验证数据展示
经过测试的应用
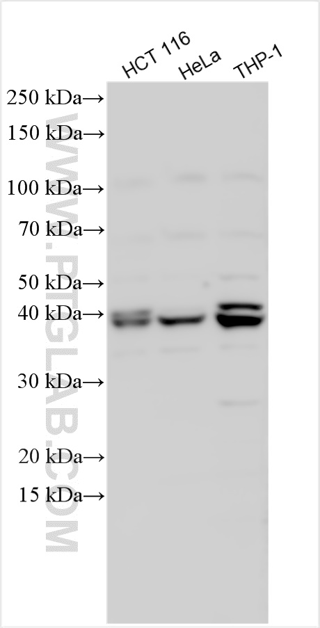
| Positive WB detected in | THP-1 cells, HCT 116 cells, HeLa cells |
推荐稀释比
| 应用 | 推荐稀释比 |
|---|---|
| Western Blot (WB) | WB : 1:1000-1:4000 |
| It is recommended that this reagent should be titrated in each testing system to obtain optimal results. | |
| Sample-dependent, Check data in validation data gallery. | |
产品信息
31918-1-AP targets TOR4A in WB, ELISA applications and shows reactivity with human samples.
| 经测试应用 | WB, ELISA Application Description |
| 经测试反应性 | human |
| 免疫原 |
CatNo: Ag36307 Product name: Recombinant human C9orf167 protein Source: e coli.-derived, PGEX-4T Tag: GST Domain: 1-121 aa of NM_017723 Sequence: MDRGQPSLEPAAAAPRASGRCVIAPVRAVLRLRRRVCVLRKRRLLQPGGGPDVGTGAPRPGCSPRAPRADLDQPKFFTFDSPAELPSRTPRKKRRRSRLVLYPETSRKYRPRVEHRSRAQR 种属同源性预测 |
| 宿主/亚型 | Rabbit / IgG |
| 抗体类别 | Polyclonal |
| 产品类型 | Antibody |
| 全称 | chromosome 9 open reading frame 167 |
| 别名 | Torsin-4A, Torsin family 4 member A, C9orf167 |
| 计算分子量 | 46kDa |
| 观测分子量 | 38, 40 kDa |
| GenBank蛋白编号 | NM_017723 |
| 基因名称 | C9orf167 |
| Gene ID (NCBI) | 54863 |
| RRID | AB_3670143 |
| 偶联类型 | Unconjugated |
| 形式 | Liquid |
| 纯化方式 | Antigen affinity Purification |
| UNIPROT ID | Q9NXH8 |
| 储存缓冲液 | PBS with 0.02% sodium azide and 50% glycerol, pH 7.3. |
| 储存条件 | Store at -20°C. Stable for one year after shipment. Aliquoting is unnecessary for -20oC storage. |
背景介绍
TOR4A is known to be a member of the AAA+ ATPase superfamily of proteins that are involved in the degradation of misfolded proteins via the endoplasmic reticulum-associated protein degradation (ERAD) pathway (PMID: 25873482).TOR4A is an oncogene and that DNER acts as a tumor suppressor gene by inhibiting TOR4A and its functions of promoting p-AKT and inhibiting antiapoptotic protein expression (PMID: 36204885).
实验方案
| Product Specific Protocols | |
|---|---|
| WB protocol for TOR4A antibody 31918-1-AP | Download protocol |
| Standard Protocols | |
|---|---|
| Click here to view our Standard Protocols |
