验证数据展示
经过测试的应用
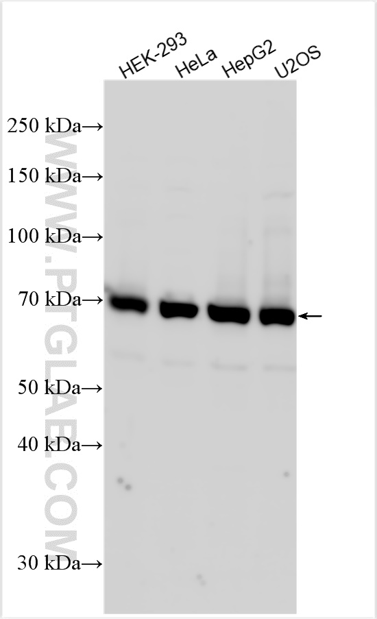
| Positive WB detected in | HepG2 cells, HeLa cells, HEK-293 cells, U2OS cells |
| Positive IF/ICC detected in | A431 cells, U-251 cells |
推荐稀释比
| 应用 | 推荐稀释比 |
|---|---|
| Western Blot (WB) | WB : 1:1000-1:4000 |
| Immunofluorescence (IF)/ICC | IF/ICC : 1:200-1:800 |
| It is recommended that this reagent should be titrated in each testing system to obtain optimal results. | |
| Sample-dependent, Check data in validation data gallery. | |
产品信息
32111-1-AP targets LRRC45 in WB, IF/ICC, ELISA applications and shows reactivity with human samples.
| 经测试应用 | WB, IF/ICC, ELISA Application Description |
| 经测试反应性 | human |
| 免疫原 |
CatNo: Ag36776 Product name: Recombinant human LRRC45 protein Source: e coli.-derived, PGEX-4T Tag: GST Domain: 380-512 aa of BC014109 Sequence: ERKFRCQQEQLFQTRQEMTSMSAELKMRAIQAEERLDMEKRRCRQSLEDSESLRIKEVEHMTRHLEESEKAMQERVQRLEAARLSLEEELSRVKAAALSERGQAEEELIKAKSQARLEEQQRLAHLEDKLRLL 种属同源性预测 |
| 宿主/亚型 | Rabbit / IgG |
| 抗体类别 | Polyclonal |
| 产品类型 | Antibody |
| 全称 | leucine rich repeat containing 45 |
| 别名 | LRC45, Leucine-rich repeat-containing protein 45 |
| 计算分子量 | 76 kDa |
| 观测分子量 | 70 kDa |
| GenBank蛋白编号 | BC014109 |
| 基因名称 | LRRC45 |
| Gene ID (NCBI) | 201255 |
| RRID | AB_3670195 |
| 偶联类型 | Unconjugated |
| 形式 | Liquid |
| 纯化方式 | Antigen affinity Purification |
| UNIPROT ID | Q96CN5 |
| 储存缓冲液 | PBS with 0.02% sodium azide and 50% glycerol, pH 7.3. |
| 储存条件 | Store at -20°C. Stable for one year after shipment. Aliquoting is unnecessary for -20oC storage. |
背景介绍
The Leucine-Rich Repeat-Containing 45 (LRRC45) gene, a relatively unexplored entity in the realm of genomic studies, has recently garnered attention for its potential role in cellular processes and disease pathogenesis. Characterized by its leucine-rich repeats, a motif known for facilitating protein-protein interactions, LRRC45 is implicated in various cellular functions, including signal transduction and intracellular trafficking. LRRC45 promotes lung cancer proliferation and progression by enhancing c-MYC, Slug, MMP2, and MMP9 expression (PMID: 39326735).
实验方案
| Product Specific Protocols | |
|---|---|
| IF protocol for LRRC45 antibody 32111-1-AP | Download protocol |
| WB protocol for LRRC45 antibody 32111-1-AP | Download protocol |
| Standard Protocols | |
|---|---|
| Click here to view our Standard Protocols |


