验证数据展示
经过测试的应用
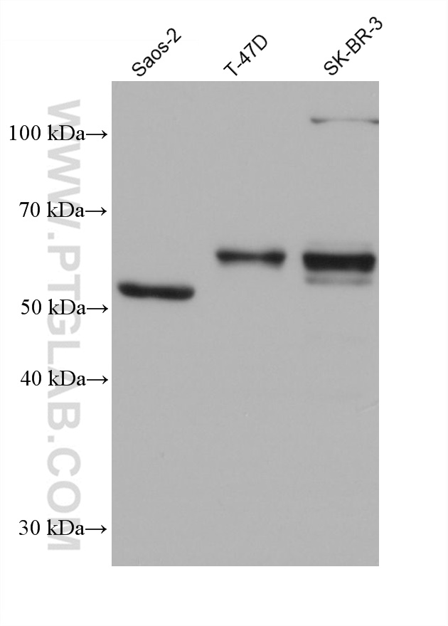
| Positive WB detected in | HEK-293 cells, Saos-2 cells, T-47D cells, SK-BR-3 cells, A549 cells, K-562 cells, Jurkat cells |
推荐稀释比
| 应用 | 推荐稀释比 |
|---|---|
| Western Blot (WB) | WB : 1:2000-1:10000 |
| It is recommended that this reagent should be titrated in each testing system to obtain optimal results. | |
| Sample-dependent, Check data in validation data gallery. | |
产品信息
68422-1-Ig targets UBOX5 in WB, ELISA applications and shows reactivity with Human samples.
| 经测试应用 | WB, ELISA Application Description |
| 经测试反应性 | Human |
| 免疫原 |
CatNo: Ag6573 Product name: Recombinant human UBOX5 protein Source: e coli.-derived, PET28a Tag: 6*His Domain: 196-541 aa of BC000515 Sequence: QPAKTCSQEVIDSILLVTSENLPQDVALQAPALPMESDCDPGDQPESQQAPSSLQKLAEIIQDVPEEFLDPITLEIMPCPMLLPSGKVIDQSTLEKCNRSEATWGRVPSDPFTGVAFTPHSQPLPHPSLKARIDHFLLQHSIPGCHLLGRAQTALAVIPSSIVLPSQKRKIEQAEHVPDSNFGVNASCFSATSPLVLPTTSEHTAKKMKATNEPSLTHMDCSTGPLSHEQKLSQSLEIALASTLGSMPSFTARLTRGQLQHLGTRGSNTSWRPGTGSEQPGSILGPECASCKRVFSPYFKKEPVYQLPCGHLLCRPCLGEKQRSLPMTCTACQRPVASQDVLRVHF 种属同源性预测 |
| 宿主/亚型 | Mouse / IgG1 |
| 抗体类别 | Monoclonal |
| 产品类型 | Antibody |
| 全称 | U-box domain containing 5 |
| 别名 | KIAA0860, RING finger protein 37, RNF37, U box domain containing 5, UBCE7IP5, UBOX5, UIP5 |
| 计算分子量 | 59 kDa |
| 观测分子量 | 60 kDa |
| GenBank蛋白编号 | BC000515 |
| 基因名称 | UBOX5 |
| Gene ID (NCBI) | 22888 |
| RRID | AB_3085137 |
| 偶联类型 | Unconjugated |
| 形式 | Liquid |
| 纯化方式 | Protein A purification |
| UNIPROT ID | O94941 |
| 储存缓冲液 | PBS with 0.02% sodium azide and 50% glycerol, pH 7.3. |
| 储存条件 | Store at -20°C. Stable for one year after shipment. Aliquoting is unnecessary for -20oC storage. |
实验方案
| Product Specific Protocols | |
|---|---|
| WB protocol for UBOX5 antibody 68422-1-Ig | Download protocol |
| Standard Protocols | |
|---|---|
| Click here to view our Standard Protocols |

