验证数据展示
经过测试的应用
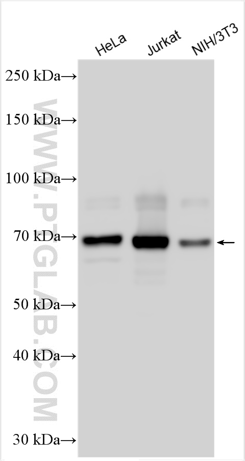
| Positive WB detected in | HeLa cells, Jurkat cells, NIH/3T3 cells |
| Positive IHC detected in | mouse testis tissue, human testis tissue Note: suggested antigen retrieval with TE buffer pH 9.0; (*) Alternatively, antigen retrieval may be performed with citrate buffer pH 6.0 |
| Positive IF/ICC detected in | HepG2 cells |
推荐稀释比
| 应用 | 推荐稀释比 |
|---|---|
| Western Blot (WB) | WB : 1:5000-1:50000 |
| Immunohistochemistry (IHC) | IHC : 1:200-1:800 |
| Immunofluorescence (IF)/ICC | IF/ICC : 1:200-1:800 |
| It is recommended that this reagent should be titrated in each testing system to obtain optimal results. | |
| Sample-dependent, Check data in validation data gallery. | |
产品信息
27168-1-AP targets RANBP3 in WB, IHC, IF/ICC, ELISA applications and shows reactivity with human, mouse samples.
| 经测试应用 | WB, IHC, IF/ICC, ELISA Application Description |
| 经测试反应性 | human, mouse |
| 免疫原 |
CatNo: Ag26000 Product name: Recombinant human RANBP3 protein Source: e coli.-derived, PGEX-4T Tag: GST Domain: 33-176 aa of BC004349 Sequence: SPEGGEDSDREDGNYCPPVKRERTSSLTQFPPSQSEERSSGFRLKPPTLIHGQAPSAGLPSQKPKEQQRSVLRPAVLQAPQPKALSQTVPSSGTNGVSLPADCTGAVPAASPDTAAWRSPSEAADEVCALEEKEPQKNESSNAS 种属同源性预测 |
| 宿主/亚型 | Rabbit / IgG |
| 抗体类别 | Polyclonal |
| 产品类型 | Antibody |
| 全称 | RAN binding protein 3 |
| 别名 | Ran-binding protein 3, RAN binding protein 3 |
| 计算分子量 | 60 kDa |
| 观测分子量 | 70 kDa |
| GenBank蛋白编号 | BC004349 |
| 基因名称 | RANBP3 |
| Gene ID (NCBI) | 8498 |
| RRID | AB_3669586 |
| 偶联类型 | Unconjugated |
| 形式 | Liquid |
| 纯化方式 | Antigen affinity purification |
| UNIPROT ID | Q9H6Z4 |
| 储存缓冲液 | PBS with 0.02% sodium azide and 50% glycerol, pH 7.3. |
| 储存条件 | Store at -20°C. Stable for one year after shipment. Aliquoting is unnecessary for -20oC storage. |
背景介绍
RANBP3 (Ran-binding protein 3) is also named as Rab escort protein 1 (REP-1). RanBP3 is a RanGTP‐binding protein that has been reported to enhance nuclear export of active β‐catenin, independent of its role as a CRM1‐associated nuclear export cofactorl (PMID: 9637251). RanBP3 has been reported to be a crucial downstream molecule of MAPK-ERK and PI3K-AKT signal pathways (PMID: 18331709). RanBP3 is a tumor suppressor in CRC and is associated with patient survival (PMID: 36270974). RanBP3 has been reported as a potential regulator in melanoma biology, hepatocellular carcinoma, prostate cancer, and ovarian cancer, and RanBP3 is highly expressed in CML Cells (PMID: 34504783).
实验方案
| Product Specific Protocols | |
|---|---|
| IF protocol for RANBP3 antibody 27168-1-AP | Download protocol |
| IHC protocol for RANBP3 antibody 27168-1-AP | Download protocol |
| WB protocol for RANBP3 antibody 27168-1-AP | Download protocol |
| Standard Protocols | |
|---|---|
| Click here to view our Standard Protocols |




