验证数据展示
经过测试的应用
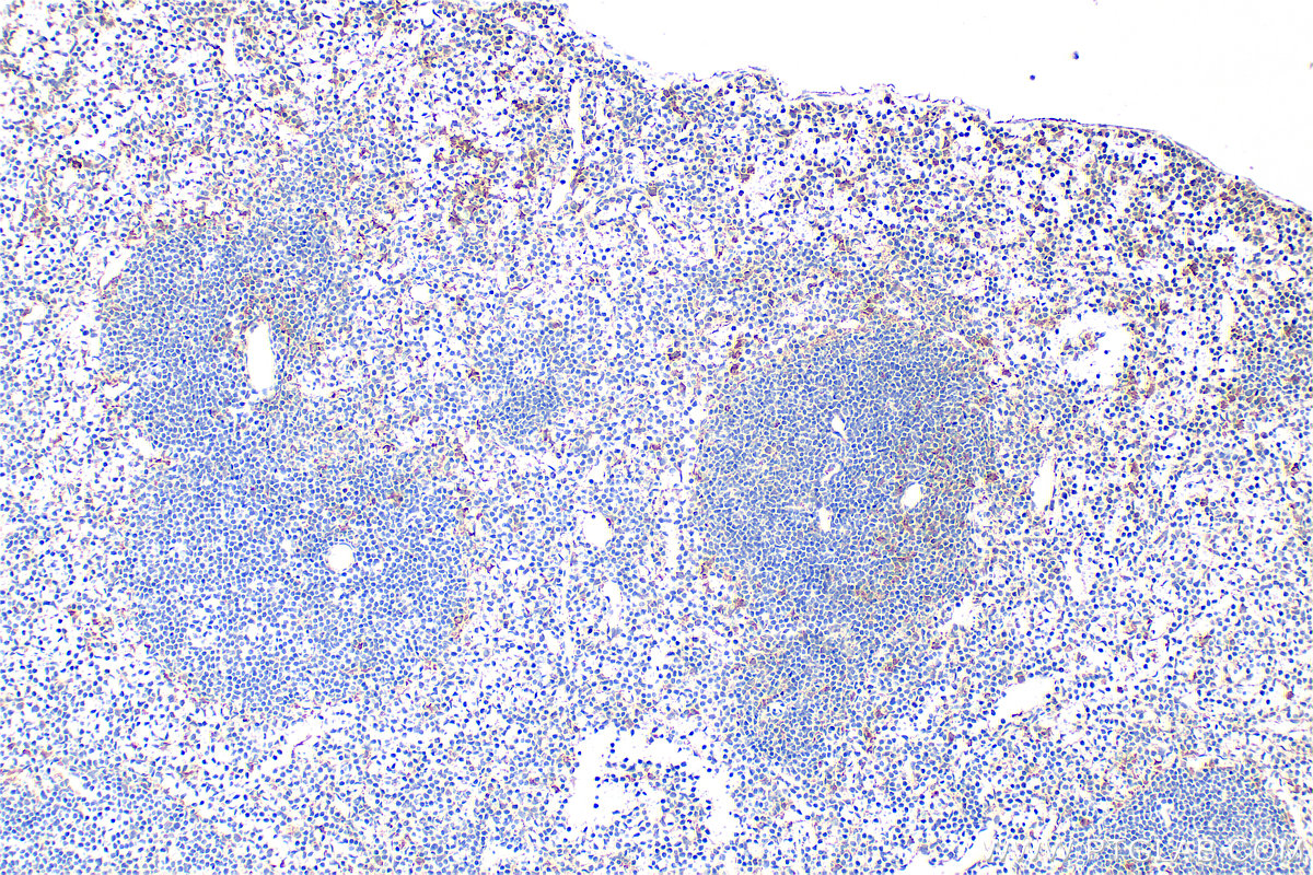
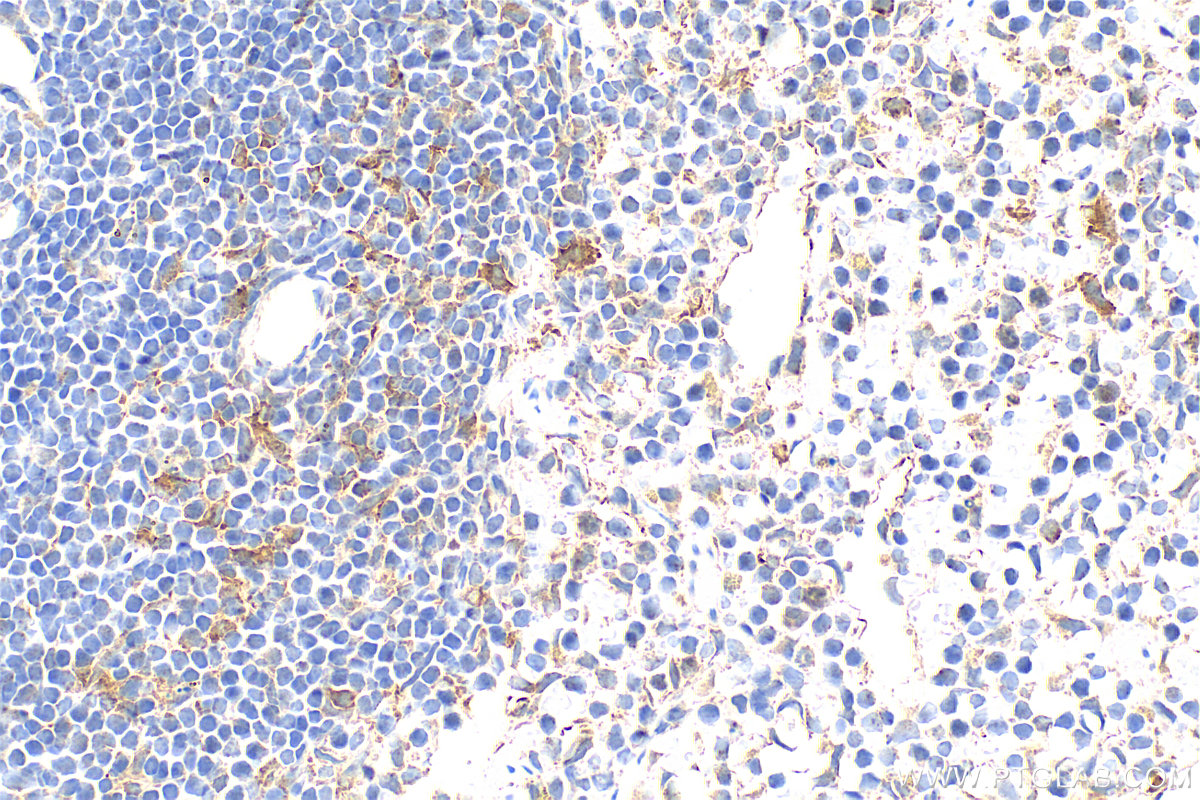
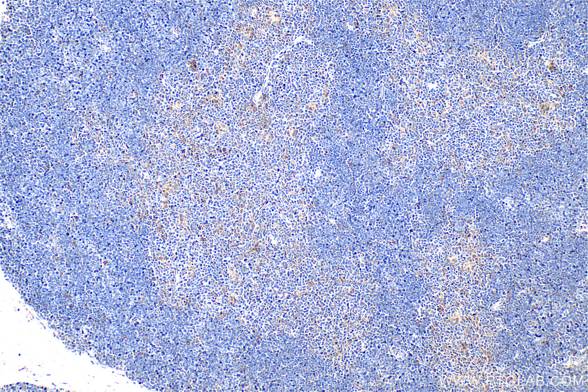
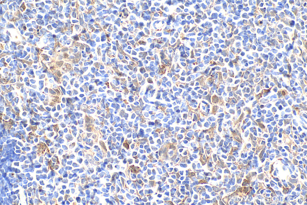
| Positive IHC detected in | mouse spleen tissue, mouse thymus tissue Note: suggested antigen retrieval with TE buffer pH 9.0; (*) Alternatively, antigen retrieval may be performed with citrate buffer pH 6.0 |
推荐稀释比
| 应用 | 推荐稀释比 |
|---|---|
| Immunohistochemistry (IHC) | IHC : 1:200-1:800 |
| It is recommended that this reagent should be titrated in each testing system to obtain optimal results. | |
| Sample-dependent, Check data in validation data gallery. | |
产品信息
33408-1-AP targets XCL1 in IHC, ELISA applications and shows reactivity with mouse samples.
| 经测试应用 | IHC, ELISA Application Description |
| 经测试反应性 | mouse |
| 免疫原 |
CatNo: Eg2932 Product name: recombinant mouse Xcl1 protein Source: mammalian cells-derived, V37 Tag: C-rFc Domain: 22-114 aa of NM_008510.1 Sequence: VGTEVLEESSCVNLQTQRLPVQKIKTYIIWEGAMRAVIFVTKRGLKICADPEAKWVKAAIKTVDGRASTRKNMAETVPTGAQRSTSTAITLTG 种属同源性预测 |
| 宿主/亚型 | Rabbit / IgG |
| 抗体类别 | Polyclonal |
| 产品类型 | Antibody |
| 全称 | chemokine (C motif) ligand 1 |
