验证数据展示
经过测试的应用
| Positive WB detected in | Con A treated mouse splenocytes |
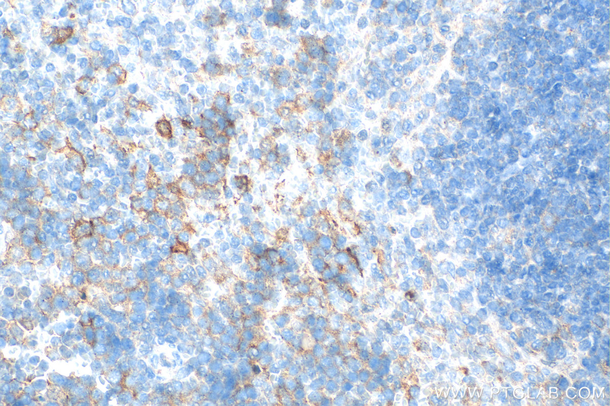
| Positive IHC detected in | mouse spleen tissue Note: suggested antigen retrieval with TE buffer pH 9.0; (*) Alternatively, antigen retrieval may be performed with citrate buffer pH 6.0 |
| Positive IF-P detected in | mouse spleen tissue |
推荐稀释比
| 应用 | 推荐稀释比 |
|---|---|
| Western Blot (WB) | WB : 1:500-1:2000 |
| Immunohistochemistry (IHC) | IHC : 1:200-1:800 |
| Immunofluorescence (IF)-P | IF-P : 1:200-1:800 |
| It is recommended that this reagent should be titrated in each testing system to obtain optimal results. | |
| Sample-dependent, Check data in validation data gallery. | |
产品信息
31722-1-AP targets LAG-3/CD223 in WB, IHC, IF-P, ELISA applications and shows reactivity with mouse samples.
| 经测试应用 | WB, IHC, IF-P, ELISA Application Description |
| 经测试反应性 | mouse |
| 免疫原 |
CatNo: Eg1220 Product name: Recombinant Mouse LAG-3/CD223 protein (His Tag) Source: mammalian cells-derived, pHZ-KIsec-C-6*HIS Tag: C-6*HIS Domain: 24-442 aa of NM_008479.2 Sequence: GPGKELPVVWAQEGAPVHLPCSLKSPNLDPNFLRRGGVIWQHQPDSGQPTPIPALDLHQGMPSPRQPAPGRYTVLSVAPGGLRSGRQPLHPHVQLEERGLQRGDFSLWLRPALRTDAGEYHATVRLPNRALSCSLRLRVGQASMIASPSGVLKLSDWVLLNCSFSRPDRPVSVHWFQGQNRVPVYNSPRHFLAETFLLLPQVSPLDSGTWGCVLTYRDGFNVSITYNLKVLGLEPVAPLTVYAAEGSRVELPCHLPPGVGTPSLLIAKWTPPGGGPELPVAGKSGNFTLHLEAVGLAQAGTYTCSIHLQGQQLNATVTLAVITVTPKSFGLPGSRGKLLCEVTPASGKERFVWRPLNNLSRSCPGPVLEIQEARLLAERWQCQLYEGQRLLGATVYAAESSSGAHSARRISGDLKGGHL 种属同源性预测 |
| 宿主/亚型 | Rabbit / IgG |
| 抗体类别 | Polyclonal |
| 产品类型 | Antibody |
| 全称 | lymphocyte-activation gene 3 |
| 别名 | CD223, LAG-3, LAG 3, Lag3, Ly66 |
| 计算分子量 | 57 kDa |
| 观测分子量 | 65-75 kDa |
| GenBank蛋白编号 | NM_008479.2 |
| 基因名称 | CD223 |
| Gene ID (NCBI) | 16768 |
| RRID | AB_3670099 |
| 偶联类型 | Unconjugated |
| 形式 | Liquid |
| 纯化方式 | Antigen affinity Purification |
| UNIPROT ID | Q61790 |
| 储存缓冲液 | PBS with 0.02% sodium azide and 50% glycerol, pH 7.3. |
| 储存条件 | Store at -20°C. Stable for one year after shipment. Aliquoting is unnecessary for -20oC storage. |
背景介绍
LAG-3, also known as CD223, is an immune checkpoint molecule that regulates both T-cell activation and homeostasis. LAG-3 is expressed on activated T cells, NK cells, regulatory T cells, and plasmacytoid dendritic cells. It is a CD4-related molecule that binds MHC class II. LAG-3 plays an important role in modulating T cell expansion and function, and blockade of LAG-3 with monoclonal antibodies can augment T cell function. (PMID: 15634887; 21086108; 28783703)
实验方案
| Product Specific Protocols | |
|---|---|
| IF protocol for LAG-3/CD223 antibody 31722-1-AP | Download protocol |
| IHC protocol for LAG-3/CD223 antibody 31722-1-AP | Download protocol |
| WB protocol for LAG-3/CD223 antibody 31722-1-AP | Download protocol |
| Standard Protocols | |
|---|---|
| Click here to view our Standard Protocols |




