验证数据展示
经过测试的应用
| Positive WB detected in | mouse small intestine tissue, rat small intestine tissue |
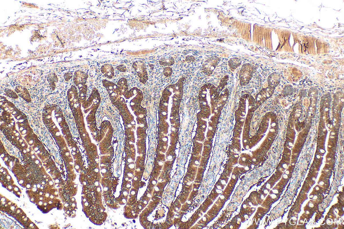
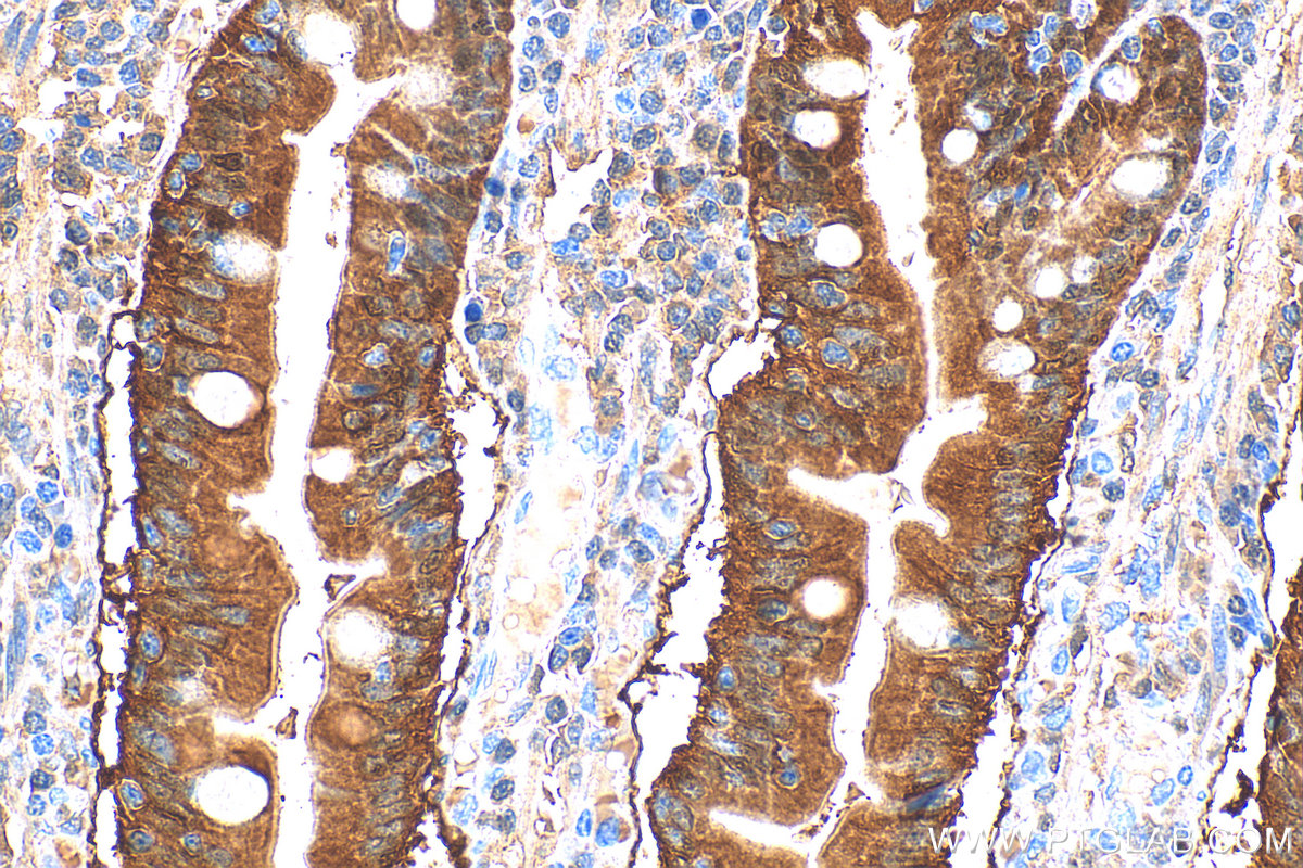
| Positive IHC detected in | human small intestine tissue Note: suggested antigen retrieval with TE buffer pH 9.0; (*) Alternatively, antigen retrieval may be performed with citrate buffer pH 6.0 |
推荐稀释比
| 应用 | 推荐稀释比 |
|---|---|
| Western Blot (WB) | WB : 1:5000-1:50000 |
| Immunohistochemistry (IHC) | IHC : 1:500-1:2000 |
| It is recommended that this reagent should be titrated in each testing system to obtain optimal results. | |
| Sample-dependent, Check data in validation data gallery. | |
发表文章中的应用
| WB | See 1 publications below |
产品信息
31527-1-AP targets RBP2 in WB, IHC, ELISA applications and shows reactivity with human, mouse, rat samples.
| 经测试应用 | WB, IHC, ELISA Application Description |
| 文献引用应用 | WB |
| 经测试反应性 | human, mouse, rat |
| 文献引用反应性 | mouse |
| 免疫原 |
CatNo: Ag35801 Product name: Recombinant human RBP2 protein Source: e coli.-derived, PGEX-4T Tag: GST Domain: 31-134 aa of NM_004164.2 Sequence: RKIAVRLTQTKVIDQDGDNFKTKTTSTFRNYDVDFTVGVEFDEYTKSLDNRHVKALVTWEGDVLVCVQKGEKENRGWKQWIEGDKLYLELTCGDQVCRQVFKKK 种属同源性预测 |
| 宿主/亚型 | Rabbit / IgG |
| 抗体类别 | Polyclonal |
| 产品类型 | Antibody |
| 全称 | retinol binding protein 2, cellular |
| 别名 | CRBP2, Retinol binding protein 2 |
| 计算分子量 | 16 kDa |
| 观测分子量 | 16 kDa |
| GenBank蛋白编号 | NM_004164.2 |
| 基因名称 | RBP2 |
| Gene ID (NCBI) | 5948 |
| RRID | AB_3670022 |
| 偶联类型 | Unconjugated |
| 形式 | Liquid |
| 纯化方式 | Antigen affinity Purification |
| UNIPROT ID | P50120 |
| 储存缓冲液 | PBS with 0.02% sodium azide and 50% glycerol, pH 7.3. |
| 储存条件 | Store at -20°C. Stable for one year after shipment. Aliquoting is unnecessary for -20oC storage. |
背景介绍
Retinol-binding protein 2 (RBP2) also known as CRBP2, CRBP-II, is an abundant 134-residue protein confined largely to the small intestinal enterocyte. It is thought to participate in the uptake and/or intracellular metabolism of vitamin A(PMID: 3029082).
实验方案
| Product Specific Protocols | |
|---|---|
| IHC protocol for RBP2 antibody 31527-1-AP | Download protocol |
| WB protocol for RBP2 antibody 31527-1-AP | Download protocol |
| Standard Protocols | |
|---|---|
| Click here to view our Standard Protocols |