| 别名 | C motif chemokine 1, Cytokine SCM-1, Lptn, Ltn, Lymphotactin |
| 计算分子量 | 12 kDa |
| GenBank蛋白编号 | NM_008510.1 |
| 基因名称 | Xcl1 |
| Gene ID (NCBI) | 16963 |
| 偶联类型 | Unconjugated |
| 形式 | Liquid |
| 纯化方式 | Antigen affinity Purification |
| UNIPROT ID | P47993 |
| 储存缓冲液 | PBS with 0.02% sodium azide and 50% glycerol, pH 7.3. |
| 储存条件 | Store at -20°C. Stable for one year after shipment. Aliquoting is unnecessary for -20oC storage. |
背景介绍
XCL1/lymphotactin is a member of the chemokine family, which is expressed by immune cells, including activated CD8+ T cells, CD4+ T cells, natural killer cells (NKCs), and natural killer T (NKT) cells. XCR1, the XCL1 receptor, is a member of the C-chemokine subfamily expressed on CD4+ and CD8+ T cells, NKCs, B cells, and neutrophils. XCL1 has a potential role in inflammatory diseases, including chronic inflammatory bowel disease, autoimmune diabetes, encephalomyelitis, and rheumatoid arthritis (RA).
实验方案
| Product Specific Protocols | |
|---|---|
| IHC protocol for XCL1 antibody 33408-1-AP | Download protocol |
| Standard Protocols | |
|---|---|
| Click here to view our Standard Protocols |



