验证数据展示
经过测试的应用
| Positive WB detected in | mouse bone marrow |
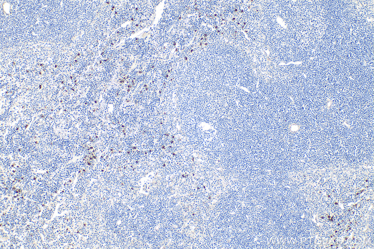
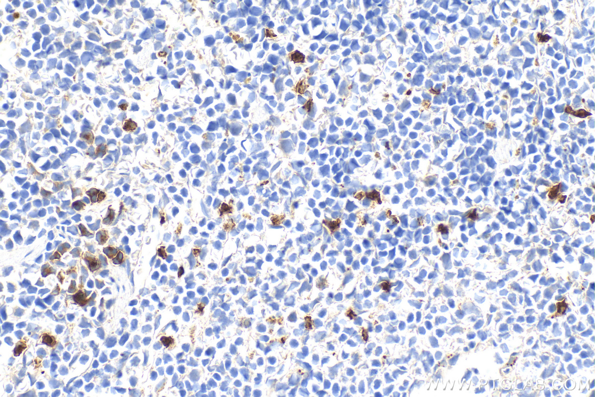
| Positive IHC detected in | mouse spleen tissue Note: suggested antigen retrieval with TE buffer pH 9.0; (*) Alternatively, antigen retrieval may be performed with citrate buffer pH 6.0 |
| Positive FC detected in | mouse bone marrow cells |
推荐稀释比
| 应用 | 推荐稀释比 |
|---|---|
| Western Blot (WB) | WB : 1:500-1:2000 |
| Immunohistochemistry (IHC) | IHC : 1:1000-1:4000 |
| Flow Cytometry (FC) | FC : 0.25 ug per 10^6 cells in a 100 µl suspension |
| It is recommended that this reagent should be titrated in each testing system to obtain optimal results. | |
| Sample-dependent, Check data in validation data gallery. | |
发表文章中的应用
| IF | See 1 publications below |
产品信息
32346-1-AP targets Ly-6G in WB, IHC, IF, FC, ELISA applications and shows reactivity with mouse samples.
| 经测试应用 | WB, IHC, FC, ELISA Application Description |
| 文献引用应用 | IF |
| 经测试反应性 | mouse |
| 文献引用反应性 | mouse |
| 免疫原 |
CatNo: Eg2609 Product name: Recombinant Mouse Ly-6G protein (rFc Tag) Source: mammalian cells-derived, V37 Tag: C-rFc Domain: 21-114 aa of NM_001310438.1 Sequence: AERAQGLECYNCIGVPPETSCNTTTCPFSDGFCVALEIEVIVDSHRSKVKSNLCLPICPTTLDNTEITGNAVNVKTYCCKEDLCNAAVPTGGSS 种属同源性预测 |
| 宿主/亚型 | Rabbit / IgG |
| 抗体类别 | Polyclonal |
| 产品类型 | Antibody |
| 全称 | lymphocyte antigen 6 complex, locus G |
| 别名 | Ly6g, Ly 6G, Ly-6G.1 |
| 计算分子量 | 14 kDa |
| 观测分子量 | 20-30 kDa |
| GenBank蛋白编号 | NM_001310438.1 |
| 基因名称 | Ly-6G |
| Gene ID (NCBI) | 546644 |
| 偶联类型 | Unconjugated |
| 形式 | Liquid |
| 纯化方式 | Antigen affinity Purification |
| UNIPROT ID | P35461 |
| 储存缓冲液 | PBS with 0.02% sodium azide and 50% glycerol, pH 7.3. |
| 储存条件 | Store at -20°C. Stable for one year after shipment. Aliquoting is unnecessary for -20oC storage. |
背景介绍
Ly-6G (lymphocyte antigen 6 complex, locus G), also known as Gr-1, is a 21-25 kDa, glycosylphosphatidylinositol-anchored protein expressed on myeloid lineage cells in mouse bone marrow (PMID: 8360469). The expression of Ly-6G increases on neutrophils as they differentiate from immature cells in the bone marrow to mature cells in the blood and spleen (PMID: 8890901).
实验方案
| Product Specific Protocols | |
|---|---|
| FC protocol for Ly-6G antibody 32346-1-AP | Download protocol |
| IHC protocol for Ly-6G antibody 32346-1-AP | Download protocol |
| WB protocol for Ly-6G antibody 32346-1-AP | Download protocol |
| Standard Protocols | |
|---|---|
| Click here to view our Standard Protocols |
发表文章
| Species | Application | Title |
|---|---|---|
J Thromb Haemost Aptamer BT200 is protective against myocardial ischemia-reperfusion injury in mice | ||
J Dent Sci Neutrophil extracellular traps induced by diabetes aggravate periodontitis by inhibiting janus kinase/signal transducers and activators of transcription signaling in macrophages |



