验证数据展示
经过测试的应用
| Positive WB detected in | mouse liver tissue, mouse lung tissue, rat lung tissue |
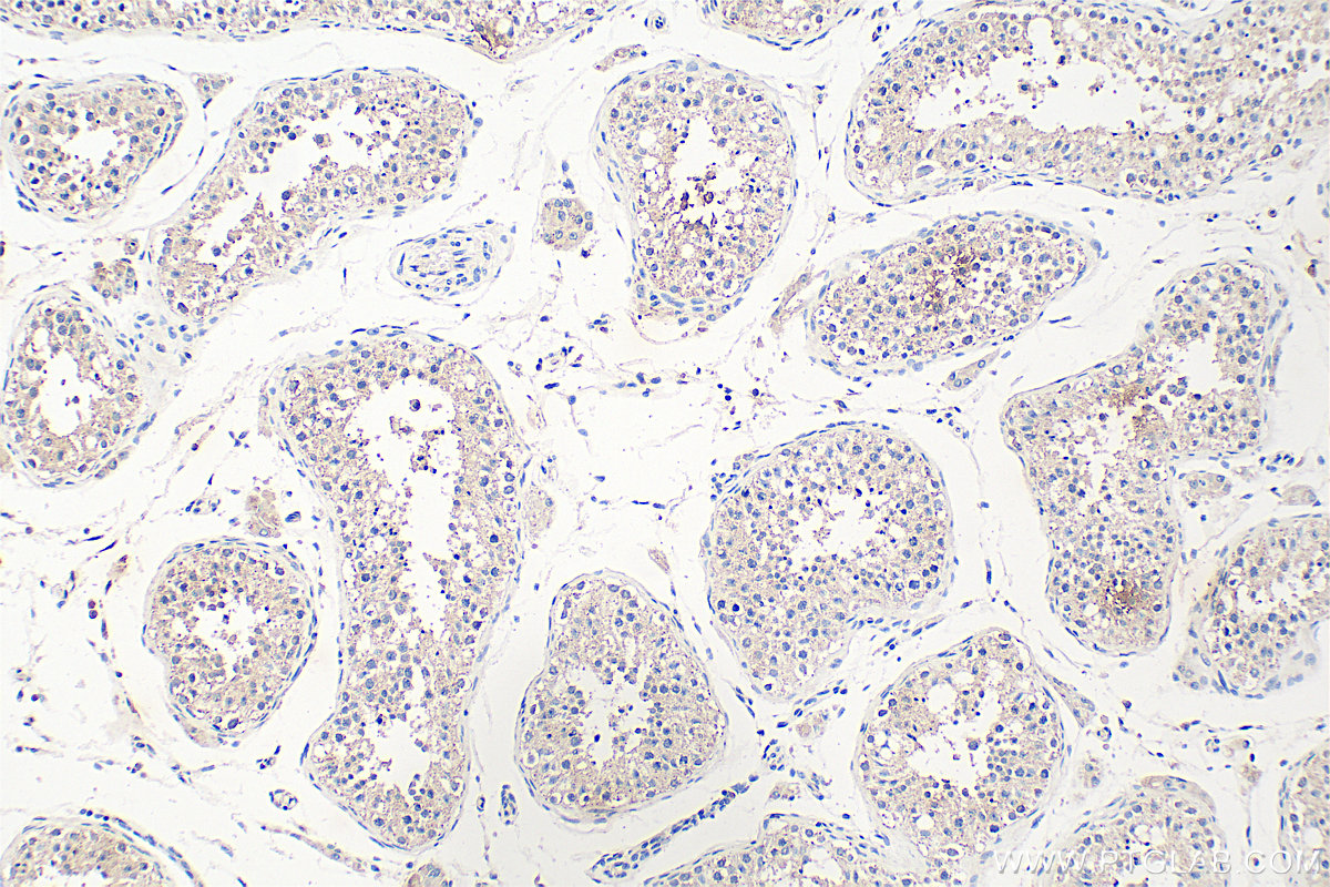
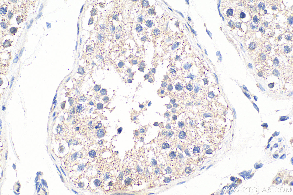
| Positive IHC detected in | human testis tissue Note: suggested antigen retrieval with TE buffer pH 9.0; (*) Alternatively, antigen retrieval may be performed with citrate buffer pH 6.0 |
| Positive IF/ICC detected in | HeLa cells |
推荐稀释比
| 应用 | 推荐稀释比 |
|---|---|
| Western Blot (WB) | WB : 1:500-1:2000 |
| Immunohistochemistry (IHC) | IHC : 1:50-1:500 |
| Immunofluorescence (IF)/ICC | IF/ICC : 1:50-1:500 |
| It is recommended that this reagent should be titrated in each testing system to obtain optimal results. | |
| Sample-dependent, Check data in validation data gallery. | |
产品信息
32098-1-AP targets SEC14L3 in WB, IHC, IF/ICC, ELISA applications and shows reactivity with human, mouse, rat samples.
| 经测试应用 | WB, IHC, IF/ICC, ELISA Application Description |
| 经测试反应性 | human, mouse, rat |
| 免疫原 |
CatNo: Ag36792 Product name: Recombinant human SEC14L3 protein Source: e coli.-derived, PGEX-4T Tag: GST Domain: 110-182 aa of BC069641 Sequence: GLLFSVTKQDLLKTKMRDCERILHECDLQTERLGKKIETIVMIFDCEGLGLKHFWKPLVEVYQEFFGLLEENY 种属同源性预测 |
| 宿主/亚型 | Rabbit / IgG |
| 抗体类别 | Polyclonal |
| 产品类型 | Antibody |
| 全称 | SEC14-like 3 (S. cerevisiae) |
| 别名 | SEC14-like protein 3, TAP2, Tocopherol-associated protein 2 |
| 计算分子量 | 46 kDa |
| 观测分子量 | 45 kDa |
| GenBank蛋白编号 | BC069641 |
| 基因名称 | SEC14L3 |
| Gene ID (NCBI) | 266629 |
| RRID | AB_3670189 |
| 偶联类型 | Unconjugated |
| 形式 | Liquid |
| 纯化方式 | Antigen affinity Purification |
| UNIPROT ID | Q9UDX4 |
| 储存缓冲液 | PBS with 0.02% sodium azide and 50% glycerol, pH 7.3. |
| 储存条件 | Store at -20°C. Stable for one year after shipment. Aliquoting is unnecessary for -20oC storage. |
背景介绍
SEC14L3 is highly similar to the protein encoded by the Saccharomyces cerevisiae SEC14 gene. The SEC14 protein is a phophatidylinositol transfer protein that is essential for biogenesis of Golgi-derived transport vesicles, and thus is required for the export of yeast secretory proteins from the Golgi complex. The specific function of this protein has not yet been determined. Alternatively spliced transcript variants encoding multiple isoforms have been observed for this gene.
实验方案
| Product Specific Protocols | |
|---|---|
| IF protocol for SEC14L3 antibody 32098-1-AP | Download protocol |
| IHC protocol for SEC14L3 antibody 32098-1-AP | Download protocol |
| WB protocol for SEC14L3 antibody 32098-1-AP | Download protocol |
| Standard Protocols | |
|---|---|
| Click here to view our Standard Protocols |



