验证数据展示
经过测试的应用
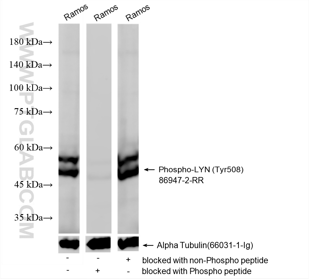
| Positive WB detected in | Ramos cells |
推荐稀释比
| 应用 | 推荐稀释比 |
|---|---|
| Western Blot (WB) | WB : 1:500-1:2000 |
| It is recommended that this reagent should be titrated in each testing system to obtain optimal results. | |
| Sample-dependent, Check data in validation data gallery. | |
产品信息
86947-2-RR targets Phospho-LYN (Tyr508) in WB, ELISA applications and shows reactivity with human samples.
| 经测试应用 | WB, ELISA Application Description |
| 经测试反应性 | human |
| 免疫原 |
Peptide 种属同源性预测 |
| 宿主/亚型 | Rabbit / IgG |
| 抗体类别 | Recombinant |
| 产品类型 | Antibody |
| 全称 | v-yes-1 Yamaguchi sarcoma viral related oncogene homolog |
| 别名 | LYN, EC:2.7.10.2, JTK8, Lck/Yes-related novel protein tyrosine kinase, Tyrosine protein kinase Lyn |
| 计算分子量 | 512 aa, 59 kDa |
| 观测分子量 | 53 kDa, 56 kDa |
| GenBank蛋白编号 | BC075002 |
| 基因名称 | LYN |
| Gene ID (NCBI) | 4067 |
| 偶联类型 | Unconjugated |
| 形式 | Liquid |
| 纯化方式 | Protein A purification |
| UNIPROT ID | P07948 |
| 储存缓冲液 | PBS with 0.02% sodium azide and 50% glycerol, pH 7.3. |
| 储存条件 | Store at -20°C. Stable for one year after shipment. Aliquoting is unnecessary for -20oC storage. |
背景介绍
LYN, also named as JTK8, p53Lyn and p56Lyn, belongs to the protein kinase superfamily, Tyr protein kinase family and SRC subfamily. The C-terminal tyrosine-508 residue (Tyr-508) in Lyn or the corresponding conserved tyrosine residue in each of the other members of the SFK family is the primary site for regulating tyrosine kinase activity by reversible phosphorylation. Phosphorylation at the tyrosine residue induces a closed conformation that is enzymatically inactive. (PMID: 33004926)
实验方案
| Product Specific Protocols | |
|---|---|
| WB protocol for Phospho-LYN (Tyr508) antibody 86947-2-RR | Download protocol |
| Standard Protocols | |
|---|---|
| Click here to view our Standard Protocols |
