验证数据展示
经过测试的应用
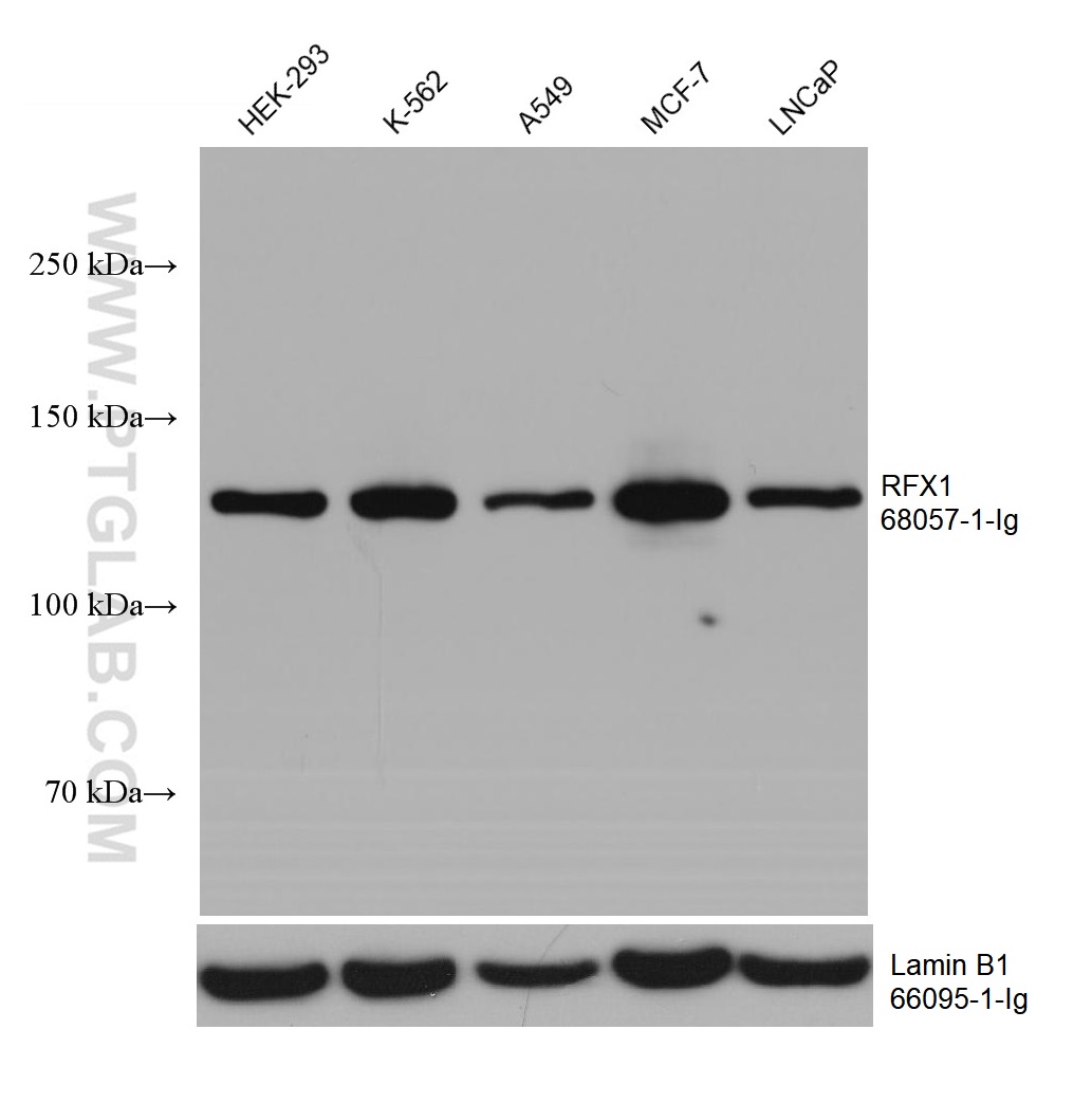
| Positive WB detected in | HEK-293 cells, HeLa cells, NIH/3T3 cells, U2OS cells, K-562 cells, A549 cells, MCF-7 cells, LnCaP cells |
推荐稀释比
| 应用 | 推荐稀释比 |
|---|---|
| Western Blot (WB) | WB : 1:1000-1:6000 |
| It is recommended that this reagent should be titrated in each testing system to obtain optimal results. | |
| Sample-dependent, Check data in validation data gallery. | |
产品信息
68057-1-Ig targets RFX1 in WB, ELISA applications and shows reactivity with Human, Mouse samples.
| 经测试应用 | WB, ELISA Application Description |
| 经测试反应性 | Human, Mouse |
| 免疫原 |
CatNo: Ag25442 Product name: Recombinant human RFX1 protein Source: e coli.-derived, PET28a Tag: 6*His Domain: 62-289 aa of BC049826 Sequence: QPQAQPPGGQKQYVTELPAVPAPSQPTGAPTPSPAPQQYIVVTVSEGAMRASETVSEASPGSTASQTGVPTQVVQQVQGTQQRLLVQTSVQAKPGHVSPLQLTNIQVPQQALPTQRLVVQSAAPGSKGGQVSLTVHGTQQVHSPPEQSPVQANSSSSKTAGAPTGTVPQQLQVHGVQQSVPVTQERSVVQATPQAPKPGPVQPLTVQGLQPVHVAQEVQQLQQVPVPH 种属同源性预测 |
| 宿主/亚型 | Mouse / IgG1 |
| 抗体类别 | Monoclonal |
| 产品类型 | Antibody |
| 全称 | regulatory factor X, 1 (influences HLA class II expression) |
| 别名 | EF C, Enhancer factor C, Regulatory factor X 1, RFX, RFX1, Transcription factor RFX1 |
| 计算分子量 | 105 kDa |
| 观测分子量 | 135 kDa |
| GenBank蛋白编号 | BC049826 |
| 基因名称 | RFX1 |
| Gene ID (NCBI) | 5989 |
| RRID | AB_2918798 |
| 偶联类型 | Unconjugated |
| 形式 | Liquid |
| 纯化方式 | Protein G purification |
| UNIPROT ID | P22670 |
| 储存缓冲液 | PBS with 0.02% sodium azide and 50% glycerol, pH 7.3. |
| 储存条件 | Store at -20°C. Stable for one year after shipment. Aliquoting is unnecessary for -20oC storage. |
背景介绍
RFX1, also named as MHC class II regulatory factor RFX1, is a 979 amino acid protein which contains 1 RFX-type winged-helix DNA-binding domain and belongs to the RFX family. RFX1 can binds DNA as a homodimer and heterodimerizes with RFX2 and RFX3. RFX1 as a regulatory factor is essential for MHC class II genes expression. RFX1 protein is modified after translation and its molecular weight could be migrate to 130-140 kDa (PMID: 20189986 ).
实验方案
| Product Specific Protocols | |
|---|---|
| WB protocol for RFX1 antibody 68057-1-Ig | Download protocol |
| Standard Protocols | |
|---|---|
| Click here to view our Standard Protocols |



