验证数据展示
产品信息
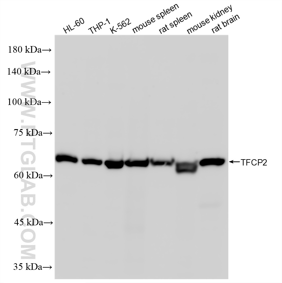
86807-1-PBS targets TFCP2 in WB, Indirect ELISA applications and shows reactivity with human, mouse, rat samples.
| 经测试应用 | WB, Indirect ELISA Application Description |
| 经测试反应性 | human, mouse, rat |
| 免疫原 |
CatNo: Ag7353 Product name: Recombinant human TFCP2 protein Source: e coli.-derived, PGEX-4T Tag: GST Domain: 1-348 aa of BC003634 Sequence: MAWALKLPLADEVIESGLVQDFDASLSGIGQELGAGAYSMSDVLALPIFKQEESSLPPDNENKILPFQYVLCAATSPAVKLHDETLTYLNQGQSYEIRMLDNRKLGELPEINGKLVKSIFRVVFHDRRLQYTEHQQLEGWRWNRPGDRILDIDIPMSVGIIDPRANPTQLNTVEFLWDPAKRTSVFIQVHCISTEFTMRKHGGEKGVPFRVQIDTFKENENGEYTEHLHSASCQIKVFKPKGADRKQKTDREKMEKRTPHEKEKYQPSYETTILTECSPWPEITYVNNSPSPGFNSSHSSFSLGEGNGSPNHQPEPPPPVTDNLLPTTTPQEAQQWLHRNRFSTFTRL 种属同源性预测 |
| 宿主/亚型 | Rabbit / IgG |
| 抗体类别 | Recombinant |
| 产品类型 | Antibody |
| 全称 | transcription factor CP2 |
| 别名 | Alpha-globin transcription factor CP2, CP2, LBP 1C, LSF, SAA3 enhancer factor |
| 计算分子量 | 57 kDa |
| 观测分子量 | 66 kDa |
| GenBank蛋白编号 | BC003634 |
| 基因名称 | TFCP2 |
| Gene ID (NCBI) | 7024 |
| 偶联类型 | Unconjugated |
| 形式 | Liquid |
| 纯化方式 | Protein A purification |
| UNIPROT ID | Q12800 |
| 储存缓冲液 | PBS only, pH 7.3. |
| 储存条件 | Store at -80°C. The product is shipped with ice packs. Upon receipt, store it immediately at -80°C |
背景介绍
TFCP2, also named as SAA3 enhancer factor and transcription factor LSF, is a 502 amino acid protein, which belongs to the grh/CP2 family. TFCP2 is expressed in brain, ovary, kidney, thymus, spleen, liver, adrenal, heart and lung. TFCP2 binds a variety of cellular and viral promoters including fibrinogen, alpha-globin, SV40 and HIV-1 promoters. The calculated molecular weight of TFCP2 is 57 kDa Similar levels of TFCP2 migrating at 64-66 kDa were evident in all three samples. (PMID: 7828600)

