验证数据展示
经过测试的应用
| Positive WB detected in | mouse brain tissue, HEK-293 cells, HeLa cells, Chloroquine treated HEK-293 cells, Chloroquine treated HeLa cells |
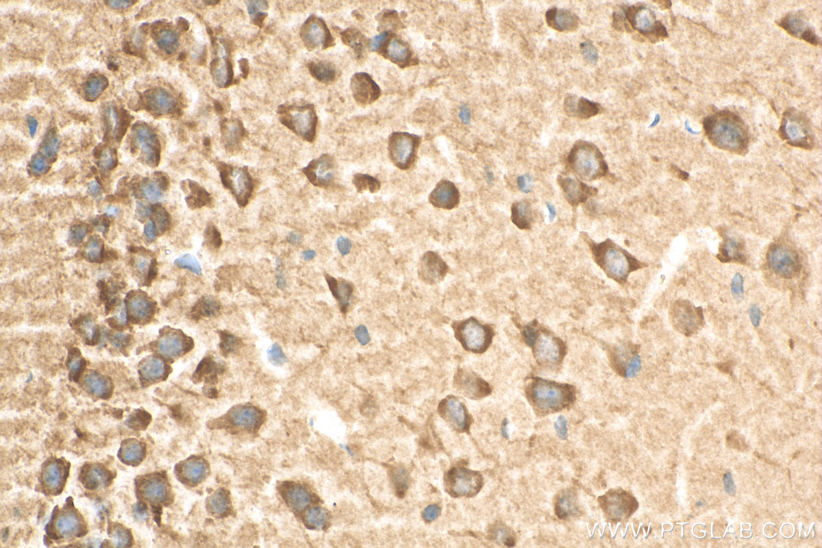
| Positive IHC detected in | human colon cancer tissue, mouse brain tissue Note: suggested antigen retrieval with TE buffer pH 9.0; (*) Alternatively, antigen retrieval may be performed with citrate buffer pH 6.0 |
| Positive IF/ICC detected in | Chloroquine treated HeLa cells |
推荐稀释比
| 应用 | 推荐稀释比 |
|---|---|
| Western Blot (WB) | WB : 1:2000-1:10000 |
| Immunohistochemistry (IHC) | IHC : 1:250-1:1000 |
| Immunofluorescence (IF)/ICC | IF/ICC : 1:500-1:2000 |
| It is recommended that this reagent should be titrated in each testing system to obtain optimal results. | |
| Sample-dependent, Check data in validation data gallery. | |
产品信息
81004-1-RR targets LC3B in WB, IHC, IF/ICC, ELISA applications and shows reactivity with human, mouse, rat, pig samples.
| 经测试应用 | WB, IHC, IF/ICC, ELISA Application Description |
| 文献引用应用 | WB, IHC, IF |
| 经测试反应性 | human, mouse, rat, pig |
| 文献引用反应性 | human, mouse, rat, bovine, sheep |
| 免疫原 |
CatNo: Ag6144 Product name: Recombinant human LC3 protein Source: e coli.-derived, PGEX-4T Tag: GST Domain: 1-125 aa of BC067797 Sequence: MPSEKTFKQRRTFEQRVEDVRLIREQHPTKIPVIIERYKGEKQLPVLDKTKFLVPDHVNMGELIKIIRRRLQLNANQAFFLLVNGHSMVSVSTPISEVYESEKDEDGFLYMVYASQETFGMKLSV 种属同源性预测 |
| 宿主/亚型 | Rabbit / IgG |
| 抗体类别 | Recombinant |
| 产品类型 | Antibody |
| 全称 | microtubule-associated protein 1 light chain 3 beta |
| 别名 | LC3, MAP1LC3B, 5P12, ATG8F, Autophagy-related ubiquitin-like modifier LC3 B |
| 计算分子量 | 15 kDa |
| 观测分子量 | 14-18 kDa |
| GenBank蛋白编号 | BC067797 |
| 基因名称 | LC3B |
| Gene ID (NCBI) | 81631 |
| ENSEMBL Gene ID | ENSG00000140941 |
| RRID | AB_2923695 |
| 偶联类型 | Unconjugated |
| 形式 | Liquid |
| 纯化方式 | Protein A purification |
| UNIPROT ID | Q9GZQ8 |
| 储存缓冲液 | PBS with 0.02% sodium azide and 50% glycerol, pH 7.3. |
| 储存条件 | Store at -20°C. Stable for one year after shipment. Aliquoting is unnecessary for -20oC storage. |
背景介绍
Map1LC3, also known as LC3, is the human homolog of yeast Atg8 and is involved in the formation of autophagosomal vacuoles, called autophagosomes. Three human Map1LC3 isoforms, MAP1LC3A, MAP1LC3B, and MAP1LC3C, undergo post-translational modifications during autophagy. And they differ in their post-translation modifications during autophagy. Map1LC3 also exists in two modified forms, an 18 kDa cytoplasmic form that was originally identified as a subunit of the microtubule-associated protein 1, and a 14-16 kDa form that is associated with the autophagosome membrane. The antibody 81004-1-RR specifically recognizes LC3B.
实验方案
| Product Specific Protocols | |
|---|---|
| IF protocol for LC3B antibody 81004-1-RR | Download protocol |
| IHC protocol for LC3B antibody 81004-1-RR | Download protocol |
| WB protocol for LC3B antibody 81004-1-RR | Download protocol |
| Standard Protocols | |
|---|---|
| Click here to view our Standard Protocols |
发表文章
| Species | Application | Title |
|---|---|---|
Cell Metab Disrupted methionine cycle triggers muscle atrophy in cancer cachexia through epigenetic regulation of REDD1 | ||
Int Immunopharmacol N-acetylserotonin derivative ameliorates hypoxic-ischemic brain damage by promoting PINK1/Parkin-dependent mitophagy to inhibit NLRP3 inflammasome-induced pyroptosis | ||
J Dairy Sci Subacute ruminal acidosis induces pyroptosis via the mitophagy-mediated NLRP3 inflammasome activation in the livers of dairy cows fed a high-grain diet | ||
J Dairy Sci Short-term effects of Subacute ruminal acidosis on ferroptosis and iron metabolism in the livers of lactating sheep fed a high-grain diet | ||
Cancers (Basel) Interfering Nuclear Protein Laminb1 Induces DNA Damage and Reduces Vemurafenib Resistance in Melanoma Cells In Vitro |








