验证数据展示
经过测试的应用
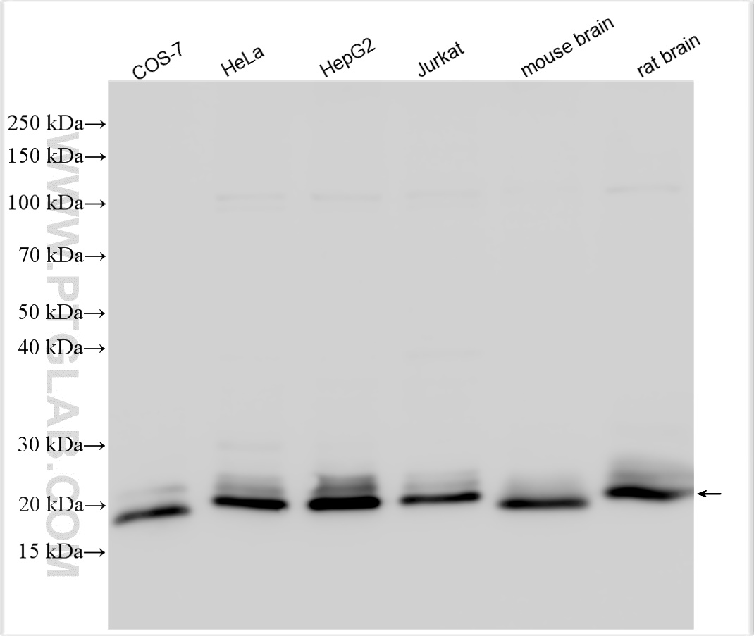
| Positive WB detected in | COS-7 cells, HeLa cells, HepG2 cells, Jurkat cells, rat brain tissue, mouse brain tissue |
| Positive IP detected in | mouse kidney tissue |
| Positive IHC detected in | human prostate cancer tissue, mouse brain tissue Note: suggested antigen retrieval with TE buffer pH 9.0; (*) Alternatively, antigen retrieval may be performed with citrate buffer pH 6.0 |
推荐稀释比
| 应用 | 推荐稀释比 |
|---|---|
| Western Blot (WB) | WB : 1:1000-1:8000 |
| Immunoprecipitation (IP) | IP : 0.5-4.0 ug for 1.0-3.0 mg of total protein lysate |
| Immunohistochemistry (IHC) | IHC : 1:500-1:2000 |
| It is recommended that this reagent should be titrated in each testing system to obtain optimal results. | |
| Sample-dependent, Check data in validation data gallery. | |
产品信息
16163-1-AP targets Presenilin-1-Specific in WB, IHC, IP, ELISA applications and shows reactivity with human, mouse, rat, monkey samples.
| 经测试应用 | WB, IHC, IP, ELISA Application Description |
| 文献引用应用 | WB, IHC |
| 经测试反应性 | human, mouse, rat, monkey |
| 文献引用反应性 | human, mouse, rat, pig |
| 免疫原 |
Peptide 种属同源性预测 |
| 宿主/亚型 | Rabbit / IgG |
| 抗体类别 | Polyclonal |
| 产品类型 | Antibody |
| 全称 | presenilin 1 |
| 别名 | PSEN1, AD3, EC:3.4.23.-, Presenilin-1, Presenilin-1 CTF subunit |
| 计算分子量 | 53 kDa |
| 观测分子量 | 21 kDa, 53 kDa |
| GenBank蛋白编号 | NM_000021 |
| 基因名称 | PSEN1 |
| Gene ID (NCBI) | 5663 |
| RRID | AB_2237805 |
| 偶联类型 | Unconjugated |
| 形式 | Liquid |
| 纯化方式 | Antigen affinity purification |
| UNIPROT ID | P49768 |
| 储存缓冲液 | PBS with 0.02% sodium azide and 50% glycerol, pH 7.3. |
| 储存条件 | Store at -20°C. Stable for one year after shipment. Aliquoting is unnecessary for -20oC storage. |
背景介绍
PSEN1(presenilin-1) is also named as AD3, PS1, PSNL1 and belongs to the peptidase A22A family. It directly influences Netrin/DCC signaling with cell type precision and spatiotemporal specificity, and is a key neural circuit builder that gates the spatiotemporal pattern of guidance signaling, thereby ensuring neural projections occur with high fidelity(PMID:21215373). The 46-kDa PSEN1 holoprotein is cleaved into a D30-kDa N-terminal fragment (NTF) and a D20-kDa C-terminal fragment (CTF) by the 26S proteasome (PMID:10527805). It has 7 isoforms produced by alternative splicing. This antibody is specific to isoform1(53 kDa), isoform2(52 kDa), isoform4(21 kDa), isoform7(49 kDa) of this protein.
实验方案
| Product Specific Protocols | |
|---|---|
| IHC protocol for Presenilin-1-Specific antibody 16163-1-AP | Download protocol |
| IP protocol for Presenilin-1-Specific antibody 16163-1-AP | Download protocol |
| WB protocol for Presenilin-1-Specific antibody 16163-1-AP | Download protocol |
| Standard Protocols | |
|---|---|
| Click here to view our Standard Protocols |
发表文章
| Species | Application | Title |
|---|---|---|
Adv Sci (Weinh) Bone Marrow-Derived GCA+ Immune Cells Drive Alzheimer's Disease Progression | ||
Brain MMP13 inhibition rescues cognitive decline in Alzheimer transgenic mice via BACE1 regulation. | ||
Cell Rep CIP2A Causes Tau/APP Phosphorylation, Synaptopathy, and Memory Deficits in Alzheimer's Disease. | ||
J Neuroinflammation Far infrared light irradiation enhances Aβ clearance via increased exocytotic microglial ATP and ameliorates cognitive deficit in Alzheimer's disease-like mice. | ||
Cell Commun Signal Presenilin1 exerts antiproliferative effects by repressing the Wnt/β-catenin pathway in glioblastoma.
| ||
Mol Neurobiol Memantine, a Noncompetitive N-Methyl-D-Aspartate Receptor Antagonist, Attenuates Cerebral Amyloid Angiopathy by Increasing Insulin-Degrading Enzyme Expression. |




