验证数据展示
产品信息
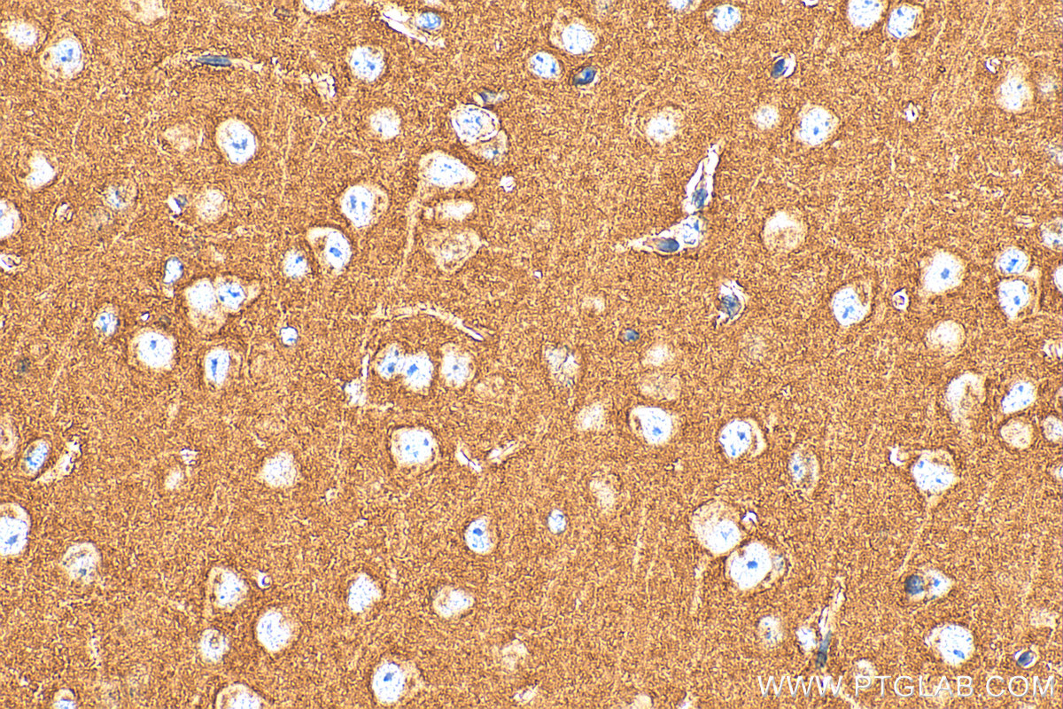
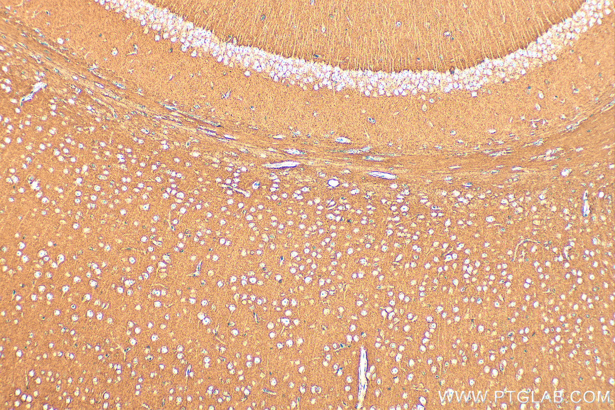
14903-1-PBS targets SNAP25 in WB, IHC, IF/ICC, IP, Indirect ELISA applications and shows reactivity with human, mouse, rat samples.
| 经测试应用 | WB, IHC, IF/ICC, IP, Indirect ELISA Application Description |
| 经测试反应性 | human, mouse, rat |
| 免疫原 |
CatNo: Ag6695 Product name: Recombinant human SNAP protein Source: e coli.-derived, PGEX-4T Tag: GST Domain: 1-206 aa of BC010647 Sequence: MAEDADMRNELEEMQRRADQLADESLESTRRMLQLVEESKDAGIRTLVMLDEQGEQLDRVEEGMNHINQDMKEAEKNLKDLGKCCGLFICPCNKLKSSDAYKKAWGNNQDGVVASQPARVVDEREQMAISGGFIRRVTNDARENEMDENLEQVSGIIGNLRHMALDMGNEIDTQNRQIDRIMEKADSNKTRIDEANQRATKMLGSG 种属同源性预测 |
| 宿主/亚型 | Rabbit / IgG |
| 抗体类别 | Polyclonal |
| 产品类型 | Antibody |
| 全称 | synaptosomal-associated protein, 25kDa |
| 别名 | RIC 4, RIC4, RIC-4, SNAP, SNAP 25 |
| 计算分子量 | 23 kDa |
| 观测分子量 | 25-27 kDa |
| GenBank蛋白编号 | BC010647 |
| 基因名称 | SNAP25 |
| Gene ID (NCBI) | 6616 |
| RRID | AB_2192051 |
| 偶联类型 | Unconjugated |
| 形式 | Liquid |
| 纯化方式 | Antigen affinity purification |
| UNIPROT ID | P60880 |
| 储存缓冲液 | PBS only, pH 7.3. |
| 储存条件 | Store at -80°C. The product is shipped with ice packs. Upon receipt, store it immediately at -80°C |
背景介绍
The synaptosomal associated protein of 25 kD (SNAP-25) was first identified as a major synaptic protein by Wilson and colleagues. The protein interacts with syntaxin and synaptobrevin through its N-terminal and C-terminal -helical domains. Its palmitoylation domain is located in the middle of the molecule that contains four cysteine residues. Mutation of the cysteines abolishes palmitoylation and membrane binding. Several elegant studies using synaptosome preparations and permeabilized PC12 cells have suggested that SNAP-25 may act in the late post-docking steps of exocytosis. By limited proteolysis and in vitro binding assay, it is proposed that the two helix domains act independently and contribute equally to form the SNARE complex with syntaxin and synaptobrevin. It seems that a major regulatory element is located in the C-terminus of SNAP-25. Removing a 9 amino acid sequence of SNAP-25 inhibited neurosecretion in chromaffin cells. In addition, it has been shown that inhibition of neurosecretion by AX type E can be rescued by a SNAP-25 C-terminal peptide, probably by initiating the formation of a fusion competent SNARE complex.









