |
| 全称 | ADAM metallopeptidase domain 11 |
| 别名 | ADAM 11, Disintegrin and metalloproteinase domain-containing protein 11, MDC, Metalloproteinase-like, disintegrin-like, and cysteine-rich protein |
| 计算分子量 | 83kDa |
| 观测分子量 | 83 kDa |
| GenBank蛋白编号 | NM_001318933 |
| 基因名称 | ADAM11 |
| Gene ID (NCBI) | 4185 |
| 偶联类型 | Unconjugated |
| 形式 | Liquid |
| 纯化方式 | Antigen affinity Purification |
| UNIPROT ID | O75078 |
| 储存缓冲液 | PBS with 0.02% sodium azide and 50% glycerol, pH 7.3. |
| 储存条件 | Store at -20°C. Stable for one year after shipment. Aliquoting is unnecessary for -20oC storage. |
背景介绍
ADAM11 (A Disintegrin And Metalloprotease 11) is a non-catalytic, transmembrane member of the ADAM family. Although it retains the prototypical multi-domain architecture (signal peptide ‑ pro‑domain ‑ metalloprotease-like ‑ disintegrin ‑ cysteine-rich ‑ EGF-like ‑ TM ‑ cytoplasmic tail), it lacks the consensus HEXGHXXGXXHD zinc-binding motif, rendering it proteolytically inactive . Instead, ADAM11 functions as a cell-adhesion and signalling scaffold. (PMID: 31236626)
实验方案
| Product Specific Protocols | |
|---|---|
| IF protocol for ADAM11 antibody 32970-1-AP | Download protocol |
| IHC protocol for ADAM11 antibody 32970-1-AP | Download protocol |
| WB protocol for ADAM11 antibody 32970-1-AP | Download protocol |
| Standard Protocols | |
|---|---|
| Click here to view our Standard Protocols |


