验证数据展示
经过测试的应用
| Positive WB detected in | mouse kidney tissue, mouse liver tissue |
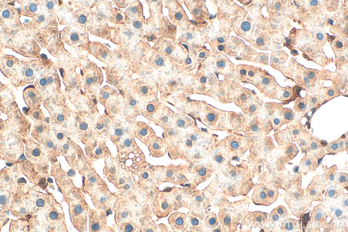
| Positive IHC detected in | rat liver tissue Note: suggested antigen retrieval with TE buffer pH 9.0; (*) Alternatively, antigen retrieval may be performed with citrate buffer pH 6.0 |
| Positive IF/ICC detected in | HepG2 cells |
推荐稀释比
| 应用 | 推荐稀释比 |
|---|---|
| Western Blot (WB) | WB : 1:1000-1:4000 |
| Immunohistochemistry (IHC) | IHC : 1:50-1:500 |
| Immunofluorescence (IF)/ICC | IF/ICC : 1:50-1:500 |
| It is recommended that this reagent should be titrated in each testing system to obtain optimal results. | |
| Sample-dependent, Check data in validation data gallery. | |
产品信息
30457-1-AP targets MUC20 in WB, IHC, IF/ICC, ELISA applications and shows reactivity with human, mouse samples.
| 经测试应用 | WB, IHC, IF/ICC, ELISA Application Description |
| 经测试反应性 | human, mouse |
| 免疫原 |
CatNo: Ag31867 Product name: Recombinant human MUC20 protein Source: e coli.-derived, PGEX-4T Tag: GST Domain: 400-555 aa of BC029267 Sequence: IEAGSAVGKTTSFAGSSASSYSPSEAALKNFTPSETLTTDIATKGPFPTSRDPLPSVPPTTTNSSRGTNSTLAKITTSAKTTMKPPTATPTTARTRPTTDMSAGENGGFLLLRLSVASPEDLTDPRVAERLMQQLHRELHAHAPHFQVSLLRVRRG 种属同源性预测 |
| 宿主/亚型 | Rabbit / IgG |
| 抗体类别 | Polyclonal |
| 产品类型 | Antibody |
| 全称 | mucin 20, cell surface associated |
| 别名 | KIAA1359, MUC 20, MUC-20, Mucin-20, UNQ2782/PRO7170 |
| 计算分子量 | 55 kDa, 71 kDa |
| 观测分子量 | 70 kDa |
| GenBank蛋白编号 | BC029267 |
| 基因名称 | MUC20 |
| Gene ID (NCBI) | 200958 |
| RRID | AB_3086323 |
| 偶联类型 | Unconjugated |
| 形式 | Liquid |
| 纯化方式 | Antigen affinity purification |
| UNIPROT ID | Q8N307 |
| 储存缓冲液 | PBS with 0.02% sodium azide and 50% glycerol, pH 7.3. |
| 储存条件 | Store at -20°C. Stable for one year after shipment. Aliquoting is unnecessary for -20oC storage. |
背景介绍
MUC20 contains serine, threonine, and proline-rich repeats in its extracellular domain and is likely to be extensively O-glycosylated. MUC20 blocks GRB2 recruitment to MET thus suppressing the GRB2-RAS pathway and inhibiting HGF-induced proliferation of MMP1 and MMP9 expression (PMID: 15314156). MUC20 is highly expressed in the kidney and localized in the proximal tubules but not in the glomerulus or distal tubules(PMID: 14565953). MUC20 was detected in most of the male urogenital tract epithelia, except for epididymis(PMID: 16997931). The expression of MUC20 is up-regulated in the kidneys of patients with immunoglobulin A nephropathy, in an animal model of lupus nephritis, and in mice with acute renal injury caused by cisplatin administration or unilateral ureteral obstruction(PMID: 14565953).
实验方案
| Product Specific Protocols | |
|---|---|
| IF protocol for MUC20 antibody 30457-1-AP | Download protocol |
| IHC protocol for MUC20 antibody 30457-1-AP | Download protocol |
| WB protocol for MUC20 antibody 30457-1-AP | Download protocol |
| Standard Protocols | |
|---|---|
| Click here to view our Standard Protocols |


