验证数据展示
经过测试的应用
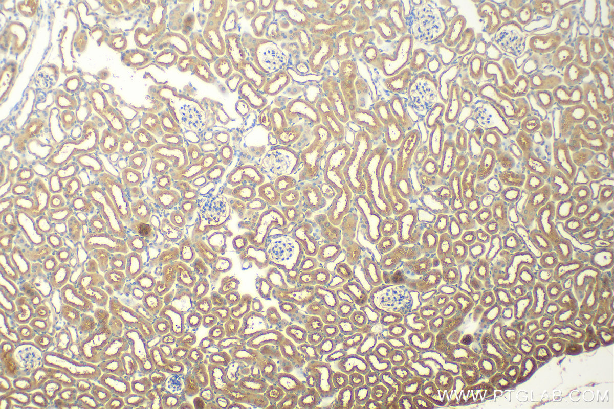
| Positive IHC detected in | mouse kidney tissue Note: suggested antigen retrieval with TE buffer pH 9.0; (*) Alternatively, antigen retrieval may be performed with citrate buffer pH 6.0 |
推荐稀释比
| 应用 | 推荐稀释比 |
|---|---|
| Immunohistochemistry (IHC) | IHC : 1:50-1:500 |
| It is recommended that this reagent should be titrated in each testing system to obtain optimal results. | |
| Sample-dependent, Check data in validation data gallery. | |
产品信息
32002-1-AP targets SLC7A13 in IHC, ELISA applications and shows reactivity with human, mouse samples.
| 经测试应用 | IHC, ELISA Application Description |
| 经测试反应性 | human, mouse |
| 免疫原 |
Peptide 种属同源性预测 |
| 宿主/亚型 | Rabbit / IgG |
| 抗体类别 | Polyclonal |
| 产品类型 | Antibody |
| 全称 | solute carrier family 7, (cationic amino acid transporter, y+ system) member 13 |
| 别名 | XAT2, X amino acid transporter 2, AGT1, AGT 1 |
| 计算分子量 | 470 aa, 52 kDa |
| GenBank蛋白编号 | BC125165 |
| 基因名称 | SLC7A13 |
| Gene ID (NCBI) | 157724 |
| RRID | AB_3670171 |
| 偶联类型 | Unconjugated |
| 形式 | Liquid |
| 纯化方式 | Antigen affinity Purification |
| UNIPROT ID | Q8TCU3 |
| 储存缓冲液 | PBS with 0.02% sodium azide and 50% glycerol, pH 7.3. |
| 储存条件 | Store at -20°C. Stable for one year after shipment. Aliquoting is unnecessary for -20oC storage. |
背景介绍
SLC7A13 (also named AGT1 or XAT2) may enable L-amino acid transmembrane transporter activity. It may be involved in L-cystine transport; L-glutamate transmembrane transport; and aspartate transmembrane transport.
实验方案
| Product Specific Protocols | |
|---|---|
| IHC protocol for SLC7A13 antibody 32002-1-AP | Download protocol |
| Standard Protocols | |
|---|---|
| Click here to view our Standard Protocols |

